首页
我的
湿疹型多形性日光疹症状图片
本文由有来医生原创,经专业医师审核校对
所有图片质量和准确性经专业医生严格审查
孔庆涛
副主任医师 | 审核医师
东部战区总医院
|
皮肤科
湿疹型多形性日光疹是一种常见发生在暴露部位的慢性光敏性炎症性皮肤病。临床表现为多形性皮疹反复发作,皮损形态多样,常见的为丘疹,丘疱疹,患者自觉瘙痒难耐。其发病与季节有明显关系,春夏加重,秋冬减轻或消失。
湿疹型多形性日光疹症状图片
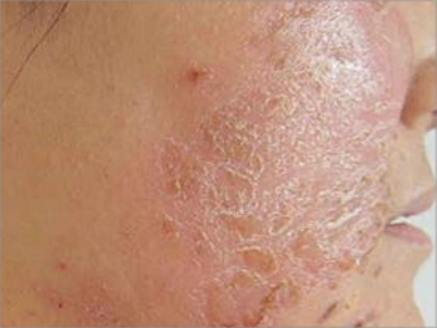
面部
脱屑
湿疹型多形性日光疹面部干燥起皮图
湿疹型多形性日光疹患者的面部会有皮肤潮红表现,且有破裂结痂的丘疹,皮肤表面粗糙,干燥有鳞屑,自觉有明显灼热感,发病可能与自身变态反应有关。
面部
结痂
湿疹型多形性日光疹脸上点状结痂图
湿疹型多形性日光疹患者脸上出现较多密集分布的暗红色出血点,针尖至米粒大小,散在或簇集状分布,部分融合成片,边界清楚,上面附着有点状血痂。
面部
斑
湿疹型多形性日光疹脸上起了多个紫红色斑片图
湿疹型多形性日光疹表现为患者脸上长了多个紫红色斑片,呈不规则形,周围有红晕,边缘不整齐,但界限清楚,表面附着少许白色鳞屑和点状破溃。
面部
丘疹
湿疹型多形性日光疹脸上密集的粉白色丘疹图
湿疹型多形性日光疹发生于脸部,表现为密集分布的粉白色丘疹,大小不一,群集状分布,部分损害相互融合呈大片,稍稍凸起于皮面,与周围皮肤界限清楚。
面部
丘疹
多形性日光疹湿疹型面部有丘疹图
多形性日光疹湿疹型会在患者的面部有小疹子,小疹子呈针头至米粒大小不等,并在部分小疹子上方有小白头,容易发生破溃、结痂,同时患者有明显的瘙痒症状。
面部
丘疹
湿疹型多形性日光疹面部有红色的小疹子图
湿疹型多形性日光疹是皮肤被日光照射而出现的一种光敏性皮肤病,面部皮肤大面积泛红,出现边界较清楚的红色小疹子,表面因搔抓而破溃、结痂。
面部
红肿 · 脱屑
湿疹型多形性日光疹面部发红脱屑图
湿疹型多形性日光疹常反复发作,表现为面部皮肤潮红肿胀,表面有密集针尖大小的丘疹,自觉瘙痒,经搔抓后表面糜烂、结痂、脱屑,似湿疹样外观。
面部
糜烂
多形性日光疹湿疹型面部糜烂结痂图
多形性日光疹湿疹型会在面部出现皮损,整体呈潮红、肿胀,并在局部有糜烂、结痂、脱屑的症状。该病的发生与遗传、环境、免疫因素等有关。
前颈
丘疹
湿疹型多形性日光疹前颈部有针尖大小疹子图
湿疹型多形性日光疹患者的前颈部皮肤表面可出现密集的针尖大小的丘疹,似湿疹样外观,瘙痒明显,常与遗传、环境、免疫因素有关。
前颈
红点
湿疹型多形性日光疹前颈部有一片红点图
湿疹型多形性日光疹可发生在前颈部,呈湿疹样外观,表现为皮肤表面出现密集的针尖大小的红色丘疹,看起来像小红点,瘙痒明显,表面常留下抓痕。
后颈
丘疹
多形日光疹湿疹型后颈几个红丘疹图
多形日光疹湿疹型后颈会出现红色丘疹,病损之间分界不清,可以孤立存在,也可以相互融合分布,此时需要避免挠抓,并在就医后遵医嘱局部用药治疗。
后颈
丘疹
多形日光疹湿疹型后颈丘疹结痂图
多形日光疹湿疹型会导致后颈部有广泛的皮肤潮红,并在局部有丘疹,以及结痂症状,且丘疹之间分界不清,同时患者会有剧烈瘙痒症状。
侧颈
