牙龈上出现白点是多种因素作用于牙龈组织的外在表现,涉及生理变异、局部刺激、感染以及组织病变等方面。从正常的上皮角化异常,到潜在的病理性改变,上述因素通过影响牙龈细胞代谢、组织结构或引发炎症反应,形成肉眼可见的白点。

1、上皮角化增生:
牙龈黏膜的上皮组织在受到长期轻微刺激时,可能出现角化增生。例如,佩戴不合适的假牙、粗糙的牙面摩擦等,会促使牙龈上皮细胞过度角化。这些过度角化的细胞堆积,在牙龈表面形成白色点状突起,质地较硬,一般不会引发疼痛,属于机体对局部刺激的一种生理性反应,通常不会对牙龈健康造成严重影响。
2、食物残渣残留:
进食后,细小的食物颗粒可能嵌塞在牙龈边缘或牙缝中。若未及时清理,残留的食物残渣在口腔细菌作用下,颜色可能变白发亮,形成类似白点的外观。尤其是纤维类食物,容易卡在牙龈乳头处,不仅影响美观,还可能成为细菌滋生的温床,长期刺激牙龈,引发炎症。
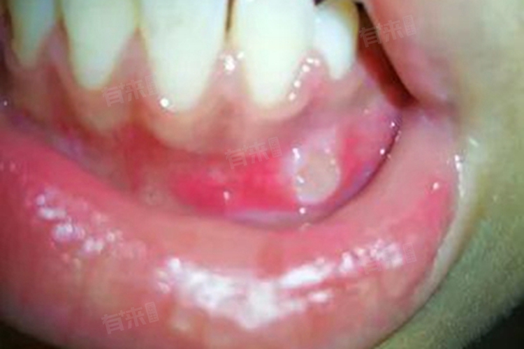
3、口腔溃疡:
当牙龈黏膜发生口腔溃疡时,初期可能表现为白色小点,周围伴有红晕。口腔溃疡的发生与局部创伤、饮食刺激、免疫因素等有关。白点处的黏膜上皮破损,下方组织暴露,受到冷热、辛辣等刺激时会产生疼痛,随着病情发展,白点可能扩大形成圆形或椭圆形的溃疡面,影响口腔正常功能。
4、根尖周炎瘘管:
牙齿根尖部发生炎症时,若未得到及时治疗,炎症会突破牙槽骨,在牙龈表面形成瘘管。初期瘘管口可能表现为白色小点,挤压时会有脓性分泌物溢出。这是根尖周炎症向外引流的通道,表明牙齿的根尖组织已受到严重破坏,若不处理,会持续影响周围牙周组织健康。
5、牙龈白斑:
牙龈白斑是一种口腔黏膜角化异常性疾病,表现为牙龈上边界清楚的白色斑块,不能擦去。其发病与局部刺激(如吸烟、不良修复体)、真菌感染等因素相关。牙龈白斑具有一定的恶变倾向,部分患者的白斑表面会出现粗糙、皲裂或溃疡,若不及时干预,可能发展为口腔癌,严重威胁健康。
对于偶尔出现且无不适症状的白点,可先观察并保持口腔清洁。但如果白点持续存在、增大,伴有疼痛、出血、牙齿松动等症状,应及时就医。早发现、早诊断病因,才能避免病情恶化,维护口腔健康。
牙龈上长白点应做哪些检查项目
- 口腔视诊与触诊:医生首先通过肉眼观察牙龈上白点的位置、大小、形态、颜色及边界情况,判断其表面光滑度、有无溃疡或皲裂。同时,用手指轻轻触摸白点及周围牙龈组织,感受质地是否柔软、有无硬结,判断是否存在压痛,初步评估病变性质和范围。
- 口腔卫生检查:查看口腔内牙齿表面的牙菌斑、牙结石附着情况,评估口腔卫生状况。不良的口腔卫生环境易滋生细菌,可能与白点的形成相关,如食物残渣堆积引发炎症或促进细菌感染,明确口腔卫生情况有助于分析病因。
- 牙齿检查:检查对应部位牙齿有无龋洞、缺损、松动等情况,判断是否存在牙髓炎、根尖周炎等牙齿疾病。因为根尖周炎症形成的瘘管可能在牙龈上表现为白点,通过对牙齿的详细检查,可排查是否存在牙齿病变导致牙龈异常。

