首页
我的
登革热症状图片
本文由有来医生原创,经专业医师审核校对
所有图片质量和准确性经专业医生严格审查
康鹏
主任医师 | 审核医师
哈尔滨医科大学附属第二医院
|
感染病科
登革热是由登革病毒引起的由伊蚊传播的急性传染病,临床特点为突起发热,全身肌肉、骨、关节痛,还可出现皮疹、淋巴结肿大及白细胞减少等症状。重症登革热是登革热的一种严重类型,起病类似典型登革热,多见于儿童,病死率高。
登革热症状图片
面部
大包
登革热面部有个大包图
登革热可能导致患者颌面部出现肿块,一般是登革热所引起的浅表性淋巴结肿大的表现,表皮可为正常肤色,通常质地比较柔软、光滑,活动度良好。
眼球
充血
登革热眼睛充血发红图
登革热患者出现眼睛完全充血的症状,球结膜水肿,患者眼部不适,有明显的异物感,疲劳感加重,眼睛不自觉流泪,还可伴有畏寒、发热、恶心等症状。
眼部
充血
登革热白眼球充血发红图
登革热患者可出现球结膜充血,表现为整个白眼球都呈鲜红色。患者常自觉眼球后疼痛,可单眼发病。同时还可伴有腹痛、腹泻或便秘等症状。
结膜
充血
登革热眼结膜充血图
登革热早期会出现眼结膜充血的表现,即血管扩张,眼睛发红,儿童病例起病比较慢,体温较低,在急性发热期毒血症较轻,恢复较快。
眼球
血丝
登革热白眼球里有红血丝图
登革热成人起病一般比较急骤,会出现结膜充血的表现,血管扩张,导致眼球里有明显的红血丝,部分患者还可能伴有面色潮红、浅表淋巴结肿大等情况。
结膜
充血
登革热结膜充血图
登革热患者结膜充血一般为初期的表现,本病起病急骤,会有畏寒、高热的情况,发热时伴头痛、眼球后痛,可能会有结膜充血,布满红血丝,以及颜面潮红等情况。
眼球
血丝 · 充血
登革热白眼球变红有血丝图
登革热是经蚊虫传播的急性传染病,患者会出现高热、畏寒、肌肉及骨关节剧烈酸痛等表现,还会使血管扩张,出现颜面潮红、眼结膜充血,白眼球变红有血丝的情况。
眼球
充血
登革热白眼球充血变红图
登革热会出现高热表现,血管扩张,导致颜面部潮红,表现在眼部,使结膜充血,眼球布满红血丝,严重的会形成红色斑块,并伴有眼球后痛。
牙龈
红肿
戈登热牙龈红肿出血图
登革热患者可以发生不同程度的出血现象,包括牙龈红肿出血,牙龈边缘渗出鲜红色的血液,同时可伴有发热、头痛、肌肉及关节痛、极度乏力、恶心、呕吐等症状。
牙龈
充血
戈登热牙龈充血牙齿上带血图
登革热会使毛细血管通透性增加导致明显的血浆渗出,出现牙齿上带血,也可能导致其他情况的出血情况,比如皮下出血、注射部位瘀点瘀斑、鼻出血等。
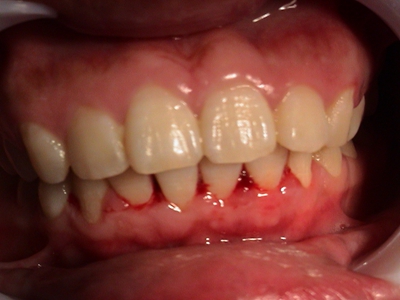
牙龈
出血
登革热牙龈出血图
登革热患者会出现不同程度的出血现象,可表现为牙龈出血,多为鲜红色,出血量一般较少,牙龈多无红肿。患者常伴有高热、头痛、呕吐、腹泻等全身症状。
侧颈
红肿
登革热脖子红肿图
登革热患者颈部可出现浅表性淋巴结肿大,急性期浅表性淋巴结肿大,皮表发红、肿胀,按压时还有压痛,还可能伴有面色潮红、发热、畏寒等表现。
侧颈
肿块
登革热脖子淋巴结肿大图
登革热患者会出现浅表性的淋巴结肿大表现,可出现在颈部,在皮下呈球状,表皮可略微红肿,活动度好,同时可能伴有面色潮红、结膜充血的表现。
颈部
大包
登革热脖子上鼓了两个大包图
登革热患者会出现淋巴结肿大,一般为浅表性的,常出现在颈部,可多发,导致患处出现肿块,质地比较柔软、光滑,与周围没有粘连。
侧颈
大包
登革热脖子右边有一大包图
登革热患者右侧颈部有一隆起性大包,为浅表淋巴结肿大所致,包块较大,边界模糊。患者可伴有发热、头痛、眼球后痛,骨、肌肉及关节痛等症状。
胸部
红点 · 红斑
登革热前胸红点和红斑图
登革热皮损好发于前胸,典型症状为针尖样红点,密集分布,邻近皮损相互融合呈大块的红斑,颜色鲜红。皮损表面光滑,无脱屑。患者常自觉瘙痒。
