首页
我的
基质性角膜炎症状图片
本文由有来医生原创,经专业医师审核校对
所有图片质量和准确性经专业医生严格审查
张幼梅
主任医师 | 审核医师
郑州大学第一附属医院
|
眼科
基质性角膜炎即角膜基质炎,是以细胞浸润和血管化为特点的角膜基质非化脓性炎症,通常不累及角膜上皮和内皮。机体对感染源的迟发性超敏反应与本病发病有关。先天性梅毒为最常见的原因,结核、单纯疱疹、带状疱疹、麻风、腮腺炎等也可引起本病。
基质性角膜炎症状图片
角膜
白斑
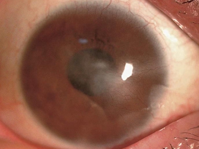
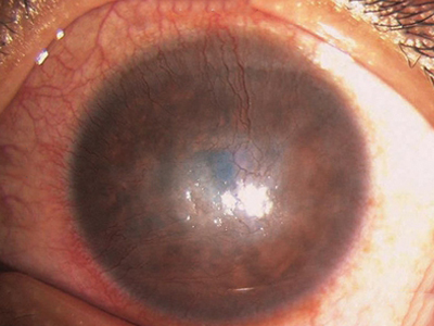
基质性角膜炎角膜有个蓝斑伴扇形白斑图
基质性角膜炎引起角膜中央出现蓝色斑块,并在下方出现一个扇形白斑,眼球混浊,可见患者的结膜充血泛红,有流泪、畏光的情况。
角膜
白斑
基质性角膜炎角膜长了多个白色斑块图
基质性角膜炎角膜上出现多个白色斑块,并在瞳孔周围有多个白点,周围伴有密密麻麻的红血丝,在斜下方有红色弧形斑。
角膜
血丝
基质性角膜炎角膜上有白色絮状物伴红血丝图
基质性角膜炎角膜上出现一层白白的薄膜,同时伴有密密麻麻的红血丝,红血丝向内浸润,并在其上呈树枝状不规则向周围分布。
眼球
血丝 · 白斑
基质性角膜炎黑眼球上出现云雾状的白斑伴血丝图
基质性角膜炎引起白色云雾状的斑块覆盖一半的黑眼球,在黑眼球的白色云雾状斑块内,有大量红血丝不断渗入,眼白有明显的充血发红。
眼球
血丝 · 白斑
基质性角膜炎眼球上有月牙状的白斑伴大量血丝图
基质性角膜炎黑眼球上、下出现月牙形的白色斑块,黑眼球周围有密密麻麻的红血丝,红血丝向黑眼球内不断进展,伴有明显的视力下降。
角膜
白斑
基质性角膜炎角膜的白膜上有一块白斑图
基质性角膜炎角膜上出现一片白色的薄膜,并在薄膜内有一大片不规则形、黄白色的斑块,略微发亮。眼角处出现红肿充血,外观表现为红红的。
角膜
白斑
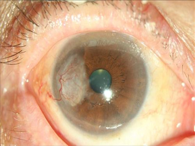
基质性角膜炎角膜上有白色斑块图
基质性角膜炎角膜上出现一块白色的类圆形斑块,斑块处于瞳孔与结膜之间,并有大量的血丝渗入其中,角膜边缘还有红色毛刷状的血丝。
角膜
白斑
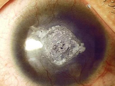
基质性角膜炎角膜长了一个白色斑块图
基质性角膜炎患者角膜上出现鹅卵石状的白色斑块,白色斑块遮挡部分瞳孔,引起患者视力下降,同时斑块周围见有大量的红血丝。
角膜
白斑
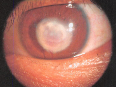
基质性角膜炎角膜长了个覆盖瞳孔的白斑图
基质性角膜炎表现为角膜上出现覆盖瞳孔的白色斑块,并在周围有如红色毛刷样的红血丝,向外放射,部分患者红血丝可向白斑内侵袭。
角膜
水肿 · 血丝
基质性角膜炎角膜水肿有血丝图
基质性角膜炎表现为患者角膜表面附着形状不规则的半透明白斑,可遮挡瞳孔,同时结膜充满红血丝,角膜充血水肿,患者畏光强烈,可戴深色眼镜减少光线刺激。
角膜
白斑
基质性角膜炎角膜有白斑周围有血丝图
基质性角膜炎患者的角膜中央部可见近圆形白色浑浊,类似于白斑,角膜边缘出现网状分布的毛细血管,瞳孔边缘有灰黑色圆环,患者伴有视力减退或消失。
眼球
充血
基质性角膜炎结膜充血图
