角膜皮样瘤症状图片

本文由有来医生原创,经专业医师审核校对
所有图片质量和准确性经专业医生严格审查

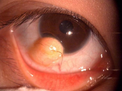
角膜皮样瘤来自胚胎性皮肤,是一种类似肿瘤的先天性异常,而非真正的肿瘤。肿物表面覆盖上皮,肿物内由纤维组织和脂肪组织构成,也可含有毛囊、毛发和皮脂腺,属于典型的迷芽瘤。本病主要表现为角膜下缘处肿物,表面可有毛发,不影响视力者可先观察,影响视力者可手术治疗。

角膜皮样瘤症状图片

角膜皮样瘤相关知识

角膜皮样瘤在患儿出生时即存在,随年龄增长和眼球发育略有增大。肿物多位于下方角膜缘处,为圆形淡黄色实性肿物,外表色如皮肤,边界清楚,表面可有纤细毛发。肿物角膜区前缘见一条弧形脂质沉着带。少数肿物位于角膜中央,或侵犯全角膜。较大的角膜皮样瘤可造成角膜散光、视力下降,偶有表现为Goldenhar综合征者,可伴有上睑缺损、耳部畸形或脊柱异常。
角膜皮样瘤是一种类似肿瘤的先天性异常,是先天性胚胎期组织发育异常错构的结果,多有遗传因素,幼年即发生。
小的角膜皮样瘤或位于结膜者,可随访观察。引起角膜散光、影响视力者,应进行肿物切除和板层角膜移植。手术前后应及时验光配镜,矫正视力,出现弱视者应进行弱视治疗。

参考文献

[1]杨培增,范先群.眼科学.第9版[M].北京.人民卫生出版社.2018.125-126.

[2]葛均波,徐永健.眼病学.第3版[M].北京.人民卫生出版社.2017.51.

[3]张旭东.实用眼科学.第1版[M].北京.科学出版社.2015.288.

相关科普