红肿 · 疙瘩
湿疹型多形性日光疹侧颈上有一块红肿疙瘩图
湿疹型多形性日光疹皮损发生在侧颈部皮肤时,表现为局部皮肤瘙痒,有一片皮肤红肿,其上有突起的红疙瘩,大小不等,可在医师指导下涂抹糖皮质激素药膏治疗。
侧颈
结痂
多形性日光疹湿疹型侧颈结痂图
多形性日光疹湿疹型会导致侧颈有较多散在分布的皮疹,且在上方有结痂,呈暗红色痂皮,并伴有脱屑症状。此时患者可遵医嘱局部外用糖皮质激素治疗。
后颈
丘疹
多形性日光疹湿疹型后颈小米粒样丘疹图
多形性日光疹湿疹型会导致后颈出现小米粒样疹子,并呈密集性出现,部分会逐渐发展成水疱、糜烂、结痂。此时需要及时就医治疗,如局部外用糖皮质激素等药物。
后颈
水疱 · 结痂
多形性日光疹湿疹型后颈水疱结痂图
多形性日光疹湿疹型会导致后颈有散在分布的水疱,部分表面会有结痂,为暗红色的血痂,此时应避免挠抓局部,并遵医嘱局部外用糖皮质激素药膏。
后颈
丘疹
多形性日光疹湿疹型后颈大量疹子图
多形性日光疹湿疹型会导致患者的后颈出现多个丘疹,有针尖至米粒大小,局部皮肤潮红明显。此时应避免挠抓,并及时遵医嘱局部外用糖皮质激素药物治疗。
后颈
丘疹
多形性日光疹湿疹型后颈密集小丘疹图
多形性日光疹湿疹型会导致后颈出现小丘疹,皮损为密集分布,并相互融合成较大的隆起性红斑。患者在日常应注意避免强烈太阳光直接照射,以免加重症状。
胸部
小疙瘩
湿疹型多形性日光疹胸前有很多小疙瘩图
湿疹型多形性日光疹多发生在胸前区,皮损表现为针尖大小的小疙瘩,密集分布,患者常感瘙痒显著,皮损表面因搔抓出现糜烂、脱屑,似湿疹样外观。
胸部
红斑
湿疹型多形性日光疹胸前有大片的红色斑图
湿疹型多形性日光疹易出现在胸部前方靠近锁骨处,皮疹表现为大片湿疹,边缘不规则,境界清晰,延及前颈部,是毛细血管扩张导致。
胸部
丘疹
湿疹型多形性日光疹胸部有密密麻麻的红疹子图
湿疹型多形性日光疹发生于胸前时,表现为胸部靠上方皮肤有密集的丘疹疙瘩,呈暗红色,为针头至米粒大小,部分丘疹破溃结灰白色及暗红色血痂。
胸部
丘疹
湿疹型多形性日光疹胸前有一片红色疹子图
湿疹型多形性日光疹常于春夏发病,可能与自身的变态反应有关,发生在皮肤暴露部位,如胸前,局部出现针尖大小的红色丘疹,密集分布,自觉瘙痒。
胳膊
丘疹
湿疹型多形性日光疹胳膊上有很多小丘疹图
湿疹型多形性日光疹皮疹在日晒后数小时出现,大面积皮肤潮红肿胀,表面有密集的大小不等的丘疹,自觉瘙痒剧烈,局部搔抓后出现破溃、糜烂、结痂。
胳膊
疙瘩
湿疹型多形性日光疹胳膊上一片疙瘩图
湿疹型多形性日光疹在日光照射后几小时或几天发生瘙痒性皮疹,局部皮肤潮红肿胀,表面有密集针头至米粒大小的疙瘩、水疱,常在搔抓后糜烂、结痂,呈湿疹样改变。
胳膊
疙瘩
湿疹型多形性日光疹胳膊上一片红色疙瘩图
湿疹型多形性日光疹是一种迟发型光敏性皮肤病,胳膊经日光照射后出现暗红色斑块,看起来像大疙瘩,自觉瘙痒剧烈,搔抓后局部破溃形成血痂,皮疹消退后留有色素沉着。
胳膊
疙瘩
湿疹型多形性日光疹胳膊上有一大片疙瘩图
湿疹型多形性日光疹皮损呈多形性,多于日晒后两小时至数日内出现局部皮肤烧灼感或瘙痒,皮肤潮红,长密集针头至米粒大小的疙瘩,表面皮肤坑坑洼洼,凹凸不平,常因搔抓出现结痂及脱屑。
胳膊
