手指骨折的判断是一个综合的过程,涉及多个方面的观察和检查,判断主要依据外伤史、临床表现、体格检查、影像学检查等,建议及时就医明确诊断。

1、外伤史:首先明确的外伤史是判断手指骨折的重要依据,手指在受到外力撞击、挤压或扭伤等情况下,容易发生骨折,因此询问患者是否有明确的外伤经历是初步判断的关键。
2、临床表现:手指骨折后患者通常会出现明显的疼痛、肿胀和功能障碍,疼痛往往剧烈且难以忍受,肿胀则表现为手指局部迅速增大,皮肤紧绷,同时由于骨折导致的手指结构破坏,患者可能无法进行正常的屈伸活动,出现活动受限的情况。
3、体格检查:是判断手指骨折的重要手段之一,医生会通过触摸、挤压等方式检查手指的局部情况,如果触摸到骨折断端或听到骨擦音,即可初步判断为骨折。医生还会检查手指的畸形情况,如成角、旋转等畸形,都是骨折的特有体征。
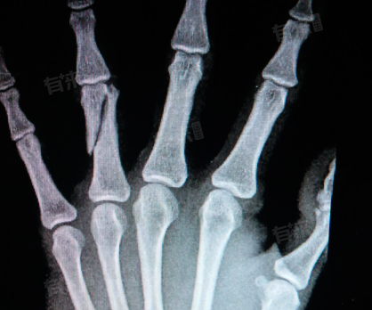
4、影像学检查:是确诊手指骨折的必要手段,X线片是最常用的检查方法,可以清晰地显示骨折的部位、类型和移位情况。对于细微的骨折或骨裂,可能还需要进行CT或MRI等进一步检查以明确诊断。
手指骨折后要注意保持固定、避免碰撞和过度活动。饮食上加强营养,多吃富含蛋白质和钙质食物。按时复查,遵医嘱进行康复训练,同时注意伤口清洁,预防感染,以促进骨折部位尽快愈合和恢复手指功能。

