口腔黏膜病是发生在口腔唇、颊、舌、上腭等黏膜各个部位的病变,其症状多种多样,常见症状包括口腔疼痛、口腔溃疡、口腔干燥等。

1、口腔疼痛:口腔黏膜病可能会导致口腔内炎症反应和组织损伤,从而刺激神经末梢,引发口腔疼痛,这种疼痛可能出现在舌头、牙龈或其他口腔内部区域。
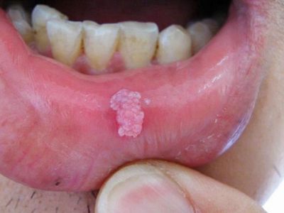
2、口腔溃疡:口腔溃疡是口腔黏膜病中常见的症状之一,通常表现为单个或多个圆形或椭圆形的溃疡面,边缘发红,中央凹陷,表面覆盖有黄白色假膜,并伴有疼痛。口腔溃疡可能发生在口腔黏膜、牙龈、舌体、咽喉等部位,具有反复发作的特点。
3、口腔干燥:口腔黏膜病可能会影响唾液腺的功能,导致唾液分泌减少,从而引起口腔干燥的症状,口腔干燥的感觉通常描述为口腔内部感到干涩或缺乏水分。
4、味觉减退:口腔黏膜病可能导致味蕾受损,使患者出现味觉减退的情况,味觉减退可能表现为对咸、甜、酸等基本味道的感受减弱,但不影响嗅觉。
5、咀嚼困难:口腔黏膜病可能导致口腔内炎症、肿胀或感染,这些情况可能会干扰牙齿和其他结构之间的正常接触,使得咀嚼变得困难,咀嚼困难可能表现为吃固体食物时,需要更长时间才能将其弄碎。
需要注意的是,口腔黏膜病的症状可能因个体差异而有所不同,且同一种疾病在不同患者身上也可能表现出不同的症状。如果出现上述症状,建议及时就医进行诊断和治疗,以免延误病情。

