补牙所需的时间因多种因素而异,包括牙齿的损伤程度、患者的具体情况以及医生的操作技术等,一般在20分钟至1个月。

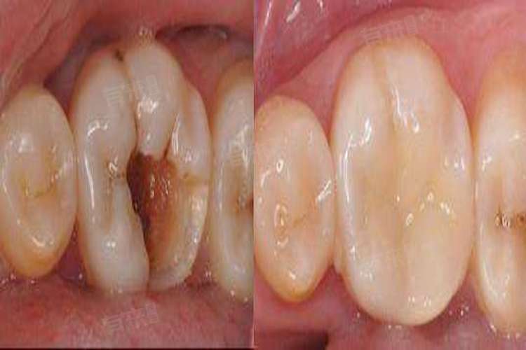
1、单纯性浅中度龋齿:对于这类患者一般只需要对牙体龋坏部分进行完全清除后,再使用填充材料对牙体缺损组织进行垫底、填充、塑形等操作。整个治疗时长通常约为20-30分钟,如果医生技术熟练且患者配合度高,时间可能更短。
2、牙髓可保留:如果牙齿龋坏已经初步伤及牙髓组织,但牙髓还能保留,需要先使用安抚镇痛类药物封闭牙洞,再进行后续的牙齿修复治疗,整个治疗时长可能会延长至半个月左右,因为需要多次复诊以确保牙髓状态稳定后再进行补牙。
3、牙齿龋坏严重且伴有炎症:如果龋牙部位发生炎症病变,并对牙根尖等根部组织造成严重损伤,需要进行根管治疗术,再通过烤瓷牙或种植牙等方式进行整体牙体修复治疗。此过程相对复杂,大约需要1个月左右的时间,因为根管治疗需要多次复诊以确保炎症完全消退且根管内无残留感染物。
如果患者的牙齿损伤非常严重,或者需要在补牙前进行其他治疗如消炎、拔牙等,补牙所需的时间可能会更长。此外,如果患者有多颗牙齿需要补牙,且每颗牙齿的损伤程度不同,整体补牙时间也会相应增加。建议患者在发现牙齿问题时及时就医,并在医生的指导下进行针对性的治疗,避免加重。