胸部
红点
登革热前胸好多红点图
登革热的皮疹为皮下出血点,呈红色的斑点样,密集分布于前胸,大小不一,有时发生融合形成红斑,皮损表面光滑,无破溃,常伴有瘙痒感。
胸部
红斑
登革热胸部红斑图
登革热患者前胸有红斑样皮损,由于是充血性红斑,所以按压可导致红斑颜色暂时性消退,皮损表面光滑。患者常自觉瘙痒,可遵医嘱用药治疗。
肋部
红斑
登革热肋骨处长红色瘀斑图
登革热是感染登革病毒导致,患者肋骨处皮肤出现密密麻麻的瘀斑,群集分布,色暗红,大小不一,形状多为圆形或椭圆形,邻近的皮损相互融合,表面无脱屑。
腹部
红斑
登革热腹部有红斑图
登革热皮损发生在腹部时,表现为皮下出血,腹部皮肤上有密密麻麻的出血点,邻近皮损可相互融合呈出血性红斑。多有痒感,大部分不脱屑。
胳膊
红斑
登革热胳膊长红斑图
登革热患者上肢出现出血性皮疹,融合成大面积的红斑,夹杂有正常皮肤,呈“皮岛”样表现,表面不伴有脱屑症状。患者多自觉有瘙痒感。
胳膊
红斑
登革热胳膊红斑图
登革热患者胳膊出现红点,为皮下出血点,色鲜红,约针尖大小,不隆起于皮面,逐渐可融合成红斑,多有痒感,大部分不脱屑,是登革病毒导致。
胳膊
红斑
登革热胳膊上有红斑图
登革热患者胳膊出现边界模糊的红斑样皮损,多为充血性皮疹融合而成,颜色呈淡红色,形状不规则。患者自觉有瘙痒感。同时还可出现高热、恶心、呕吐等症状。
胳膊
疙瘩
登革热胳膊上有很多红疙瘩图
登革热患者上肢出现出血性皮疹,散在或密集分布,似小红疙瘩样外观,表面暂时未发生破溃,不伴有脱屑。患者常自觉瘙痒,还可伴高热、头痛等症状。
胳膊
红点
登革热胳膊上有红色斑点图
登革热皮损为出血性斑点,多由小的出血点融合而成,密集分布,呈红色,圆形或类圆形,常伴有瘙痒、发热、全身浅表淋巴结肿大等症状,
胳膊
红点
登革热胳膊上有好多红点图
登革热典型皮疹为针尖样出血点,为皮下出血,好发于胳膊,密集分布,色红,邻近的皮损有时发生融合成瘀斑,表面无鳞屑附着,多是因登革病毒感染导致。
胳膊
红点
登革热胳膊上长密集的红点图
登革热患者胳膊表面出现大小不等的斑点,多为皮下出血所致,散在或密集分布,形状多不规则、色红,常伴有瘙痒、恶心、呕吐、腹痛等症状。
胳膊
红斑
登革热胳膊长红斑图
登革热患者右上肢皮下出血,表现为密密麻麻的红点,并发生融合,形成大块的红斑样皮疹,期间夹杂有正常皮肤。皮损面积较大,患者常自觉有瘙痒感。
胳膊
血点
登革热胳膊上大量针尖样的红色小淤点图
登革热患者症状较严重,胳膊上有数量较多的针尖样出血点,主要为充血性皮疹,出血点密集出现,皮肤轻微肿胀,患者有轻微的瘙痒感,搔抓后出血更加明显。
胳膊
红斑
登革热胳膊出现红斑图
登革热患者胳膊出现红斑,形状多不规则,界限模糊,表面光滑,无脱屑。邻近的红斑有时发生融合。同时还可伴有恶心、呕吐、高热等全身症状。
胳膊
大水疱 · 紫斑
登革热胳膊长紫斑起水疱图
登革热患者胳膊上出现不同程度的出血,表现为局部大块瘀斑,形状多不规则,呈黑紫色,边缘色红,与周围正常皮肤分界清晰,在瘀斑上还有一个紧张性大水疱。
小腿
丘疹
登革热的最初症状图
登革热是由登革病毒引起的传染病,最初的症状为骤起高热,可伴畏寒,继而可出现出血性皮疹,如出血点,呈圆锥状,皮疹可单独存在,不融合,周围皮肤正常。
腿
红斑
登革热双腿大面积红斑图
登革热皮损好发于双下肢,患者双腿皮肤发红,呈大面积红斑样皮疹,其间夹杂有正常皮肤,为 “皮岛”样表现。表面光滑,无脱皮现象。
腿
红斑
登革热双腿大面积红斑图
登革热患者常出现充血性皮疹,表现为双下肢大面积红斑,皮损无明显边界。在红斑之间可见有正常皮肤,呈“皮岛”样表现,可伴有发热症状。
腿
红斑
登革热双腿大面积红斑图
登革热患者双腿上出现大面积的红斑,是充血性皮疹融合而成,无明显边界。中间夹杂有正常的皮肤,散在或密集分布,呈“皮岛”样表现,常伴有瘙痒症状。
