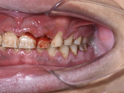
牙齿无缘无故出血可能是由于口腔卫生不良、不正确的刷牙习惯、牙周病、口腔损伤,以及白血病等因素导致,建议及时就医明确病因并采取针对性的措施。

1、口腔卫生不良
- 当牙菌斑、牙结石在牙齿表面及牙龈边缘积聚时,会刺激牙龈组织,引发牙龈炎,进而导致出血。初期症状可能仅为刷牙时少量出血,但随着炎症加重,出血可能变得更加频繁和严重。建议改善口腔卫生,定期刷牙、使用牙线和漱口水,以有效清除牙菌斑和食物残渣。
2、不正确的刷牙习惯
- 使用过硬或刷毛过于密集的牙刷,以及刷牙时用力过猛,都可能对牙龈造成机械性损伤。建议选用软毛牙刷,并采用正确的刷牙方法,如巴氏刷牙法,轻柔地清洁牙齿和牙龈。
3、牙周病
- 其不仅会导致牙龈出血,还可能引起牙龈肿胀、松动甚至牙齿脱落。治疗牙龈炎和牙周病需及时就医,做到早期发现、早期治疗,包括定期洁牙、遵医嘱使用抗炎药物和进行必要的牙周手术等。
4、口腔损伤
- 牙齿和牙龈在受到外力冲击或损伤时,也可能导致出血,通常是暂时性的。对于轻微的口腔损伤,可通过冷敷、保持口腔清洁等方法促进愈合,而对于严重的损伤,则应及时就医,以免延误病情。
5、白血病
- 牙齿出血有时也可能是全身性疾病的口腔表现,如白血病可能影响凝血功能或导致牙龈组织脆弱,进而引发出血,治疗牙齿出血需及时就医积极控制和治疗原发病。
在日常生活中应注重口腔卫生,定期刷牙、使用牙线和漱口水,避免不正确的刷牙习惯,选用适合自己的牙刷和牙膏。对于牙龈出血症状,应及早关注并寻求专业治疗,还需关注自身健康状况,及时发现并治疗可能引发牙龈出血的全身性疾病。

