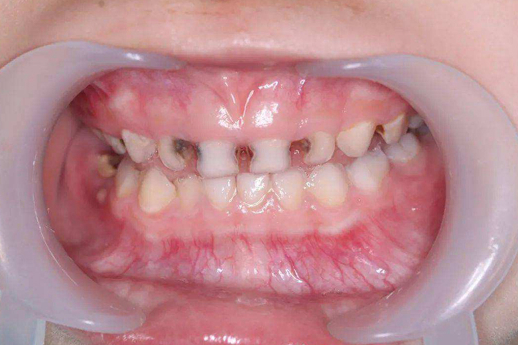
4岁孩子牙疼且有窟窿是需要及时处理的问题,应当注意口腔清洁,并及时调整饮食,疼痛明显时可在医生指导下进行局部止痛,或是到医院就诊

1、口腔清洁:
- 家长需教导孩子正确的刷牙方法,每天早晚刷牙,每次刷牙时间不少于3分钟,可使用儿童专用的软毛牙刷和适量的含氟牙膏。饭后用清水漱口,帮助清除食物残渣和细菌,防止窟窿进一步恶化。
2、调整饮食:
- 控制孩子甜食的摄入,如糖果、巧克力、蛋糕等。减少碳酸饮料的饮用,避免酸性物质对牙齿的侵蚀。
- 增加富含钙、磷、维生素的食物,如乳制品、豆制品、新鲜蔬菜和水果,有助于牙齿的健康发育。
3、局部止痛:
- 如果孩子牙疼难忍,可以用湿冷的毛巾或冰袋敷在脸颊疼痛部位,每次15-20分钟,缓解疼痛。
- 也可以在医生的指导下使用儿童专用的止痛药物,但要严格按照剂量使用,避免药物过量。
4、及时就医:
- 尽快带孩子去看牙医,进行详细的口腔检查,牙医会根据窟窿的大小、深度以及牙髓的感染情况制定治疗方案。如果牙髓尚未感染,可能进行补牙。若牙髓已感染,则需要进行根管治疗。
5、预防龋齿:
- 定期带孩子进行口腔检查,一般每半年一次。早期发现龋齿并及时治疗,防止龋齿的进一步发展。家长还可以遵医嘱给孩子的牙齿进行涂氟、窝沟封闭等,增强牙齿的抗龋能力。
家长或医生可以向孩子讲解牙齿健康的重要性,并帮助孩子培养良好的口腔卫生习惯,如通过绘本、动画等方式,让孩子了解龋齿的形成原因和危害,提高孩子保护牙齿的意识,主动配合治疗和预防。