疙瘩 · 结痂
湿疹型多形性日光疹胳膊上有许多疙瘩结痂图
湿疹型多形性日光疹皮肤症状为胳膊有较密集的疙瘩,周围有红晕,中央有破溃,并出现白色脱皮,部分损害有红褐色结痂,周围有黄褐色晕环。
胳膊
丘疹
多形性日光疹湿疹型胳膊丘疹图
多形性日光疹湿疹型会表现为胳膊丘疹,形状多呈圆形,为米粒大小,大多散在分布,同时患者有明显的瘙痒症状。此时可遵医嘱局部应用糖皮质激素药膏治疗。
胳膊
丘疹 · 结痂
多形性日光疹湿疹型胳膊密密麻麻小丘疹图
多形性日光疹湿疹型会导致胳膊上有密密麻麻小丘疹,呈针头至米粒大小,同时小丘疹会逐渐变化呈水疱,然后破溃、结痂,并出现脱屑症状。
胳膊
丘疹
多形日光疹湿疹型胳膊上不显眼丘疹图
多形日光疹湿疹型初期时会在胳膊上出现不显眼的丘疹,呈针尖至米粒大小,为密集分布,触摸有颗粒感,患者同时伴有明显的瘙痒症状。
胳膊
丘疹
多形日光疹湿疹型胳膊上密集红色丘疹图
多形日光疹湿疹型会在患者胳膊上出现密集的红色丘疹,局部皮肤潮红、肿胀明显,该病的发生与遗传、环境、免疫因素有关。同时患者在日常需要避免强烈日晒。
胳膊
丘疹
多形性日光疹湿疹型胳膊疹子伴脱屑图
多形性日光疹湿疹型会在导致胳膊上出现针尖至米粒大小的丘疹,为密集分布,且伴有结痂、脱屑症状。日光是绝大多数患者发病的直接诱因。
胳膊
血痂
多形性日光疹湿疹型胳膊有丘疹且结血痂图
多形性日光疹湿疹型会导致胳膊上起大小不等的丘疹,并在丘疹上方覆盖血痂,部分血痂边缘翘起有鳞屑。患者在日常应注意避免强烈日光照射,避免加重病损。
大腿
红点
湿疹型多形性日光疹大腿上有一片小红点图
湿疹型多形性日光疹可发生在大腿,表现为针尖大小的红色丘疹,看起来像小红点,自觉有瘙痒感和灼热感,表面留有明显的抓痕和细小的出血点。
小腿
丘疹
多形日光疹湿疹型小腿密集红色疹子图
多形日光疹湿疹型会在小腿部位出现密集的红色疹子,病损为针尖至米粒大小不等,并在局部有结痂、脱屑症状。该病的直接诱因就是日光照射。
手背
小水疱
湿疹型多形性日光疹手背有一片小水疱图
湿疹型多形性日光疹常在春夏发病,表现为手背皮肤潮红,表面出现米粒大小的小水疱,密集分布,自觉瘙痒明显,常在搔抓后出现糜烂、结痂,似湿疹样改变。
手背
丘疹
湿疹型多形性日光疹手背有一大片小疹子图
手背出现湿疹型多形性日光疹时,表现为局部皮肤表面有密集的针尖大小的丘疹,呈肤色,自觉瘙痒感明显,是在受日晒后诱发出现,可配合医师进行光疗。
手指
丘疹
湿疹型多形性日光疹手指上有破溃的红疹图
湿疹型多形性日光疹呈湿疹样外观,表现为手指、手背表面出现密集针头至米粒大小的丘疹、水疱,并且伴有糜烂、结痂及脱屑,有明显的瘙痒,遵医嘱局部涂抹糖皮质激素药膏可缓解症状。
手背
丘疹
湿疹型多形性日光疹手背有红色的小疹子图
湿疹型多形性日光疹皮损发生在手背,表现为淡红色针尖大小的丘疹,密集分布,有明显的瘙痒或灼热感,发病与季节有关,春夏症状加重,秋冬自行减退或消退。
手背
丘疹
湿疹型多形性日光疹手背有很多红色小疹子图
湿疹型多形性日光疹患者手背可出现很多针尖大小的红色丘疹,密集分布,似湿疹样外观,突出于皮肤表面,自觉有明显的瘙痒感。
手背
丘疹
湿疹型多形性日光疹手背密密麻麻的丘疹图
