浅龋是龋齿的早期阶段,主要发生在牙釉质内,指的是牙齿硬组织在细菌等多种因素作用下发生的慢性、进行性、破坏性的病变,且病变仅限于牙齿表层。

1、病因与发病机制
- 浅龋的主要病因包括细菌和牙菌斑、食物残渣以及牙齿所处的环境等。在适宜的温度和时间内,细菌代谢食物中的糖分产生酸性物质,侵蚀牙齿硬组织,使之脱矿并破坏有机质,形成龋洞。浅龋的发病过程是一个渐进性的过程,如果不及时干预,病变会逐渐深入牙本质甚至牙髓。
2、临床表现
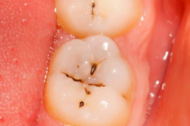
- 颜色改变:浅龋的龋损部位可能呈现黑色、白垩色、黄褐色或褐色斑点,这些颜色变化是牙齿硬组织受损的直观表现。
- 形态与质地:浅龋通常不会形成明显的龋洞,但用探针检查时可能会有粗糙感或能钩住探针尖端,表明牙齿表面已经发生了细微的破坏。
- 主观症状:由于病变仅限于牙齿表层,且未触及神经,因此患者一般无自觉症状,对冷、热、酸、甜等刺激亦无明显反应。
3、诊断与治疗
- 浅龋的诊断通常依赖于口腔检查、X线片检查以及荧光显示法或氩离子激光透射法等辅助检查手段,一旦发现浅龋,应及时进行治疗以防止病变进一步发展。治疗方法包括再矿化法、药物治疗和手术治疗等,具体方法应根据患者的具体情况和病变程度来选择。
为了预防浅龋的发生和发展,患者应养成良好的口腔卫生习惯,如定期刷牙、使用牙线等,还应避免过多摄入含糖食物和饮料,定期进行口腔检查预防龋齿。如果发现牙齿出现颜色、形态或质地的变化,应及时就医检查并接受相应的治疗。

