牙黄的原因有很多,如外源性色素沉着、内源性着色、增龄性变化等,一般可以选择摩擦剂类牙膏、美白剂类牙膏等。但需注意,牙膏的作用有限,并没有所谓最有效的牙膏。

1、摩擦剂类牙膏:
- 碳酸钙:碳酸钙是一种常见的摩擦剂,有一定的研磨作用,可以通过物理摩擦的方式,去除牙齿表面附着的食物残渣、软垢以及部分外源性色素,从而在一定程度上让牙齿看起来更洁白。对于因日常饮食中的色素附着导致的牙黄,含有碳酸钙的牙膏能起到较好的清洁和美白效果。
- 水合硅石:水合硅石的颗粒较为细腻,摩擦性相对温和,同时又具有良好的清洁能力,能深入牙齿表面的细微沟壑,去除污垢和色素,而且不会对牙齿表面造成过度磨损,适合大多数人群使用,尤其是牙齿敏感但又有美白需求的人。
2、美白剂类牙膏:
- 过氧化氢:过氧化氢具有强氧化性,能够穿透牙齿的表面结构,分解牙齿内部的色素分子,将其转化为无色物质,从而实现美白牙齿的效果。对于因吸烟、喝咖啡、喝茶等生活习惯导致的轻中度牙黄,含有过氧化氢的牙膏有较为显著的美白作用。
- 过碳酸钠:过碳酸钠在遇水后会分解产生过氧化氢和纯碱,进而发挥美白和清洁的双重功效,可以有效去除牙齿表面和深层的色素,同时还能起到一定的杀菌作用,帮助维持口腔清洁环境,减少色素再次附着的机会。
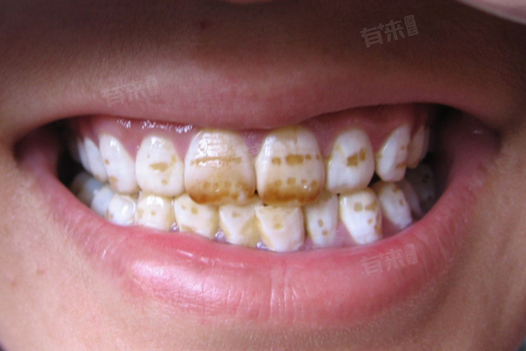
另外,牙膏对牙黄的改善效果有限,对于严重的牙黄问题,如四环素牙、氟斑牙等,可能需要专业的口腔治疗才能达到理想的美白效果。
牙黄的预防措施
- 每天至少刷牙两次,每次不少于两分钟。建议使用巴氏刷牙法,即水平颤动拂刷法,确保牙齿的每个面都能得到有效清洁。选择软毛牙刷,避免对牙齿和牙龈造成过度刺激。牙线可以清洁牙缝中的食物残渣和牙菌斑,预防龋齿和牙周病。冲牙器利用高压水流冲洗牙缝,清洁效果更佳,尤其适合牙缝较大的人群。
- 避免过多摄入咖啡、茶、红酒、可乐等深色饮品,这些饮品中的色素容易附着在牙齿表面。食用深色食物后,及时漱口或刷牙,减少色素残留。富含纤维的水果和蔬菜,如苹果、胡萝卜等,可以通过咀嚼时的摩擦作用帮助清洁牙齿。
- 每半年至一年进行一次口腔检查,及时发现并处理口腔问题,牙医可以根据牙齿状况提供个性化的护理建议。

