牙龈上有个小洞可能是由多种原因引起的,如牙龈溃疡、牙龈炎、牙周炎等。可在医生的指导下进行药物治疗、根管治疗等。

1、牙龈溃疡:牙龈组织受损或感染,形成溃疡或糜烂,伴有局部红肿和疼痛,通常和细菌感染、外伤等有关。可以使用溃疡贴帮助缓解局部疼痛,维持局部代谢功能,以促进恢复。
2、牙龈炎:由牙菌斑积累所导致的牙龈炎症,可导致牙龈红肿、出血,部分患者牙龈表面会出现洞眼,局部有渗出。在医生的指导下服用药物来消除炎症,同时保持口腔卫生,定期口腔检查,刷牙、使用牙线和漱口水。
3、牙周炎:牙龈炎的进一步发展通常和感染、牙结石等有关,可出现牙龈出血、牙齿松动、口臭的情况,局部形成牙周带,表面有洞眼。可以在医生的指导下服用药物来改善症状,同时进行牙周治疗、牙周手术等。
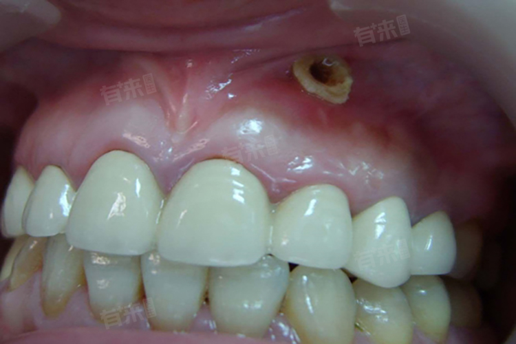
4、根尖周炎:通常是由细菌感染、物理因素(如打击碰撞)、化学因素(如药物使用不当)等引起,根尖处的牙龈出现瘘管,伴有局部疼痛、牙龈肿胀、出血、流脓等症状。建议进行根管治疗,摘除感染牙髓,根管消毒后应用牙胶尖密闭管腔、修补缺损。如果瘘管持续不愈合,可以刮除肉芽组织或进行根尖切除术促进愈合。
如果牙龈上出现小洞并伴有疼痛、肿胀等症状,应及时到医院口腔科就诊,进行相关检查以确定病因。避免吃过于坚硬、辛辣、刺激性的食物,多吃新鲜蔬菜水果。

