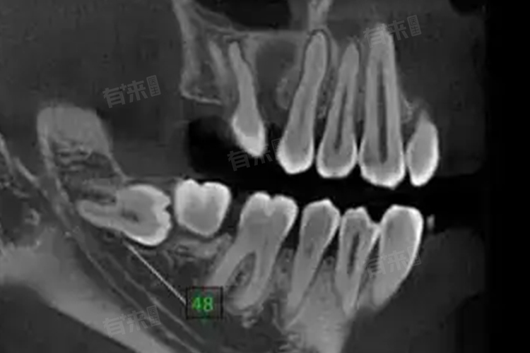
拔智齿通常是需要拍片子的,拍片子可以帮助医生全面了解智齿的生长情况、周围组织状况,从而制定合适的拔牙方案,提高拔牙的安全性和成功率。

1、了解智齿生长情况
- 确定智齿位置:智齿的生长位置多种多样,有的正常萌出,有的可能倾斜、水平甚至倒置生长。通过拍片子,如口腔全景片或口腔CT,可以清晰地看到智齿在牙槽骨中的具体位置,为医生制定拔牙方案提供准确依据。
- 评估与邻牙关系:片子可以显示智齿与周围邻牙的紧密程度,如果智齿与邻牙靠得太近,在拔除过程中可能会对邻牙造成损伤。通过片子提前知晓这种情况,医生在操作时可以更加小心谨慎,采取相应的保护措施。
2、判断智齿周围组织状况
- 查看牙槽骨情况:了解智齿周围牙槽骨的密度、厚度等情况,对于拔牙的难度评估至关重要。如果牙槽骨过于坚硬,可能需要使用更强大的器械和力量来拔除智齿,这也意味着拔牙过程中的风险可能会增加。
- 观察周围神经血管:口腔内存在着丰富的神经和血管,尤其是下牙槽神经。通过片子可以判断智齿与这些重要结构的距离,避免在拔牙过程中损伤神经血管。一旦损伤下牙槽神经,可能会导致下唇麻木等严重后果。
3、提高拔牙安全性和成功率
- 制定个性化方案:拍片子后,医生可以根据智齿的具体情况制定对应的拔牙方案,对于复杂的智齿,可能需要分步骤拔除,或者采用特殊的器械和技术。这样可以提高拔牙的安全性,减少并发症的发生。
- 预估拔牙难度和时间:通过片子,医生可以大致预估拔牙的难度和所需的时间,这对于患者来说也是很重要的信息,可以让患者提前做好心理准备,合理安排时间。
虽然拍片子可能会增加一些费用和时间,但与拔牙的风险相比,这是非常必要的投资,在拔智齿前,患者应积极配合医生进行相关的检查,以便顺利地完成拔牙过程,恢复口腔健康。
拔智齿前需要准备什么
- 在拔牙前要如实向医生告知自己的身体状况,如果有心脏病、高血压、糖尿病等全身性疾病,或者正在服用某些药物,一定要提前告知医生。医生会根据你的具体情况评估拔牙的风险,并制定相应的治疗方案。
- 拔牙前要保持良好的口腔卫生,可以在拔牙前几天认真刷牙、使用牙线,清除口腔内的食物残渣和细菌。这样可以减少拔牙后感染的风险,要避免在拔牙前吃辛辣、刺激性食物,以免引起口腔炎症。
- 在拔牙当天,要吃好早餐或午餐,但不要吃得过饱。空腹拔牙可能会引起低血糖等不适症状,但吃得过饱则可能在拔牙过程中出现恶心、呕吐等情况。要穿着舒适、便于穿脱的衣服,以便在拔牙时能更好地配合医生的操作。

