牙突然变黑可能是外源性染色、龋齿、牙髓坏死等原因引起的,牙突然变黑是指牙齿表面或内部在短时间内出现颜色改变,从正常的乳白色、淡黄色变为灰黑色、棕黑色等异常色泽。

1、外源性染色:长期饮用咖啡、浓茶、红酒等深色饮品,食用巧克力、酱油等深色食物,其中的色素会附着在牙齿表面,吸烟产生的焦油等物质也会使牙齿表面逐渐变黑。某些口腔卫生用品,如中药牙膏中的天然色素若长期使用,也可能导致牙齿染色。
2、龋齿:细菌在口腔内分解食物残渣中的糖类产生酸,酸会腐蚀牙釉质和牙本质,形成龋洞。龋坏组织中含有被细菌分解的食物残渣和细菌代谢产物,这些物质使牙齿颜色变黑。初期龋洞较浅时,牙齿表面可能仅出现褐色斑点。随着病情发展,龋洞扩大,牙齿变黑程度加重,还可能伴有冷热刺激敏感、食物嵌塞疼痛等症状。
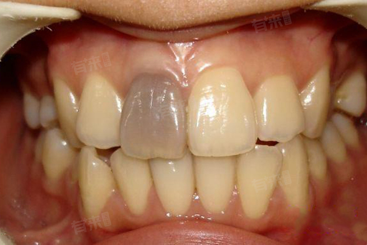
3、牙髓坏死:牙齿受到外伤、深龋感染或牙周病等影响,牙髓组织因缺血、缺氧发生坏死。坏死的牙髓组织分解产生硫化物,与牙齿中的矿物质结合,使牙齿逐渐变为灰黑色或暗灰色。患者一般无明显疼痛,但可能有牙齿咬合无力感,且牙髓活力测试无反应。
日常口腔清洁不到位,食物残渣、细菌在牙齿表面附着,逐渐形成黏性的牙菌斑。牙菌斑长期堆积,其中的矿物盐不断沉积,会矿化变硬形成牙结石。牙结石表面粗糙,容易吸附色素,使牙齿看起来变黑,尤其在牙齿颈部和牙缝处更为明显,同时可伴有牙龈红肿、出血等牙龈炎症状。
牙突然变黑的注意事项
- 每天使用牙线清洁牙缝,去除嵌塞的食物残渣和牙菌斑。对于牙间隙较大的人群,可使用牙缝刷。餐后及时漱口,减少食物残渣在口腔内的停留时间。减少饮用咖啡、浓茶、碳酸饮料等易染色饮品,少吃巧克力、糖果等高糖、深色食物。进食后及时漱口或刷牙,降低色素附着和龋齿发生的风险。
- 现牙齿突然变黑,应尽快前往口腔科就诊。医生通过口腔检查、牙髓活力测试、X线检查等,明确牙齿变黑的原因,制定针对性治疗方案。确诊后严格遵医嘱治疗,如龋齿需进行补牙;牙髓坏死需进行根管治疗。治疗后定期复查,观察牙齿恢复情况,保持口腔健康。

