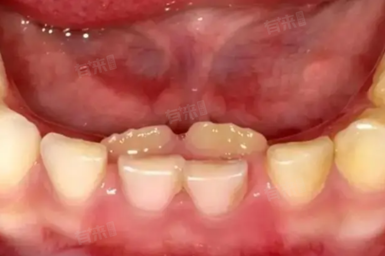
小孩子牙齿没掉就长新牙,这种现象通常被称为乳牙滞留,其背后可能涉及多种原因,比如饮食习惯改变、乳牙外伤、乳牙病变、恒牙牙胚发育异常等,一般需要遵医嘱根据具体原因采取不同的治疗方法。

1、饮食习惯改变:现代儿童饮食趋于精细化,如常吃软食、甜食等,缺乏足够的咀嚼刺激,导致乳牙牙根吸收不足,难以自行脱落。新牙(恒牙)因此被迫在乳牙内侧或外侧萌出,形成“双排牙”。鼓励孩子多吃富含纤维的食物,如苹果、玉米、胡萝卜等,增加咀嚼机会,促进乳牙牙根吸收。
2、乳牙外伤:乳牙在受到外力撞击后,可能出现牙根吸收障碍或牙冠折断等情况,导致乳牙无法正常脱落,进而影响恒牙的正常萌出。乳牙外伤后,应尽快带孩子到口腔科就诊,评估损伤程度并制定治疗方案。若乳牙已无法保留,应及时拔除,为恒牙腾出空间。
3、乳牙病变:乳牙发生龋坏、根尖周炎等病变时,可能导致乳牙牙根与周围组织粘连,影响乳牙的正常脱落。此时应遵医嘱对乳牙进行根管治疗等处理,消除炎症,恢复乳牙健康。若乳牙病变严重,无法恢复,且影响恒牙萌出,应考虑拔除。
4、恒牙牙胚发育异常:恒牙牙胚在发育过程中可能出现异常,如位置偏移、萌出方向错误等,导致恒牙在乳牙未脱落前即已萌出。对于恒牙牙胚发育异常的情况,应观察恒牙萌出的位置和形态,评估其对口腔功能和美观的影响。若恒牙萌出位置明显偏离正常,且影响口腔功能和美观,可考虑在恒牙全部替换完成后进行正畸治疗。
教育孩子养成良好的口腔卫生习惯,早晚刷牙,饭后漱口,定期使用牙线清洁牙缝。合理搭配饮食,确保孩子摄入足够的营养物质,特别是钙、磷等矿物质,以促进牙齿和骨骼的健康发育。建议家长每半年带孩子到口腔科进行一次口腔检查,及时发现并处理口腔问题。

