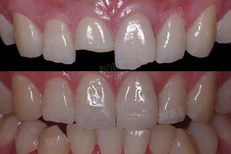
牙贴片是一种牙齿美容修复技术,对牙齿可能存在一定的伤害,但总体而言其伤害程度相对较轻,并且可以通过护理和保养来降低或避免潜在的风险。

- 在制作牙贴片前,通常需要对牙齿进行磨削和打磨,以去除部分牙釉质,为牙贴片创造容纳的空间。这一过程会破坏牙釉质的完整性,降低其抗龋能力,从而增加牙齿发生龋坏的风险。但随着技术的发展,现代牙贴片技术已经能够尽量减少对牙釉质的磨除量,有些情况下甚至可以不磨除牙齿。
- 在进行牙贴片粘接修复时,如果残余材料未及时去除,可能会对牙龈产生刺激,但这种刺激有限,对牙齿的伤害一般不大。残余材料容易粘附食物残渣和软垢,进而引发牙龈炎。因此在粘接过程中需要仔细清理,确保没有材料残留。
- 粘接牙贴片时,也需要使用酸蚀剂处理牙釉质,以便更好地粘接。如果酸蚀后不能彻底冲洗干净,使用的粘接剂及酸蚀剂可能会渗透进入牙本质,引起牙髓的酸疼。但在粘接过程中,医生会确保酸蚀剂被彻底冲洗干净,一般不会产生较大危害。
如果牙贴片粘贴不牢固或患者咀嚼过硬的食物,可能会导致贴片脱落或折断。但如果及时处理,如更换牙贴片、牙齿修复等,一般不会对牙齿产生较大伤害。而且这种情况可以通过饮食调整避免,患者要尽量选择质地较软的食物,如豆腐、鸡蛋羹、鱼肉等,这样既可以满足营养需求,又能减少对牙贴片的损害。
降低牙贴片对牙齿伤害的方法
1、口腔清洁维护:使用软毛牙刷按照正确的刷牙方法刷牙,每天早晚各一次,每次刷牙时间不少于3分钟。刷牙时要注意清洁牙贴片的边缘和牙齿的邻接面,避免食物残渣和牙菌斑在这些部位堆积。可以使用牙线或牙缝刷来清洁牙缝,防止食物嵌塞。
2、定期复查:安装牙贴片后,要按照医生的嘱咐定期进行复查,一般建议每3-6个月复查一次。复查时,医生会检查牙贴片的状态,包括是否有松动、脱落、边缘微渗漏、变色等情况。如果发现问题,可以及时进行处理,以免问题进一步恶化,对牙齿造成更大的损害。

