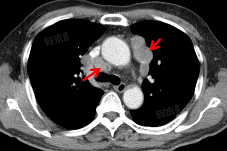
纵隔及右肺门淋巴结钙化是指淋巴结组织内出现钙盐沉积,导致淋巴结在影像学上呈现高密度影。这种钙化现象多数是由于淋巴结曾受到细菌的侵扰,导致炎症反应。在炎症过程中,坏死组织被机体吸收后钙盐沉积在淋巴结内,最终形成钙化,也可能是由于慢性炎症或其他疾病治愈后留下的痕迹。

1、临床表现
- 患者可能无明显症状,钙化现象通常是在进行胸部X线、CT扫描等影像学检查时偶然发现的。
- 部分患者可能出现与原发疾病相关的症状,如咳嗽、咳痰、发热、盗汗等,严重时可引起呼吸困难。
2、评估与诊断
- 通过胸部X线、CT扫描等影像学检查可以评估纵隔及右肺门淋巴结的钙化情况;必要时可进行活检以确定是否存在肿瘤或其他异常情况。
3、治疗与预后
- 对于大多数患者而言,纵隔及右肺门淋巴结钙化不需要特殊治疗,这是因为钙化通常是疾病愈合或缓解后留下的瘢痕,对人体影响很小。
- 如果患者存在原发疾病的症状或体征,如结核病复发、肺部感染等,则需要针对原发疾病进行治疗。例如对于结核病复发的患者,可以遵医嘱使用异烟肼、利福平等抗结核药物进行治疗。
- 患者应保持良好的生活习惯,避免吸烟和接触有害气体,定期复查以监测病情变化。
纵隔及右肺门淋巴结钙化本身并不等同于恶性病变,但患者需要关注其背后的潜在病因,如结核病、肺部感染等。定期的影像学检查和随访是监测病情变化的重要手段。如果患者出现新的症状或体征,应及时就医并告知医生既往的检查结果和治疗情况。