基质性角膜炎可以表现为白眼球充血,上有少量红色血丝,黑眼球下方有一条白色弧形丝状物,患者可有眼痛、流泪、畏光等刺激症状。
眼球
混浊
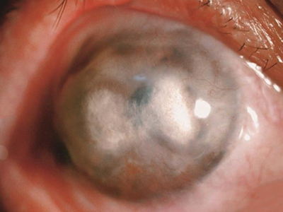
基质性角膜炎黑眼球混浊图
基质性角膜炎见患者黑眼球上出现一片白白的薄膜,整体较为混浊,同时周围伴有密密麻麻的红血丝,逐渐向内浸润,呈不规则形分布。
角膜
混浊
基质性角膜炎眼球混浊白了一大片图
基质性角膜炎患者表现为角膜基质内混浊,角膜溶解坏死,表面出现类圆形灰白色脓肿病灶,以及一小部分缺损,病程缓慢,可反复发作。
眼球
混浊
基质性角膜炎黑眼球混浊有一圈白色图
基质性角膜炎表现为黑眼球上有一圈白色的丝状物,角膜整体混浊、水肿,瞳孔表面雾蒙蒙的,似有一层白膜,伴随结膜上有多条血丝等表现。
角膜
白斑
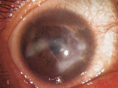
基质性角膜炎角膜有环状白斑图
基质性角膜炎患者表现为角膜上有一纵向的半环状白斑,呈细条状,角膜混浊、水肿,可有眼痛、流泪、畏光等刺激症状,视力明显下降。
眼球
充血 · 混浊
基质性角膜炎眼球混浊充血图
基质性角膜炎的常见临床表现为白眼球充血,密密麻麻们布满红色血丝,黑眼球表面像有一层白膜覆盖,整体混浊,中央有少量白色丝状物。
眼球
充血
基质性角膜炎眼球充血图
基质性角膜炎患者表现为白眼球充血,上面布满血丝,向内浸润,呈树枝状不规则向四周放射。患者伴有明显的视力下降、畏光等表现。
角膜
白斑 · 混浊
基质性角膜炎角膜白斑混浊图
基质性角膜炎患者表现为角膜基质内出现一个白色斑块,形状不规则,表面混浊,周围布满红血丝,遮盖瞳孔时,患者视力会受到影响。
角膜
混浊
基质性角膜炎角膜混浊图
基质性角膜炎表现为角膜混浊,中央有一块黄白色的斑块,下方有一条白色的弧形丝状物,周围有少量红血丝,患者视力会受到一定影响。
眼球
血丝 · 白斑
基质性角膜炎眼球有红血丝和白斑图
基质性角膜炎患者的黑眼球上见一大片黄白色的斑块,边缘模糊不清,形状不规则,有红血丝逐渐向内浸润,患者常伴有视力减退或消失。
角膜
白斑
基质性角膜炎角膜朦胧有幻影一样的白斑图
基质性角膜炎患者可见结膜有密集的网纹状红血丝,角膜处有灰白色纤细丝状物,聚集可形成云雾状灰白色斑块,形状不规则,遮盖瞳孔时患者视力会受到影响。
眼球
混浊
基质性角膜炎眼球混浊图
基质性角膜炎患者主要表现为眼球混浊,角膜处有纤细的丝状物,灰白色,聚集后形成云雾状的斑块,边缘模糊不清,整体形状不规则。
眼球
发红
基质性角膜炎眼球发红图
基质性角膜炎表现为白眼球发红,分布有密密麻麻的红色血丝,逐渐向内伸展,黑眼球边缘有一圈灰白色的云雾状斑块,患者有流泪、畏光等症状。
眼球
混浊
基质性角膜炎眼球混浊图
基质性角膜炎表现为黑眼球上有云雾状的灰白色斑块,整体雾蒙蒙的,混浊不清,周围有密集分布的红血丝向内浸润,并逐渐向内伸展。
角膜
白斑 · 缺损
基质型角膜炎角膜白色的斑块有缺损图
基质型角膜炎表现为角膜基质内多个白色斑块,角膜溶解坏死,表面出现广泛性缺损,严重者会形成灰白色脓肿病灶,周围结膜有明显充血表现。
角膜
白斑
基质型角膜炎角膜长烟雾状白斑图
基质型角膜炎早期可见典型的扇形角膜炎症浸润,患者角膜有白色云雾状斑块形成,自结膜向中央扩展,斑块表面还有刷子样红血丝分布。患者伴有明显的视力下降、畏光等表现。
