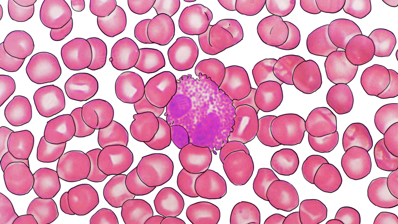
嗜碱性粒细胞百分比偏高可能由多种原因引起,包括药物刺激、过敏性疾病、血液疾病、传染性疾病等。

1、药物刺激:患者如果长期服用某些药物,如异烟肼、米诺环素、奎尼丁等,有时会导致嗜碱性粒细胞百分比偏高。这种情况在停药以后通常可以恢复正常,一般不需要特殊治疗。
2、过敏性疾病:过敏性疾病是导致嗜碱性粒细胞百分比偏高的常见原因之一,当人体吸入或使用导致过敏的物质(如尘螨、粉尘、动物皮屑等)后,会表现出嗜碱性粒细胞百分比偏高。这些过敏性疾病可能包括过敏性结肠炎、过敏性胃炎、过敏性鼻炎、过敏性哮喘等。在过敏反应中,嗜碱性粒细胞参与速发性(I型)变态反应,导致外周血嗜碱性粒细胞比例与绝对值以及细胞内组胺含量增高。
3、血液疾病:某些血液疾病也是导致嗜碱性粒细胞百分比偏高的重要原因。例如,慢性粒细胞白血病患者骨髓早幼粒细胞增多,分化为嗜碱性粒细胞也相应增多。此外,嗜碱性粒细胞白血病、骨髓增殖性疾病及骨髓纤维化等疾病也可能表现为嗜碱性粒细胞百分比偏高。这类疾病的治疗通常涉及化疗、放疗或造血干细胞移植等。
4、传染性疾病:部分传染性疾病患者也可能出现嗜碱性粒细胞百分比偏高的情况。例如,水痘、流感、天花、结核等传染性疾病在部分患者中可表现为嗜碱性粒细胞百分比偏高。
当出现嗜碱性粒细胞百分比偏高的情况时,建议及时前往医院进行相关检查以明确病因,并在医生指导下进行针对性治疗。此外,保持良好的生活习惯和心态也有助于提高机体免疫力,减少风险。

