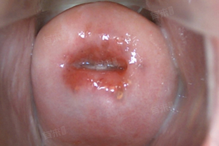
宫口溃疡即子宫颈口部位出现的黏膜破损、溃疡病变。子宫颈作为子宫的门户,连接着阴道与子宫体,其特殊的生理位置使得它容易受到多种因素的影响而发生病变,宫口溃疡便是其中之一。这一病症虽不如某些常见妇科疾病广为人知,但对女性生殖健康有着不可忽视的影响。

- 多种因素可导致宫口溃疡,感染因素在其中占据重要地位。病毒感染是常见原因,例如单纯疱疹病毒,当机体免疫力下降时,病毒可侵袭宫颈口黏膜,引发炎症反应,进而导致黏膜破损形成溃疡。此外,沙眼衣原体、淋病奈瑟菌等性传播病原体感染,若未得到及时有效的治疗,炎症长期刺激宫颈口,也可能促使溃疡产生。
- 局部创伤也是引发宫口溃疡的常见因素,分娩过程中,宫颈口会经历较大程度的扩张,可能因产程过长、助产操作不当等造成机械性损伤,损伤后的宫颈口在愈合过程中若发生感染,就容易形成溃疡。
- 另外一些妇科手术,如宫颈锥切术、刮宫术等,也会对宫颈口造成损伤,如后续出现感染同样可能引发溃疡。同时,自身免疫性疾病也可能与宫口溃疡相关。当机体免疫系统出现异常,错误地攻击自身宫颈组织时,会导致宫颈黏膜受损,形成溃疡,像系统性红斑狼疮等自身免疫性疾病患者,就较易出现此类情况。
宫口溃疡患者的症状表现因个体差异而有所不同,部分患者可能仅在妇科检查时偶然发现,并无明显自觉症状。而有症状的患者,最常见的表现为阴道分泌物异常。分泌物可能增多,且性状发生改变,可呈脓性、血性或伴有异味,这是由于溃疡面渗出物以及局部炎症刺激导致的。
宫口溃疡的预防措施
1、注重个人卫生与安全性行为:保持外阴清洁是预防宫口溃疡的基础。女性应每天用温水清洗外阴,注意清洗顺序,从前向后清洗,避免将肛门处的细菌带入阴道。选择透气、舒适的棉质内裤,并勤换洗。
2、积极治疗基础疾病与定期检查:若患有自身免疫性疾病等基础疾病,患者应积极配合医生治疗,严格按照医嘱服药,控制病情发展,减少因基础疾病导致的宫颈组织损伤风险。同时,女性应定期进行妇科检查,通过妇科内诊、宫颈涂片等检查手段,早期发现宫颈的异常情况,如炎症、损伤等,并及时进行干预和治疗,将宫口溃疡等疾病的隐患消除在萌芽状态。