角膜
白斑
基质性角膜炎角膜有蝴蝶样白斑图
基质性角膜炎患者角膜上有厚厚的白色薄膜,并在瞳孔两边出现类似于蝴蝶翅膀一样的白色云雾状斑块,伴随眼睑红肿和结膜上有多条血丝等表现。
角膜
血丝 · 白斑
基质性角膜炎角膜白斑上有个缺口伴红血丝图
基质性角膜炎引起的眼球损害表现为角膜上出现较为深在的缺口,缺口周围伴有白色斑片。结膜有大量的红血丝,并逐渐向内伸展。
角膜
白点
基质性角膜炎角膜有白环和白点图
基质性角膜炎引起角膜出现一圈白色环状物,并在白环内含有数量众多的白色斑点。同时一侧结膜呈弥漫性的暗红色,宛如出血了一般。
角膜
白斑
基质性角膜炎角膜上像月牙的白斑图
基质性角膜炎表现为角膜周围出现密密麻麻的血丝,向四周放射,同时在角膜上可见一个半月形的白色斑片,造成眼睛表面雾蒙蒙的。
角膜
白斑
基质性角膜炎角膜有一片薄薄的白斑图
基质性角膜炎患者角膜上出现一片雾蒙蒙的白斑,并在白斑边缘有弧形的深白色表现,周围有杂乱的红血丝,伴有眼痛、畏光等症状。
基质性角膜炎相关知识
基质性角膜炎是先天性梅毒最常见的迟发表现,多在青少年时期,如在5-20岁发病。发病初期为单侧,数周至数月后常累及双眼。女性发病多于男性。起病时可有眼痛、流泪、畏光等刺激症状,视力明显下降。早期可见典型的扇形或弥漫性角膜炎症浸润,可伴有或不伴有角膜后沉着物。
随着病情进展,角膜基质深层出现新生血管,在角膜板层间呈红色毛刷状,最终炎症扩展至角膜中央,角膜混浊、水肿。炎症消退后,水肿消失,少数患者遗留厚薄不等的瘢痕,萎缩的血管在基质内表现为灰白色纤细丝状物,称为幻影血管。
结核性基质性角膜炎较少见,多单眼发病,侵犯部分角膜,在基质的中、深层出现灰黄色斑块状或结节状浸润灶,有分支状新生血管侵入。病程缓慢,可反复发作,晚期角膜遗留浓厚瘢痕。
基质性角膜炎可能与细菌、病毒、寄生虫感染有关,梅毒螺旋体、麻风杆菌、结核杆菌和单纯疱疹病毒感染是常见的病因,虽然致病微生物可直接侵犯角膜基质,但大多数角膜病变是与感染原所致的免疫反应性炎症有关。
1、全身治疗:针对病因全身给予抗梅毒或抗结核治疗。
2、眼局部治疗:伴有虹膜睫状体炎,需用阿托品滴眼液或眼膏散瞳;点用糖皮质激素可减轻角膜炎症及症状,但要持续使用,注意逐渐减量原则,防止疾病反复。患者畏光强烈,可戴深色眼镜减少光线刺激。
3、角膜移植:用于角膜瘢痕形成导致的视力障碍者,可行角膜移植术。
参考文献
[1]邵毅,赵学英,刘毅.眼科疾病的治疗与研究[M].北京:科学普及出版社,2016:23-24.
[2]杨培增,范先群.眼科学(第9版)[M].北京:人民卫生出版社,2018:117-118.
相关科普
基质性角膜炎严重吗
黄力
南方医科大学深圳医院
基质性角膜炎的原因
黄力
南方医科大学深圳医院
痛风性肾病合并高血压如何治疗
段昱方
首都医科大学附属北京中医医院
紧急避孕药什么时候吃
张花
湖北省妇幼保健院
肝功能异常的症状有哪些
李鑫
首都医科大学附属北京地坛医院
子宫内膜癌的早期症状
张慧峰
湖北省肿瘤医院
溃疡性结肠炎是怎么回事
张声生
首都医科大学附属北京中医医院
溃疡性结肠炎能治愈吗
张声生
首都医科大学附属北京中医医院
什么是慢性胃炎
张声生
首都医科大学附属北京中医医院
白花蛇舌草的功效与作用
张涛静
北京中医药大学东方医院