纯磨玻璃肺结节是指在胸部CT扫描中呈现的特定肺部结节形态,此结节在影像上表现为密度均匀一致、呈现云雾状的磨玻璃样改变,没有实质性的致密成分。

1、病因:
- 纯磨玻璃肺结节可能是由多种原因引起的,主要为环境因素、肺部感染、免疫系统疾病以及肺部肿瘤等。
- 肺部肿瘤尤其是早期肺癌,是引起纯磨玻璃肺结节的重要原因。
2、良恶性判断:
- 纯磨玻璃肺结节的良恶性判断需要结合患者的临床表现、影像学特征以及实验室检查等多方面因素进行综合分析。
- 一般而言,良性结节生长缓慢,形态规则,边界清晰,而恶性结节则可能生长迅速,形态不规则,边界模糊。
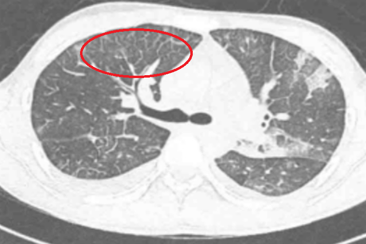
3、影像学特征:
- 在CT影像上表现为肺部局部区域密度增高,但增高程度不足以掩盖其中的血管和支气管影,密度介于正常肺组织与实性结节之间,呈现出磨玻璃样的视觉效果。
4、治疗原则:
- 对于纯磨玻璃肺结节的治疗,应根据结节的性质、大小、位置以及患者的具体情况制定个性化的治疗方案。
- 对于良性结节,如无明显症状且生长缓慢,可采取定期观察的策略;对于恶性结节或疑似恶性结节,则应尽早进行手术切除或其他综合治疗措施。
5、预防措施:
- 预防纯磨玻璃肺结节的发生,建议保持良好的生活习惯和环境卫生,避免长期吸烟、减少环境污染暴露、加强体育锻炼、保持充足睡眠等,都有助于降低肺部疾病的风险,定期进行体检和胸部CT检查。
存在纯磨玻璃肺结节的患者应尽早进行相关检查,排除肺部恶性肿瘤的可能性,应避免吸烟,保持良好的生活习惯,定期复查,以便监测病情变化。

