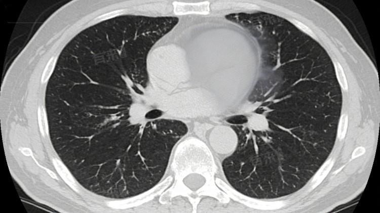
肺部毛玻璃影是肺部CT检查的影像征象,并非独立疾病,多对应肺部局部炎症、渗出、增生等病变,涵盖良性轻症至癌前病变、早期恶性病变,不同病症对应影像特点不同,可通过病变性质区分具体病因。

1、局灶性肺炎:肺部受细菌、病毒等病原体侵袭,引发局部肺泡炎症,肺泡内出现少量炎性渗出物、细胞浸润,肺泡充气程度下降,CT检查呈现淡薄毛玻璃影,边界模糊,伴随咳嗽、咳痰、低热等症状,病变多为暂时性,炎症消退后可逐渐吸收。
2、肺泡出血:肺部毛细血管破裂,少量血液渗入肺泡腔内,未完全填充肺泡,形成毛玻璃样影像改变,多由局部血管损伤、凝血功能轻微异常引发,无明显呼吸道症状,部分可自行吸收,影像表现密度相对均匀。
3、非典型腺瘤样增生:属于肺部肺泡上皮细胞的良性增生性病变,为癌前病变范畴,肺泡上皮细胞异常增生但未突破基底膜,CT显示边界清晰的纯毛玻璃影,直径通常偏小,无明显临床症状,病变进展速度缓慢。
4、真菌性肺炎:肺部感染曲霉菌等真菌,引发局部慢性炎症,肺泡内出现真菌菌丝、炎性渗出及组织增生,形成毛玻璃影,可伴随少量结节,边界欠规整,多见于免疫力偏低人群,抗炎治疗无明显改善。
5、早期肺腺癌:肺部腺上皮细胞发生恶性病变,早期癌细胞沿肺泡壁生长,未形成实性肿块,CT表现为混合性或纯毛玻璃影,边界可清晰或分叶,密度不均,无明显临床症状,属于肺部早期恶性病变范畴。
肺部毛玻璃影涵盖良恶性多种病变,并非均为严重病症,多数良性病变可自行缓解或经干预消退,少数为恶性或癌前病变,发现后需理性看待,结合影像特征与身体状态综合判断,避免过度焦虑或忽视。
肺部毛玻璃影要紧吗?
- 肺部毛玻璃影是否要紧,核心取决于病变的性质、大小及形态特点,不同类型的毛玻璃影,风险程度与预后差异较大,需结合具体情况判断,无需一概而论。
- 由局灶性肺炎、肺泡出血引发的良性毛玻璃影,通常无需过度担忧,这类病变多为暂时性,经针对性干预或自身修复后,可逐步吸收消退,不会对肺部功能造成长期影响,也无恶变风险,属于低风险情况。
- 非典型腺瘤样增生这类癌前病变引发的毛玻璃影,虽不属于恶性病变,但存在一定进展风险,需定期监测影像变化,避免病变持续发展,这类情况需给予重视,定期随访即可把控风险。
- 早期肺腺癌引发的毛玻璃影,属于需要重点关注的情况,虽为早期恶性病变,但病灶局限,无转移风险,及时干预后预后较好,若长期忽视,可能出现病变进展,提升治疗难度,需针对性处置。

