首页
我的
霉菌性外阴炎症状图片
本文由有来医生原创,经专业医师审核校对
所有图片质量和准确性经专业医生严格审查
陆鹏荣
副主任医师 | 审核医师
复旦大学附属妇产科医院
|
妇科
霉菌性外阴炎现在被称为外阴阴道假丝酵母菌病,是由假丝酵母菌引起的常见外阴阴道炎症。本病通常表现为外阴阴道瘙痒、阴道分泌物增多,需消除诱因,根据患者自身情况选择局部或全身抗真菌药物治疗。
霉菌性外阴炎症状图片
会阴部
白带增多
霉菌性外阴炎会阴有大量分泌物图
霉菌性外阴炎累及会阴部位时,会出现大量的豆腐渣样分泌物,颜色呈白色或灰白色,常伴有有外阴部灼热痛、性交痛以及排尿痛等症状。
会阴部
红肿 · 豆腐渣白带
霉菌性外阴炎会阴表面有豆腐渣样分泌物图
霉菌性外阴炎典型症状为会阴部瘙痒,周围皮肤红肿,表面附有豆腐渣样分泌物,擦除后可露出红肿黏膜面,可遵医嘱使用药物进行治疗。
会阴部
红斑
霉菌性外阴炎会阴有一块红斑图
霉菌性外阴炎主要表现为会阴部发红、肿胀,与周围皮肤边界清楚,看着像红斑一样,出现灼热痛、性交痛以及排尿痛,日常应保持会阴部清洁与卫生。
会阴部
豆腐渣白带
外阴阴道假丝酵母菌病阴道里好多白色分泌物图
外阴阴道假丝酵母菌病患者阴道内有大量的白色稠厚、像豆腐渣样分泌物,阴道黏膜水肿、发红,常伴外阴瘙痒、灼热、疼痛的感觉,患者坐立难安。
会阴部
红肿 · 豆腐渣白带
外阴阴道假丝酵母菌病阴道口发红有白带图
外阴阴道假丝酵母病阴道口会看到乳白色的块状附着物,局部皮肤潮红,轻微肿胀,严重时会有糜烂,部分患者会有明显的外阴瘙痒感以及排尿疼痛的不适。
会阴部
豆腐渣白带
霉菌性外阴炎下面有豆腐渣样白带图
霉菌性外阴炎行妇科检查见患者阴唇处有大量豆腐渣样白带附着,呈圆形或大片状。周围皮肤黏膜轻度红肿,患者常自觉瘙痒、疼痛。严重时会形成湿疹状糜烂和乳酪状分泌物,因此建议及时就医治疗。
会阴部
发黑
霉菌性外阴炎会阴部发黑图
霉菌性外阴炎会导致会阴部出现色素沉着,表现为皮肤发黑,面积较大,常伴有剧烈瘙痒等症状,严重者会出现坐立不安,夜晚症状更加明显。
会阴部
红肿
霉菌性外阴炎会阴部发红肿胀图
霉菌性外阴炎主要表现为会阴部发红、肿胀,红肿的面积较大,边界不清晰,常伴有外阴部灼热、疼痛、性交痛及排尿痛等症状,需要及时就医治疗。
会阴部
红肿
霉菌性外阴炎会阴明显红肿图
霉菌性外阴炎累及会阴时,表现为局部红肿,中央较周围颜色略深,呈鲜红色,表面皮肤常出现糜烂,患者自觉疼痛、瘙痒,应及时就医。
会阴部
豆腐渣白带
霉菌性外阴炎会阴有白色分泌物图
霉菌性外阴炎主要表现为会阴部红肿,常伴有白色稠厚的分泌物,呈豆腐渣样,同时伴有瘙痒,持续时间长,本病主要由于白假丝酵母菌感染导致。
会阴部
红肿
霉菌性外阴炎会阴轻微红肿图
霉菌性外阴炎症状较轻时,常累及会阴部,出现表面轻微发红、肿胀,伴有明显瘙痒,日常应保持会阴部清洁与卫生,可遵医嘱使用药物进行治疗。
会阴部
红肿 · 糜烂
外阴阴道假丝酵母菌病女性下面糜烂图
