牙齿黑斑处理需根据病情轻重采取不同方法,包括日常清洁、专业洁牙、化学漂白、填充修复,以及根管治疗或拔牙等,建议在专业医生的操作下进行治疗,确保口腔健康。

1、日常清洁:对于初期形成的轻微黑斑,建议强化日常清洁,每天至少刷牙两次,每次不少于两分钟,使用含氟牙膏,并配合牙线清理牙缝中的食物残渣和牙菌斑。定期使用漱口水也能有效抑制口腔细菌生长,减少黑斑形成的风险。适用于因食物残渣和轻度牙菌斑导致的黑斑。
2、专业洁牙:若日常清洁无法彻底去除黑斑,建议前往专业牙科机构进行超声波洁牙,其利用高频振动去除牙齿表面的牙结石和顽固牙菌斑,能改善牙齿的色素沉着。专业洁牙适用于因长期吸烟、饮茶、咖啡等习惯导致的外源性色素沉着,以及轻度牙菌斑积累。
3、化学漂白:对于较为顽固的黑斑,化学漂白是一种可行的选择。在牙医指导下,使用过氧化氢等漂白剂对牙齿进行美白处理,可以有效去除牙齿表面的色素沉积。但漂白剂可能对牙齿造成一定刺激,需在专业指导下使用,并控制使用频率。适用于中度至重度色素沉着,且牙齿本身健康状况良好的情况。
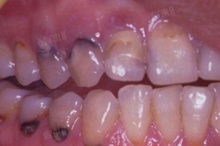
4、填充修复:若黑斑是由于龋齿引起,则需就医进行专业的龋齿治疗,包括去除龋坏组织,制备合适的洞形,并选用适宜的充填材料进行修复,龋齿治疗不仅能去除黑斑,还能恢复牙齿的形态和功能,防止病情进一步恶化,适用于因龋齿导致的黑斑,且已对牙齿造成实质性损害的情况。
5、根管治疗:若黑斑是由于牙髓坏死导致,可能需要在专业医生的操作下进行根管治疗或拔牙处理。牙髓坏死会导致牙齿变色、变黑,且无法通过简单的清洁或漂白恢复,需根据病情严重程度选择适当的治疗方案,以保存牙齿或防止病情扩散。适用于牙齿内部组织已严重受损,且无法通过其他方式恢复的情况。
保持口腔健康,预防牙齿黑斑的形成,需在日常生活中注意饮食健康,减少含色素食物和饮料的摄入,保持良好的口腔卫生习惯,定期刷牙、使用牙线和漱口水,定期进行口腔检查。

