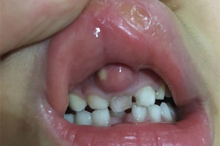
牙龈囊肿非常少见,这里说的牙龈囊肿可能指的就是发生在颌骨内的囊肿,是发生于牙龈组织的囊性病变,手术是常见的治疗方法。住院时间的长短主要取决于囊肿的大小、位置、患者的身体状况以及术后恢复情况等多种因素,通常为3-7天。

- 对于牙龈囊肿就位于牙龈表面、直径<1cm,手术过程相对简单,术后恢复较快。如果患者身体状况良好,没有其他并发症,一般住院3-4天。在这期间,医生会密切观察术后伤口的出血、肿胀情况,给予抗感染、止痛等治疗,并指导患者进行口腔护理。
- 如果牙龈囊肿直径>1cm或者位于牙龈下方,患者本身存在其他健康问题,如糖尿病、高血压等,住院时间可能会相应延长。手术的复杂性增加,术后需要更严密的观察和护理,以确保伤口愈合良好,避免感染等并发症的发生。这种情况下,住院时间可能在5-7天。
- 在进行牙龈囊肿手术前,患者需要进行全面的身体检查,包括血常规、凝血功能、血糖、血压等检查,以评估手术的风险和患者的耐受能力。术后,患者需要注意保持口腔清洁,避免食用辛辣、刺激性食物,按照医生的要求按时服药和复查。
术后遵循医嘱,注意口腔卫生,避免剧烈运动,如有异常出血、疼痛加剧等情况及时告知医生。建议每天睡7-9小时,保持饮食清淡,不要吃辣椒、大蒜等食物,定期复诊检查,以确保完全康复。

