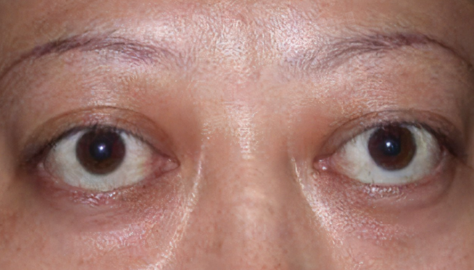
眼球外凸是一种眼部外观异常的表现,其原因多样,常见的原因包括遗传与生理因素、用眼习惯与疲劳、眼部炎症、甲状腺相关眼病以及眼眶内病变等方面。

1、遗传与生理因素:部分人眼球外凸是由遗传因素决定的,属于生理性的眼球外凸。这类人群的眼球形态和眼眶结构在发育过程中形成了相对突出的特征,一般不伴有其他不适症状,视力也多正常,对日常生活没有明显影响,通常不需要特殊处理。
2、用眼习惯与疲劳:长期过度用眼,如长时间近距离看书、看电子屏幕等,会导致眼肌紧张,眼轴可能会有一定程度的增长,从而出现眼球外凸。初期这种外凸可能较轻微,同时还会伴有眼睛干涩、视物模糊等视疲劳症状。
3、眼部炎症:眼眶蜂窝织炎、炎性假瘤等眼部炎症,会引起眼眶内组织充血、水肿,导致眶内压力升高,进而使眼球外凸。炎症导致的眼球外凸常伴有眼部疼痛、红肿、发热等症状,及时治疗眼部炎症,控制炎症发展,可减轻眼球外凸的程度。
4、甲状腺相关眼病:这是引起眼球外凸较为常见的原因之一。甲状腺功能异常,如甲亢,会导致眼外肌和脂肪组织增生、水肿,使眼球向前突出。患者除了眼球外凸,还可能有眼睑退缩、眼球运动障碍、视力下降等症状,病情严重程度不一,需要综合治疗甲状腺疾病和眼部症状。
5、眼眶内病变:眼眶内的肿瘤、囊肿等病变,随着体积的增大,会占据眼眶内空间,压迫眼球,导致眼球外凸。这种情况下的眼球外凸可能会逐渐加重,还可能伴有头痛、视力减退等症状,病情相对复杂严重,需要及时诊断和治疗病变。
如果发现自己或他人出现眼球外凸的情况,且伴有眼部疼痛、视力下降、眼球运动受限等不适症状,无论是否有其他明显原因,都建议及时前往正规医院的眼科或内分泌科等相关科室就诊。
眼球外凸的日常注意事项
- 避免长时间连续使用电子设备,每用眼30-40分钟,应休息5-10分钟,可眺望远处或闭目养神,防止眼疲劳进一步加重眼球外凸情况。同时,保持正确的读写姿势,确保眼睛与书本、屏幕等保持合适距离。每天用温水清洗眼部周围,去除眼屎和灰尘等异物,保持眼部清洁。
- 控制碘的摄入,对于因甲状腺相关眼病导致眼球外凸的人尤其要注意,避免食用过多含碘丰富的食物。另外,要关注眼部卫生,不用手揉眼睛,防止眼部感染。外出时,特别是在沙尘天气或紫外线强烈时,可佩戴防护眼镜。定期进行眼部检查和甲状腺功能检查,以便及时发现问题并采取相应措施。

