口腔上颚肿痛多由生理刺激或疾病因素引起,日常进食烫伤、不良修复体摩擦等会造成局部损伤,而口腔溃疡、感染性疾病及过敏反应等病理情况,也会导致上颚出现疼痛肿胀。不同诱因对应不同处理方式,明确病因才能有效缓解症状。

1、机械性损伤:食用过烫食物或尖锐食物划伤上颚黏膜,造成局部创伤性炎症,引发肿痛。轻度损伤可通过含漱冷水缓解,保持口腔清洁防止感染,黏膜多能自行修复;若创面较大,需就医进行清创处理,遵医嘱使用促进黏膜愈合的药物加速恢复。
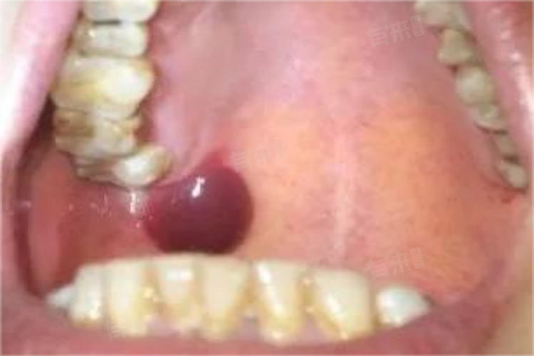
2、不良修复体刺激:佩戴不合适的假牙、牙套等修复装置,长期摩擦上颚黏膜,导致局部组织充血、破损,产生肿痛。需及时就医调整或更换修复体,减轻刺激;同时使用消炎止痛药物缓解症状,待黏膜恢复后重新评估修复方案。
3、口腔溃疡:压力过大、缺乏维生素等因素诱发上颚口腔溃疡,形成圆形或椭圆形溃疡面,疼痛明显。可局部涂抹促进愈合的药物,疼痛严重时遵医嘱服用止痛药物,日常补充维生素,保持作息规律,增强机体免疫力,促进溃疡愈合。
4、感染性炎症:病毒、细菌感染引发上颚炎症,如疱疹性口炎、蜂窝织炎等。疱疹性口炎表现为成簇小水泡,破裂后形成糜烂面,蜂窝织炎则出现大面积红肿热痛。需明确感染类型,遵医嘱使用抗病毒或抗菌药物治疗,并注意口腔卫生,防止感染扩散。
5、过敏反应:接触过敏性物质如特定食物、药物或口腔护理产品,导致上颚黏膜发生过敏反应,出现肿胀、疼痛,常伴有瘙痒感。需立即远离过敏原,遵医嘱服用抗过敏药物缓解症状,症状严重者需及时就医,避免呼吸道水肿等严重并发症。
出现口腔上颚肿痛,应避免食用辛辣、刺激性食物,减少对患处的刺激。勿自行使用不明药物涂抹,防止加重症状。若肿痛持续不缓解、伴有发热或呼吸困难等症状,需立即就医。日常保持良好口腔卫生习惯,定期进行口腔检查,及时处理口腔隐患,维护口腔健康。
口腔上颚肿痛需要挂什么科
- 口腔科:优先排查口腔疾病,如根尖周炎引发的上颚肿胀、腭部溃疡或黏液腺囊肿。医生会检查牙齿有无龋坏、叩痛,观察上颚黏膜是否有充血、溃疡或肿物,判断肿痛是否与牙齿或口腔黏膜病变相关。
- 耳鼻喉科:若伴随鼻塞、流涕或嗅觉减退,可能是鼻窦炎波及上颚,需通过鼻内镜检查鼻窦开口及分泌物情况,必要时行鼻窦影像学检查,明确是否存在鼻窦炎症或积液。
- 口腔颌面外科:当上颚肿痛伴明显肿胀或触及硬块,可能是颌骨囊肿、肿瘤或感染,颌面外科医生会评估病变范围,结合影像学检查判断是否需手术干预或进一步活检。

