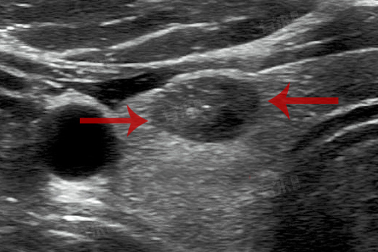
甲状腺结节点状强回声是指在进行甲状腺超声检查时,观察到甲状腺部位存在结节,并且结节内部的回声强度高于周围正常的甲状腺组织。

1、可能的原因:
- 结节钙化:钙化是甲状腺结节中常见的超声表现,它可能由钙盐沉积形成。钙化可能是良性结节的特征,但也可能出现在少数恶性结节中。钙化灶在超声图像上表现为明亮的点状强回声。
- 结节内纤维化:当结节内部存在大量纤维组织时,超声波在其上反射时会产生点状强回声。这种情况通常与甲状腺炎、结节性甲状腺肿等炎性疾病相关。
- 结节血供丰富:在超声检查中,点状强回声结节的后方常常有较丰富的血流信号,这可能与结节内的血管异常扩张有关。血流供应的增加可能提示结节的恶性潜力较大,需要进一步评估和随访。
2、临床意义:
- 良性结节:点状强回声可能是良性结节的表现,如甲状腺囊肿、甲状腺腺瘤等。这些结节通常没有明显的症状,不需要特殊治疗,但需要定期复查,观察其变化情况。
- 恶性结节:点状强回声也可能是恶性结节的表现,如甲状腺癌。恶性结节通常伴有其他异常表现,如结节形状不规则、边缘不清、血供丰富等。对于疑似恶性结节,需要进行进一步的检查,如穿刺活检或手术切除,以确定其性质并制定相应的治疗方案。
3、检查与治疗:
- 进一步检查:当发现甲状腺结节点状强回声时,建议患者进行进一步的检查,如甲状腺功能检查、穿刺活检等,以明确诊断。
- 治疗:治疗方式的选择需要根据结节的大小和性质来决定。对于良性结节,可能只需要定期复查;而对于恶性结节,则需要进行手术治疗,如甲状腺切除术等。
甲状腺结节点状强回声需要引起重视,但不必过度恐慌。通过进一步的检查和治疗,大多数患者可以得到有效的管理和治疗。保持良好的生活习惯,定期进行体检,有助于及早发现并治疗甲状腺疾病。