小腿
红斑
登革热双小腿长红斑图
登革热患者双侧小腿皮肤出现红斑,呈暗红色,在红斑之间还夹杂有正常皮肤,呈“皮岛”样表现,整体呈网格样,皮损表面光滑,无脱屑。
小腿
血点
登革热小腿遍布针尖样红色小疹子图
登革热患者皮疹在小腿表现为芝麻大小的出血点,多散在出现,但是密密麻麻,小腿靠近膝盖有一圈颜色鲜红的出血点,有出血点的部位多有痒感,表面光滑没有脱屑。
大腿
红斑
登革热大腿有好多淡红斑图
登革热患者病初大腿内侧出现密密麻麻的淡红斑,逐渐变为红色或紫红色,为皮下出血所致,可相互融合呈大片,不隆起于皮面,表皮无脱屑。患者常自觉有瘙痒感。
小腿
红斑
登革热小腿布满红斑图
登革热患者整个小腿皮肤发红,呈大面积红斑样皮损,界限模糊。在红斑的中央还夹杂有少量正常皮肤,呈“皮岛”样表现。患处皮肤表面光滑。
手掌
红点
戈登热手掌密集红色小点图
登革热患者会出现充血性皮疹或点状出血疹,可分布于全身,形成密集的红色小点,患者会自觉瘙痒,大部分皮疹不脱屑,持续3-4天可消退。
手掌
红点
登革热手掌有红点图
登革热典型症状为皮肤出血点,散在或密集分布,色红,不隆起于皮面,好发于手部,多呈对称性。患者还可伴有高热、恶心、呕吐、腹痛等症状。
手背
丘疹
登革热手背长红色丘疹图
登革热皮损为数目众多的红色丘疹,多为皮下出血点,颜色鲜红,形态多样,密集分布于右手手背,并累及手腕。红疹可发生融合,形成较大的红斑,常伴有瘙痒症状。
脚部
紫斑
登革热脚上有紫红色斑点图
登革热的皮肤表现主要是瘀点、瘀斑,可发生在足部,颜色呈紫红色,大小不等,形状多不规则,密集分布,为皮下出血所致,可发生融合,表面不伴有脱屑、破溃等情况。
脚部
红斑
登革热脚上出现很多暗红斑图
登革热损害发生在脚部时,表现为皮肤表面有瘀斑形成,多呈暗红色,圆形、类圆形或不规则形,大小不等,散在或密集分布,为皮下出血所致。
登革热相关知识
登革热成人病例起病急骤,可出现畏寒、高热,还可有恶心、呕吐、腹痛等胃肠道症状。早期体征有颜面潮红、结膜充血及浅表淋巴结肿大,四肢可出现充血性皮疹或点状出血疹,典型皮疹为四肢的针尖样出血点。可出现不同程度的出血现象,如皮下出血、注射部位淤点、牙龈出血、鼻出血等,可皮疹分布于四肢、躯干甚至全身,多有痒感,大部分不脱屑。
重症登革热具有典型登革热的临床表现,还可出现皮肤变冷、脉速、昏睡或烦躁等症状,严重时可进入休克状态。
登革热是因登革病毒感染导致,病毒经蚊虫叮咬进入人体,在毛细血管内皮细胞和单核巨噬细胞系统增殖后进入血液循环,使病毒在体内复制,机体产生的抗体与登革病毒形成免疫复合物,导致血管通透性增加,同时抑制骨髓中的白细胞和血小板,导致白细胞、血小板减少,出现出血的倾向。
登革热患者在发生高热时,可先进行物理降温。若高热不退或毒血症状严重,可短期使用小剂量醋酸泼尼松片,必要时可给予地西泮等药物进行止痛处理。出现重症登革热时,应及时补液,出血者可根据病情及时输注红细胞。
参考文献
[1]李兰娟,任红.传染病学.第9版[M].北京.人民卫生出版社.2018.108.
[2]李凡,徐志凯.医学微生物学.第9版[M].北京.人民卫生出版社.2018.273.
相关科普
什么叫做登革热
何薇
广州中医药大学深圳医院
什么是登革热
殷文武
中国疾病预防控制中心
什么是登革热
邹洋
首都医科大学附属北京友谊医院
什么是登革热
李文莉
广东省第二人民医院
登革热症状
段淑红
首都医科大学附属北京世纪坛医院
登革热的预防措施
陈友鹏
中山大学附属第七医院
登革热的治疗
王磊
首都医科大学附属北京友谊医院
登革热由什么传播
邹洋
首都医科大学附属北京友谊医院
怎么预防登革热
殷文武
中国疾病预防控制中心
登革热经什么传播
王磊
首都医科大学附属北京友谊医院