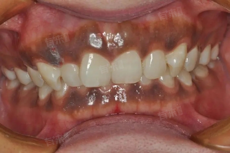
小孩牙龈呈现黑紫色像淤血的情况,可能由多种原因引起,包括外力损伤、口腔卫生不良等。

1、外力损伤:孩子在玩耍时如果不慎碰撞到牙龈或者自己咬伤牙龈,都可能导致局部淤血。这种情况通常无需特殊处理,在受伤48小时内可以进行冷敷,减少出血和肿胀,48小时后热敷,促进淤血的吸收。
2、口腔卫生不良:如果牙菌斑、牙结石大量堆积,会对牙龈产生刺激,引发炎症和淤血。此时需要加强口腔清洁,教导孩子正确的刷牙方法,每天早晚刷牙:,定期洗牙也有助于去除牙结石。如果炎症较为严重,可能需要遵医嘱使用消炎药。
3、药物副作用:药物可能会导致牙龈色素沉着和淤血,比如长期使用某些降压药、免疫抑制剂等。如果怀疑是药物引起的,应及时咨询医生,调整用药方案。一般在停药后1-2周,牙龈的情况可逐渐好转。
4、血液系统疾病:像血小板减少性紫癜、白血病等血液系统疾病,会影响凝血功能,从而导致牙龈淤血。这种情况需要进行血液检查,如血常规、凝血功能检查等,以明确诊断。之后针对原发病进行治疗,由于这类疾病较为复杂,治疗周期通常较长。
5、重金属中毒:长期接触铅、汞等重金属,也可能出现小孩牙龈黑紫色像淤血的情况,需要检测体内重金属的含量,然后进行相应的解毒治疗,恢复时间取决于中毒的程度和治疗的效果。
家长需要培养孩子良好的口腔卫生习惯,早晚刷牙,饭后漱口,避免孩子咬过硬的东西,防止牙龈损伤,注意孩子的饮食均衡,多吃富含维生素C的食物。也建议定期带孩子进行口腔检查,可以早发现早治疗。

