医生笔记

老大爷患内踝骨折,车祸后关节疼痛是预警!

2022-09-21
黄恺 副主任医师
浙江省立同德医院 骨外科

(声明:本文仅用于科普用途,为了保护患者隐私,以下内容里的相关信息已进行处理)

摘要:患者为老年男性,就诊前6个小时被汽车撞倒,当时感右踝内侧剧烈疼痛,踝内侧皮肤有明显瘀青,右踝关节无法活动,无法站立行走,遂被120送来我院就诊。随即给予患者完善CT检查后,诊断为内踝骨折,随即给予患者支具固定、药物治疗,并辅以康复锻炼。经治疗后,患者肿胀、疼痛明显缓解。

【基本信息】男、69岁

【疾病类型】内踝骨折

【就诊医院】浙江省立同德医院

【就诊时间】2022年7月

【治疗方案】注射药物(甘露醇注射液)+口服药物(马栗种子提取物片、塞来昔布胶囊)+一般治疗(支具固定)+康复锻炼(踝泵功能训练)

【治疗周期】住院治疗7天

【治疗效果】右踝关节肿胀消退,关节疼痛明显缓解

一、初次面诊

患者为老年男性,69岁,因为外伤致右内踝关节肿胀、疼痛6个小时来我院就诊。患者主诉在就诊前6个小时被汽车撞倒,后出现右踝内侧剧烈疼痛,踝内侧皮肤出现瘀青,右踝关节不能正常活动,不能站立行走,遂被120送来我院就诊。
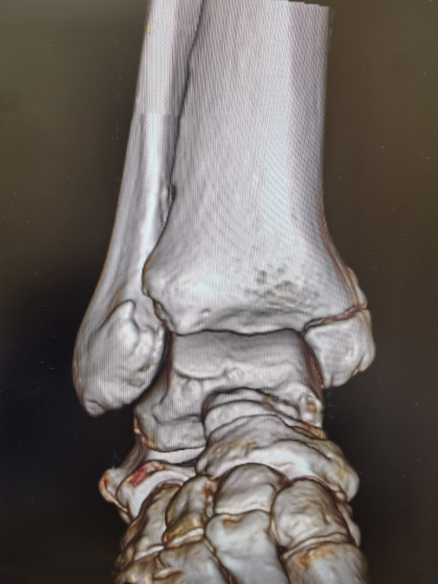
然后给予患者完善右踝关节三维CT检查,结果显示右侧内踝骨折,骨折对位、对线良好。结合患者的临床表现及辅助检查结果,诊断为内踝骨折,与患者及家属进行沟通,建议入院治疗,患者及家属表示同意,随即将患者收入我科。

二、治疗经过

入院后,与患者及家属进行沟通,由于患者骨折对位、对线良好,关节面未出现不平整的情况,未出现台阶感,建议进行保守治疗,患者及家属表示同意。
首先给予患者踝关节背伸位时行支具固定,然后给予患者建立静脉通道,静脉注射甘露醇注射液,以脱水、消肿。同时给予患者口服塞来昔布胶囊消炎、去痛治疗,马栗种子提取物片消肿治疗。此外,叮嘱患者要进行踝泵功能训练,防止发生肌肉萎缩和下肢肿胀。

三、治疗效果

经综合治疗后,患者不适症状较前明显好转。住院治疗第7天,患者踝关节肿胀明显消退,疼痛明显缓解。然后给予患者行踝关节X线检查,结果显示骨折对位、对线良好,未发生骨折移位的情况,遂嘱患者出院疗养,1个月后回院复查。

四、注意事项

经综合治疗后,患者不适症状明显缓解,我感到十分欣慰,同时叮嘱患者出院后还应注意以下几点:
1、保持踝关节固定6周,在固定期间禁止下地负重行走,否则容易引起骨折移位、骨折不愈合等风险;
2、平时应该抬高患肢,有利于踝关节血液回流,可加快肿胀消退;
3、要进行踝泵训练,以踝关节周围肌肉的等长功能训练为主,有利于防止肌肉萎缩,防止发生废用性骨质疏松;
4、保证良好的心情,避免情绪压力过大,注意休息,劳逸结合,不要熬夜、劳累。

五、个人感悟

内踝骨折为踝关节骨折的常见类型,往往由直接暴力引起,有时也因间接暴力引起。在内踝骨折发生后,首先要进行X线检查或CT检查,以明确骨折的对位、对线情况。如果像本文患者一样,内踝骨折对位、对线良好,关节面没有出现台阶感,可进行保守治疗。如果关节面不平整,台阶距离超过2mm,就应该果断采取手术治疗的方法,术中恢复关节的对位、对线和关节面平整,这样才可以防止创伤性关节炎的发生。