首页
我的
角膜老年环症状图片
本文由有来医生原创,经专业医师审核校对
所有图片质量和准确性经专业医生严格审查
孙一洲
副主任医师 | 审核医师
中国医科大学附属第一医院
|
眼科
角膜老年环属于角膜变性的一种类型,是眼睛角膜周边部基质内的类脂质沉着,属于退行性改变,50-60岁的人约60%有老年环,超过80岁的老人几乎全部有老年环。本病常双眼发病,起初混浊在角膜上下方,逐渐发展为白色环形,由于没有自觉症状及视力下降,可不进行治疗。
角膜老年环症状图片
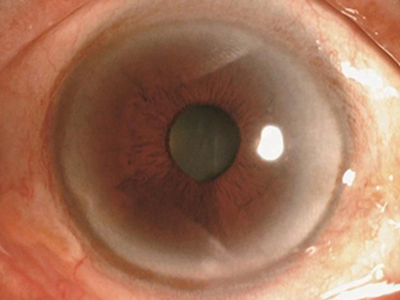
角膜
斑
角膜老年环角膜边缘有黄白色斑块图
角膜老年环是角膜退行性病变,患者角膜边缘会出现黄白色斑块,斑块外缘清晰,内边界稍模糊,刚开始为弧形,之后会逐渐融合成环状,双眼均可出现。
眼球
白斑
角膜老年环黑眼球有一圈白环图
角膜老年环的患者多是老人,患者眼球边缘出现斑块,呈白色环状,内边界稍模糊,像是有白色雾一样,若患者无自觉不适,无需治疗。
眼球
白斑
角膜老年环黑眼球边缘有一圈白环图
角膜老年环患者常双眼起病,眼球边缘有一圈宽约1mm的白色圆环,外边界清晰,与角膜缘之间有透明角膜带,若患者年龄小于40岁,要警惕动脉粥样硬化。
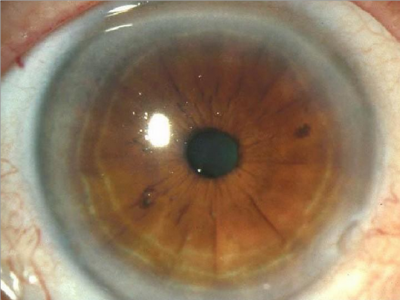
角膜
白斑
角膜老年环角膜上有白色环状斑块图
角膜老年环患者角膜上出现白色斑块,呈环形,边界较清,是由基质内的类脂质沉着导致,患者多无自觉不适,容易忽视,建议及时就医进行检查。
角膜
白斑
角膜老年环角膜上有白斑图
角膜老年环的白斑刚开始出现在角膜边缘,呈新月形,两边宽度略窄,之后会逐渐发展为环形,本病是一种有遗传倾向的退行性病变,可不进行治疗。
眼球
白斑
角膜老年环黑眼球上长环状白斑图
角膜老年环是角膜变性的一种类型,表现为黑色眼球边缘有白色的环状斑块,宽度约1mm左右,边界较清,患者多无不适,常在检查眼睛时发现。
眼球
白斑
角膜老年环黑眼球边有一圈白色圆环图
角膜老年环主要在黑眼球边缘出现,表现为边界清晰的白色圆环样斑块,患者无自觉症状,可能是角膜退行性病变,也可能是高脂蛋白血症的表现。
角膜
白斑
角膜老年环黑眼球边缘白色圆环图
角膜老年环初起为浑浊,逐渐发展为白色环形物质,约1mm宽,外侧边界清楚,内侧边界稍模糊,双眼发病,患者多无明显自觉症状。
角膜
白斑
角膜老年环黑眼球边上有白色圆环图
角膜老年环患者双眼混浊,于角膜外缘处形成环形物,呈白色,外侧边界较内侧边界清楚,该病通常属于退行性改变,无需特殊治疗,部分需针对原发病治疗。
角膜
白斑
角膜老年环黑眼球边缘有白色圆环图
角膜老年环表现为角膜周围存在外侧边界清楚、内侧边界稍模糊的白色环形物质,由类脂质沉着造成,通常不影响视力,也无明显的自觉症状。
角膜
白斑
角膜老年环黑眼球边上有一圈白色图
角膜老年环在患者的黑眼球即角膜外缘出现灰白色环形的改变,围绕黑眼球一周,在黑眼球的外侧症状较明显。因无其他症状,故患者多在无意间发现。
角膜
白斑
角膜老年环黑眼球周围有一圈白色的环图
角膜老年环患者的损害表现为在黑眼球上有一圈白色的物质,均匀环绕黑眼球一周,约为1mm宽,边界清楚,患者双眼发病,多属于退行性改变,无需特殊治疗。
角膜
白斑
角膜老年环黑眼球周围有白色物质图
角膜老年环表现为角膜外缘浑浊,雾蒙蒙呈白色,环形分布,外侧边界较清晰,内侧边界稍模糊,患者的黑眼球看起来微微缩小,但多不影响视力。
角膜
白斑
角膜老年环黑眼球下缘有白色的环状物图
角膜老年环起初浑浊地出现在角膜的下方近周边部,呈灰白色,后期逐渐发展呈环形,约为1mm宽,边界清楚,该浑浊与角膜缘之间还有一透明角膜带。
角膜
斑
角膜老年环角膜边缘有黄色月牙状斑块图
角膜老年环患者角膜上下方会出现黄白色的斑块,像月牙一样,外侧边界较清,之后会逐渐发展融合成环状,患者多无自觉不适,若不伴有其它原发病,无需治疗。
角膜
斑
角膜老年环黑眼球边缘有白色弧形斑块图
角膜老年环主要累及眼球边缘处,表现为白色的弧样斑块,宽度约1mm左右,边界较清,随疾病进展,斑块会逐渐扩大融合,患者无视力下降等不适。
角膜老年环相关知识
角膜老年环患者常双眼发病,起初混浊在角膜上下方,逐渐发展为环形,该环呈白色,通常约1mm宽,外侧边界清楚,内侧边界稍模糊,与角膜缘之间有透明角膜带相隔。
角膜老年环通常是一种有遗传倾向的退行性改变,但是也可能是高脂蛋白血症(尤其为低密度脂蛋白)或血清胆固醇增高的表现,尤其当40岁以下患者出现时可作为诊断动脉粥样硬化的参考依据。
角膜老年环本身无需治疗,如果患有原发疾病,如高脂蛋白血症、动脉粥样硬化,可进行相应的内科治疗。
参考文献
[1]杨培增,范先群.眼科学.第9版[M].北京.人民卫生出版社.2018.120.
[2]葛均波,徐永健.眼病学.第3版[M].北京.人民卫生出版社.2017.48.
相关科普
婴儿睡觉喘气呼哧呼哧怎么回事
丁国芳
北京协和医院
烤瓷冠桥崩瓷的临床症状
周怡
浙江大学医学院附属口腔医院
贴面的优点
周怡
浙江大学医学院附属口腔医院
乳牙龋病的症状
朱海华
浙江大学医学院附属口腔医院
咳嗽肋骨疼是怎么回事
江春英
湖南省职业病防治院
急性支气管炎的症状及治疗
江春英
湖南省职业病防治院
喘息样支气管炎的治疗方法有哪些
江春英
湖南省职业病防治院
大叶性肺炎的症状有哪些
江春英
湖南省职业病防治院
被狂犬病病毒感染了怎么办
刘素红
银川市疾病预防控制中心
心房早搏什么意思
罗少玲
广州市第一人民医院