腹腔淋巴结肿大是指在腹腔内的淋巴结体积增大的一种病理现象,这可能是由多种原因引起的。患者在发现腹腔淋巴结肿大时,应听从医生的建议,积极配合治疗,以促进身体的康复。

- 腹腔淋巴结分布广泛,在人体的免疫系统中起着重要的作用。当身体受到感染、炎症、肿瘤等刺激时,腹腔淋巴结可能会肿大。例如当胃肠道发生感染时,如急性胃肠炎、阑尾炎等,附近的腹腔淋巴结会反应性增生,以对抗病原体。
- 一些全身性的疾病,如结核病、风湿性疾病等,也可能导致腹腔淋巴结肿大。肿瘤也是引起腹腔淋巴结肿大的常见原因之一,如胃肠道肿瘤、肝癌、胰腺癌等,癌细胞可能会转移到腹腔淋巴结,导致淋巴结肿大。
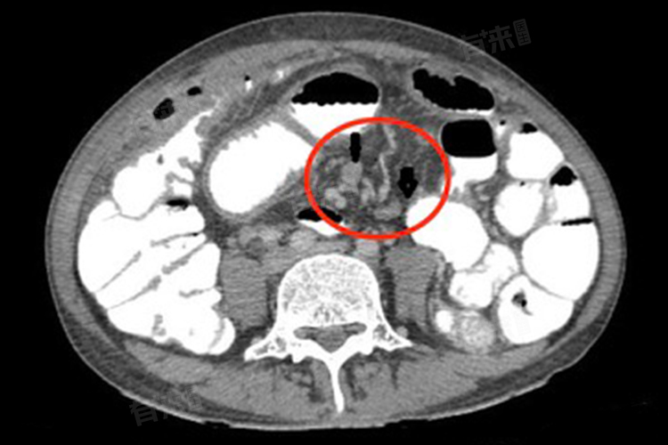
- 腹腔淋巴结肿大可能会引起一系列的症状,如果肿大的淋巴结压迫周围的器官或组织,可能会出现腹痛、腹胀、恶心、呕吐等症状。如果是炎症引起的淋巴结肿大,患者可能还会伴有发热、乏力等全身症状。在诊断腹腔淋巴结肿大时,医生通常会结合患者的病史、症状、体征以及各种检查结果进行综合判断。常用的检查方法包括腹部超声、CT、磁共振成像等影像学检查,以及血液检查、肿瘤标志物检测等。
- 对于腹腔淋巴结肿大的治疗,需要根据具体的病因进行。如果是感染引起的,通常需要使用抗生素进行抗感染治疗。如果是肿瘤引起的,则需要根据肿瘤的类型和分期进行相应的治疗,如手术、化疗、放疗等。在治疗过程中,还需要密切观察患者的症状和体征变化,定期进行复查,以评估治疗效果。
腹腔淋巴结肿大可能是多种疾病的表现,需要通过详细的检查和综合分析来确定病因,并采取相应的治疗措施。
腹腔淋巴结肿大的生活注意事项
1、饮食调整:选择清淡、易消化的食物,如小米粥、软面条等。避免食用辛辣、油腻、刺激性食物,减少对肠道的刺激。多吃新鲜蔬果,补充维生素。
2、规律作息:保证充足的睡眠,避免熬夜。良好的作息有助于身体恢复,增强体质。可适当午休,让身体得到充分休息。
3、适度运动:进行适度的运动,如散步、瑜伽等。避免剧烈运动,以免加重身体不适。运动可以促进血液循环,增强体质。
4、注意保暖:尤其是腹部保暖,避免着凉。寒冷刺激可能导致肠道痉挛,加重淋巴结肿大症状。可使用热水袋等进行局部保暖。

