大牙蛀牙修复的费用通常在100-900元一颗,但具体价格会受到蛀牙的严重程度、所选用的治疗方法和材料、地区以及医疗机构等多种因素的影响。

- 如果大牙的蛀牙程度较轻,只是在牙釉质层或浅层的牙本质,仅需进行简单的补牙处理,使用较为常见的补牙材料,如玻璃离子或普通复合树脂,费用可能在100-300元。这种情况下,治疗过程相对简单,花费较少。
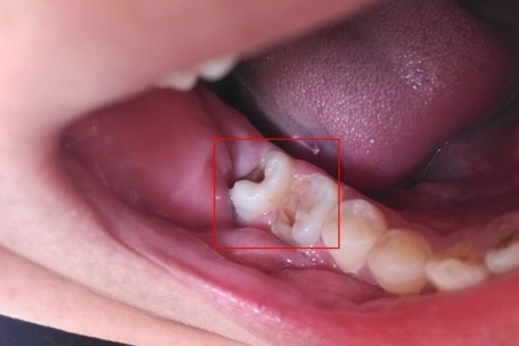
- 如果蛀牙进一步发展,深入到中层或深层牙本质,可能需要使用性能更好的补牙材料,如纳米树脂等,其价格会相对高一些,加上治疗的复杂性增加,费用可能在300-500元。
- 若蛀牙已经非常严重,损伤接近或到达牙髓,引发牙髓炎或根尖周炎,此时就不仅仅是补牙那么简单,而需要进行根管治疗。根管治疗包括开髓引流、根管预备、消毒和填充等多个步骤,需要多次就诊,耗费的时间和精力较多,同时使用的器械和药物也更复杂,因此费用较高,可能在500-900元,甚至更高。
- 不同地区的医疗收费水平存在差异,在经济发达的城市,费用可能会偏高;而在一些经济相对不发达的地区,价格可能会相对较低。而大型口腔专科医院或高端诊所,由于其设备先进、医生技术水平高以及服务质量好等因素,收费往往会高于普通的诊所或医院口腔科。
在进行治疗前,建议患者与医生充分沟通,了解治疗方案和费用详情,以便做出合适的选择。

