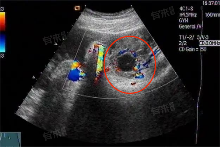
在妇科超声检查中,考虑黄体这一术语通常指的是医生在观察卵巢结构时,发现了一种特定的、与黄体相关的影像学特征。黄体是女性在排卵后,卵泡壁塌陷并形成的富含血管的腺体样结构,位于卵巢内,并具备分泌孕激素和雌激素的重要功能。这些激素对于维持女性的生殖健康、月经周期以及早期妊娠的支持都至关重要。

- 当医生在妇科超声检查中考虑黄体时,通常是在分析卵巢的影像学表现,寻找与黄体相关的特定征象。这些征象可能包括卵巢内的一个或多个囊性结构,这些结构在超声图像上呈现出特定的形态和回声特征。这些特征通常与黄体的生理变化相一致,如黄体在排卵后的增大、其内部的血管分布以及可能的囊性变等。
- 妇科超声检查作为一种无创、无痛的检查手段,能够清晰地显示女性生殖系统的结构,包括子宫、卵巢、输卵管等。在检查过程中,医生会使用高频超声波探头,通过腹壁或阴道对女性生殖器官进行扫描,以获取详细的影像学信息。当医生在超声图像中发现与黄体相关的征象时,会结合患者的临床表现、月经周期以及实验室检查等信息,来综合判断这些征象是否与黄体有关。
- 考虑黄体在妇科超声检查中的意义在于,能够帮助医生评估女性的卵巢功能,特别是黄体的形成和功能状况。黄体的正常发育和功能对于女性的生殖健康至关重要。如果黄体功能异常,可能会导致月经不调、不孕、流产等妇科问题。因此,通过妇科超声检查来观察黄体的状况,可以为医生提供重要的诊断线索,有助于制定个性化的治疗方案。
需要注意的是,妇科超声检查中的考虑黄体并不意味着患者一定患有某种疾病。黄体是女性卵巢内的正常结构,其形成和变化是生理现象的一部分。只有当黄体出现异常增大、形态改变或伴随其他症状时,才可能需要进一步的检查和治疗。
考虑黄体,建议完善的检查
1、血液激素水平检测:测量孕酮、雌二醇(E2)、卵泡刺激素(FSH)和黄体生成素(LH),评估黄体功能是否正常,反映排卵情况。
2、连续血清孕酮测定:监测黄体期孕酮变化,帮助判断黄体功能是否健全,特别适用于怀疑黄体功能不全的情况。
3、甲状腺功能测试:排除甲状腺疾病对生殖系统的影响,因为甲状腺功能异常可能干扰黄体功能。
4、免疫学检查:评估是否存在自身免疫性疾病,这类疾病有时会干扰黄体功能,影响妊娠成功率。
5、重复超声波检查:在不同周期阶段观察黄体的形态变化及其与周围组织的关系,确保没有其他病变如囊肿或肿瘤的存在,保障诊断准确性。

