牙龈上持续不消的包可能是由于牙龈炎、根尖周炎等因素导致的,患者需及时就医检查诊断,并在专业医生的指导下进行针对性的治疗,缓解不适症状。

1、牙龈炎:当牙菌斑在牙齿表面积累,形成牙石,可能刺激牙龈,引发炎症反应,牙龈可能变得红肿、出血,并形成持续不消的包。建议定期进行超声波洗牙,并配合医生使用抗菌漱口水辅助治疗。
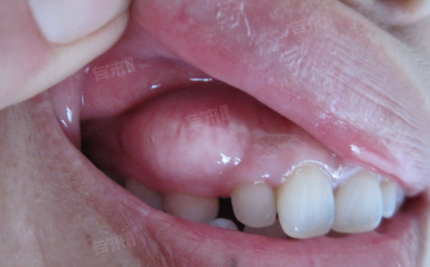
2、根尖周炎:当牙髓受到感染或损伤时,炎症可能通过根尖孔扩散至周围组织,引发根尖周炎,牙龈上可能出现持续不消的包,伴有咬合疼痛、牙齿松动等症状。治疗根尖周炎时,需要就医进行根管治疗,清除根管内的炎症物质,并进行适当的填充和封闭。
3、牙周脓肿:牙周脓肿是由于牙周袋内的细菌感染扩散至周围组织,形成脓液积聚,牙龈上的包可能会迅速增大,伴有剧烈疼痛和肿胀。患者需遵医嘱进行切开引流,将脓液排出,以减轻疼痛和肿胀。
4、牙龈瘤:牙龈瘤是一种较为罕见的牙龈良性病变,通常表现为牙龈上持续不消的包块。处理牙龈瘤时,通常需要进行手术切除,并去除局部刺激因素,且术后,患者需要注意口腔卫生,定期进行复查,以预防复发。
5、牙龈癌:牙龈癌通常表现为牙龈上持续增大的包块,伴有疼痛、出血等症状。当怀疑牙龈癌时,应尽快进行活检以明确诊断,治疗牙龈癌时,可能需要进行手术切除、放疗或化疗等综合治疗。
牙龈上持续不消的包可能是多种口腔疾病的表现,患者应尽早寻求专业医生的帮助,进行详细的口腔检查和诊断。针对不同的病因,采取相应的治疗措施,以恢复牙龈的健康。
治疗牙龈有个包一直不消的注意事项
- 在治疗牙龈包块期间,患者需严格按照医生的治疗方案进行,按时服药、换药,避免自行更改治疗方案。患者还需保持口腔卫生,如使用软毛牙刷和温和的牙膏进行刷牙,避免刺激牙龈。每天至少刷牙两次,饭后使用漱口水清洁口腔,以减少细菌滋生。
- 在治疗期间,避免使用患侧牙齿咀嚼食物,以免加重牙龈负担,避免吸烟、饮酒等刺激性行为,以免影响治疗效果。建议患者按照医生的安排,定期进行复查,以便及时了解治疗效果和病情变化,如有异常,应及时向医生反馈。在治疗期间,应保持饮食清淡,避免摄入过于油腻、辛辣等刺激性食物,增加蔬菜、水果等富含维生素的食物摄入,有助于促进口腔健康。

