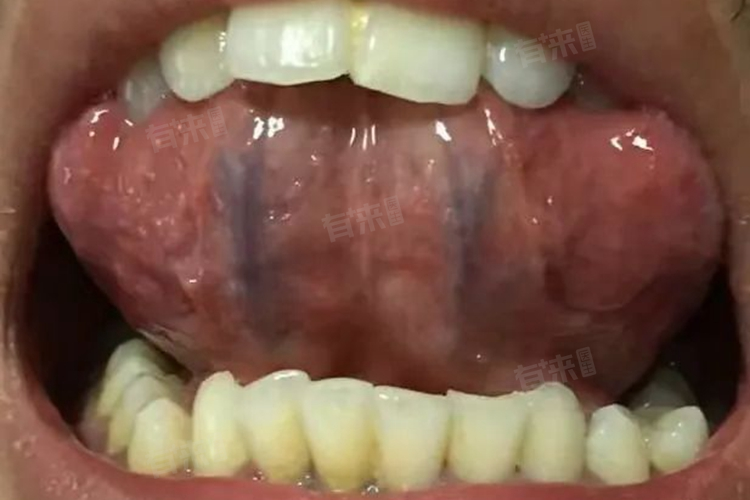
舌下血管发紫发黑可能由多种原因引起,常见的原因主要包括生理因素、色素沉着异常、口腔黏膜炎、创伤后遗症等。

1、生理因素:在寒冷的环境中,人体为了保持核心部位的温度,会收缩外周血管,这可能导致舌头下的血管颜色变深。此外,剧烈运动后,身体需要更多氧气,血液循环加速,有时会导致局部血液淤积,使舌下血管显得更加明显和颜色加深。
2、色素沉着异常:在舌下区域,如果出现色素沉着过度的情况,则可能导致血管看起来更暗,甚至呈现紫色或黑色。这种情况可能是由于遗传因素、激素水平变化或其他不明原因造成的。
3、口腔黏膜炎:当发生慢性刺激性口炎时,长期的机械性或化学性刺激(如过硬的牙刷、过于辛辣的食物)可以引起舌下区域的炎症反应。这种炎症不仅会引起疼痛和不适感,还可能导致该区域的微循环障碍,造成局部血管扩张和血液淤滞,进而出现紫色或黑色的表现,此情况往往伴随有口腔黏膜的红肿、溃疡等症状。
4、创伤后遗症:无论是意外咬伤、手术后的恢复过程还是其他形式的物理损伤,都可能对舌下的血管结构造成破坏。受伤后,受损的血管可能出现出血、血肿形成等现象,这些都会导致局部颜色加深。
3、雷诺病:是一种以小动脉阵发性痉挛为特征的疾病,主要影响手指和脚趾,但也可能波及到其他末梢部位如舌头下方。疾病发作时,受影响区域的血管会急剧收缩,导致局部缺血,使得皮肤和黏膜颜色变得苍白,随后因血液重新流入而变成紫色或黑色。
此外,血管瘤是一种由异常发育或增生的血管组成的良性肿瘤,它可以发生在身体的任何部位,包括舌下区域,舌下血管瘤可能会导致局部血管颜色发生变化,呈现出紫色甚至黑色。
当发现舌下血管发紫发黑的注意事项
- 观察是否有伴随症状是非常重要的一步,例如疼痛、肿胀、溃疡或其他不适感,这些附加症状可以帮助更准确地判断潜在的问题所在。此外,了解个人近期的生活习惯和饮食结构也很关键,某些辛辣食物或过硬的牙刷可能会对口腔黏膜造成慢性刺激,进而引发局部炎症反应,导致舌下血管颜色的变化。
- 回顾既往病史,特别是那些与血液循环相关的疾病,如果有相关疾病史,那么舌下血管的颜色变化可能与此类疾病的活动有关。同时,任何近期经历过的创伤或手术也应被考虑在内,因为它们可能导致局部血肿形成或血液循环障碍。此外,如果舌下血管颜色的变化是突然出现的,尤其是没有明显诱因的情况下,建议及时就医进行专业检查。

