念珠菌感染是由念珠菌属真菌引起的感染性疾病,念珠菌作为条件致病菌,在人体免疫力下降或菌群失调时易引发感染。感染症状根据发病部位不同,主要有皮肤感染、口腔感染、阴道感染、肠道感染、尿道感染等。

1、皮肤感染:念珠菌侵犯皮肤时,常发生于皮肤褶皱处,如腹股沟、腋窝、乳房下等。初期表现为局部皮肤红斑,边界清晰,表面可能出现小丘疹、水疱,伴有明显瘙痒。随着感染加重,红斑面积扩大,水疱破裂后形成糜烂面,有渗液,还可能继发细菌感染,散发异味。
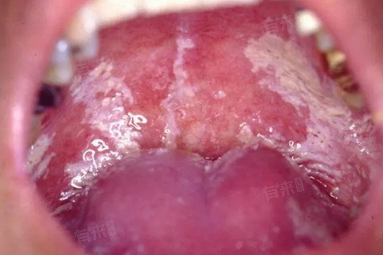
2、口腔感染:口腔念珠菌感染常见于婴幼儿、老年人及免疫力低下人群。患者口腔黏膜表面会出现白色凝乳状斑块,可附着于舌、颊、腭等部位,不易擦去,强行剥离后可见潮红糜烂面,可能伴有疼痛,影响进食,严重时还会导致吞咽困难。
3、阴道感染:女性阴道念珠菌感染较为常见。主要症状为阴道分泌物增多,呈白色豆腐渣样,质地黏稠。同时伴有明显的外阴及阴道瘙痒,瘙痒程度不一,严重时坐立不安,夜间症状加剧。此外,还可能出现阴道黏膜红肿、灼痛,性生活时疼痛明显。
4、肠道感染:念珠菌感染肠道后,患者会出现腹痛、腹泻症状,大便次数增多,呈稀糊状或水样便,有时可见黏液,但一般无脓血。部分患者还伴有食欲不振、恶心、呕吐等消化道症状,长期可导致营养不良。
5、尿道感染:念珠菌侵犯尿道,患者会出现尿频、尿急、尿痛等尿道刺激症状,排尿时尿道有灼热感。尿道口可能出现红肿,有少量白色分泌物溢出,病情严重者还可能出现血尿,影响泌尿系统正常功能。
若念珠菌感染不及时治疗,局部感染可能蔓延扩散,引发全身性念珠菌血症,危及生命。反复的皮肤感染会影响外观和生活质量;口腔感染可导致进食困难,影响营养摄入;阴道感染会破坏阴道微生态平衡,增加其他妇科疾病风险;肠道和尿道感染若迁延不愈,会对消化系统和泌尿系统造成不可逆损伤,还可能降低患者免疫力,形成恶性循环。
预防念珠菌感染的措施
- 个人卫生方面,保持皮肤清洁干燥,尤其是皮肤褶皱处,勤洗澡、勤换衣物。对于女性,每天用温水清洗外阴,避免使用刺激性清洁剂,不滥用抗生素和激素药物,防止阴道菌群失调。在饮食上,均衡营养,多摄入富含维生素和膳食纤维的食物,增强机体免疫力,减少高糖、高脂食物摄入,避免为念珠菌生长创造条件。
- 日常生活中,不与他人共用毛巾、浴盆等私人物品,避免交叉感染;尽量穿宽松、透气的棉质衣物,避免紧身不透气的材质,保持局部通风良好。此外,定期进行体检,对于糖尿病、免疫缺陷等易感人群,更要密切关注身体状况,及时控制基础疾病,降低念珠菌感染风险。