湿疹型多形性日光疹皮损为密密麻麻的红斑丘疹,散在或群集状分布,形状不规则,部分融合成片,微微隆起于皮面。丘疹表面发白,附着大量的白色鳞屑。
手腕
小红疙瘩
多形性日光疹湿疹型手腕红色小疙瘩图
多形性日光疹湿疹型会导致手腕出现大小不等的红色小疙疙瘩,个别疙瘩呈水疱样,破溃后变为溃疡、结痂。该病多与遗传、环境、免疫因素有关。
手背
丘疹
多形性日光疹湿疹型手背有丘疹图
多形性日光疹湿疹型会导致手背有密密麻麻的丘疹样皮损,之间会相互融合成片,触摸局部感觉皮肤粗糙,并有颗粒感。患者在日常应注意防晒,避免被太阳直射。
手背
水疱
多形日光疹湿疹型手背水疱破溃图
多形日光疹湿疹型会导致手背出现水肿、潮红的病损,并在上方有水疱破溃后的结痂,结痂呈暗红色,且整个皮损部位皮肤干燥、粗糙,此时可遵医嘱局部外用药物治疗。
手背
水疱
多形日光疹湿疹型手背粟米大小丘疹图
多形日光疹湿疹型会导致手背有粟米大小的丘疹,呈密集分布,并逐渐形成水疱、结痂,似湿疹样外观。患者日常应注意避免太阳的直射,以免加重皮损。
手腕
丘疹
湿疹型多形性日光疹手腕上有密密麻麻的小疹子图
湿疹型多形性日光疹是由于日光紫外线照射所致,表现为手腕部位出现针尖至米粒大小的红色丘疹,密集分布,各个皮损之间较为清晰,呈湿疹样外观。
手背
红点
湿疹型多形性日光疹手上有一堆红色小点图
湿疹型多形性日光疹发疹前有瘙痒或灼热感,随后逐渐出现红斑、丘疹,表面瘙痒明显,经搔抓后局部破损、结痂,表现为小红点,似湿疹样外观。
手背
小红疙瘩
湿疹型多形性日光疹手背有一片红色小疙瘩图
湿疹型多形性日光疹发病与季节有关,常反复发作,手背出现针尖大小的小红疙瘩,密集分布,看起来似湿疹样湿疹型外观,患者自觉有瘙痒或灼热感。
湿疹型多形性日光疹相关知识
湿疹型多形性日光疹局部水肿明显,其病损部位可见密集的米粒大小丘疹、丘疱疹、水疱,可有糜烂、渗出、结痂及脱屑,如湿疹样外观,自觉瘙痒。
湿疹型多形性日光疹病因目前尚不清楚。目前一般认为由日光诱发的迟发型超敏反应介导,且致病光谱较宽,UVA、UVB和可见光均可。其发生也可能与遗传、内分泌和代谢异常等有关。
湿疹型多形性日光疹的治疗可以采用避光措施及增强对日光的耐受性,避免强烈日晒,或外出前搽宽谱防光剂。
另外,湿疹型多形性日光疹也可进行系统治疗,如应用糖皮质激素以及免疫抑制剂等,同时可配合光疗及光化学疗法。
参考文献
[1]王宝玺主编.中华医学百科全书.临床医学皮肤病学[M].北京:中国协和医科大学出版社,2017.164.
[2]王畅.实用皮肤病诊疗手册.第5版[M].郑州:河南科学技术出版社,2018.510.
相关科普
水疱型湿疹是什么
闫言
中国医学科学院整形外科医院
角化型湿疹怎么根治
黄青
北京中医药大学东直门医院
中医上湿疹的分型
曲靖
湖南省中医药研究院附属医院
水泡型湿疹怎么治
刘文斌
北京航天总医院
水泡型湿疹怎么治疗
刘翠娥
首都医科大学附属北京佑安医院
宝宝水疱型湿疹症状
张燕
河北医科大学第四医院
水泡型湿疹的治疗方法
禚风麟
首都医科大学附属北京友谊医院
什么是湿疹?湿疹是怎么得的
苏辉
齐齐哈尔医学院附属第三医院
湿疹怎么来的
姚志远
中日友好医院
湿疹是怎么造成的
段行武
北京中医药大学东直门医院