外阴阴道假丝酵母菌病患者的外阴部位附有大片白色块状物,擦除后露出红肿黏膜面,并有糜烂的渗血的表现,患者还会伴有外阴瘙痒、疼痛等症状。
阴道
白带增多
霉菌性外阴炎阴道内有大量白带图
霉菌性外阴炎患者阴道内分泌物增多,出现白色稠厚的白带,常呈凝乳状,常伴有周围黏膜红肿,自觉有明显瘙痒、疼痛等症状,应及时就医。
阴道
红肿 · 白带增多
霉菌性外阴炎阴道红肿白带增多图
霉菌性外阴炎累及阴道时,表现为白带增多,阴道黏膜表面附有白色块状物,大小不等,擦除后可露出红肿黏膜面,患者自觉瘙痒、疼痛。
阴道
豆腐渣白带
霉菌性外阴炎阴道内有白色分泌物图
霉菌性外阴炎典型症状为阴道分泌物增多,阴道内可见豆腐渣样白带,常呈白色或灰白色,同时患者自觉外阴瘙痒,持续时间较长,夜晚更加明显。
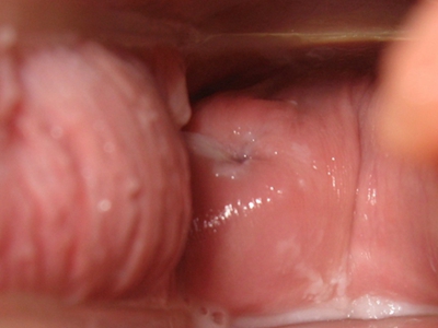
阴道
红肿
霉菌性外阴炎阴道红肿图
霉菌性外阴炎会导致阴道红肿,常伴有分泌物增多,分泌物为白色稠厚的凝乳状或豆腐渣样,常伴有瘙痒、灼热痛等症状,主要是由白假丝酵母菌感染导致。
霉菌性外阴炎相关知识
外阴阴道假丝酵母菌病外阴瘙痒症状明显,持续时间长,严重者坐立不安,以夜晚更加明显。部分患者有外阴部灼热痛、性交痛以及排尿痛。阴道分泌物常增多,特征为白色稠厚,凝乳状或豆腐渣样。妇科检查可见外阴红斑、水肿,可伴有抓痕。外阴可附有白色块状物,擦除后露出红肿黏膜面,急性期还可见到糜烂及浅表溃疡。
外阴阴道假丝酵母菌病的多数病原体为白假丝酵母菌。部分妇女阴道中可能黏附有假丝酵母菌寄生,但菌量极少,并不引起炎症反应。在宿主全身及阴道局部细胞免疫能力下降时,假丝酵母菌大量繁殖生长侵袭组织,引起炎症反应。发病的常见诱因有长期应用广谱抗生素、妊娠、糖尿病、大量应用免疫抑制剂以及接受大量雌激素治疗等。外阴阴道假丝酵母菌病也可通过性交直接传染,少部分患者通过接触感染的衣物间接传染。
外阴阴道假丝酵母菌病应及时消除诱因,停用广谱抗生素、雌激素等药物,积极治疗糖尿病。患者应勤换内裤,用过的毛巾等生活用品用开水烫洗。可遵医嘱选用克霉唑制剂、咪康唑制剂、制霉菌素制剂等抗真菌药物放置于阴道深部。对未婚妇女及不宜采用局部用药者,可选用氟康唑等药物口服。
参考文献
[1]严滨,吕恽怡.妇产科学 ;高级医师进阶.第1版[M].北京.中国协和医科大学出版社.2016.244.
[2]谢幸,孔北华,段涛.妇产科学.第9版[M].北京.人民卫生出版社.2018.242.
相关科普
什么是霉菌性外阴炎
匡晓梅
中山市博爱医院
如何预防霉菌性外阴炎
匡晓梅
中山市博爱医院
下肢静脉曲张好了还会复发吗
姜建威
江南大学附属医院
胃腺癌中后期能治好吗
孙永琨
中国医学科学院肿瘤医院
后脑勺有个凸起的硬包严重吗
陈华
宜昌市第二人民医院
早上第一口痰是褐色是怎么回事
李建民
湖南省人民医院
膀胱肿瘤的诊断与治疗
马玉林
海南省肿瘤医院
乳腺纤维瘤手术后要休息多久
徐继宗
宜昌市第二人民医院
盆腔炎怎么检查
郑瑞君
河南省中医院
附件炎的症状及原因
郑瑞君
河南省中医院