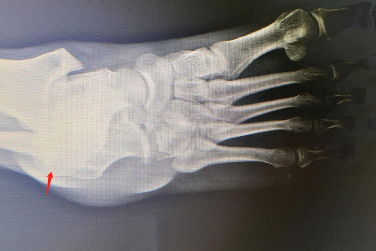
右脚骰骨骨折后可能会出现一系列后遗症,包括慢性疼痛、创伤性关节炎、足弓塌陷、骨折不愈合或延迟愈合、肌肉萎缩和力量下降等方面,若出现相关症状,应及时就医诊治。

1、慢性疼痛:骨折愈合后,部分患者在长时间行走、站立或天气变化时,会感到右脚骰骨部位隐隐作痛。可能是由于骨折处的微小神经损伤,或者愈合过程中形成的瘢痕组织刺激神经所致。疼痛程度通常较轻,但可能会影响生活质量。
2、创伤性关节炎:如果骨折累及关节面,导致关节面不平整,在日后的活动中,关节软骨容易磨损,引发创伤性关节炎。患者会出现关节疼痛、肿胀、僵硬,活动受限,在上下楼梯、下蹲等动作时症状更为明显。
3、足弓塌陷:骰骨在维持足弓的结构和稳定性方面起着重要作用。骨折后,如果愈合不良,可能导致足弓结构改变,出现足弓塌陷。可能会影响足部的负重和行走功能,使患者容易疲劳、疼痛,甚至可能影响到整个下肢的力线。
4、骨折不愈合或延迟愈合:如骨折严重、治疗不当、患者自身健康状况不佳等,骰骨骨折可能无法正常愈合或愈合时间延长,会导致长期的疼痛、肿胀,严重影响足部功能,甚至可能需要再次手术干预。
5、肌肉萎缩和力量下降:骨折后的长时间固定和休息,会导致右脚相关肌肉废用性萎缩,力量下降,使得患者在恢复活动后,足部的稳定性和运动能力受到影响,容易出现扭伤、跌倒等情况。
发生骨折后在医生指导下进行科学合理的康复锻炼,避免过早负重或过度活动,均衡饮食,多摄入富含钙质、蛋白质等营养物质的食物,促进骨折愈合和肌肉恢复。

