首页
我的
甲状腺相关眼病症状图片
本文由有来医生原创,经专业医师审核校对
所有图片质量和准确性经专业医生严格审查
张幼梅
主任医师 | 审核医师
郑州大学第一附属医院
|
眼科
甲状腺相关眼病是一种与内分泌相关的器官免疫性疾病,曾称“内分泌性突眼”、“甲状腺突眼”、“Graves眼病”、“眼型Graves病”等。患者主要表现为眼睑退缩、眼球突出等症状,严重者可导致视力下降。需要积极治疗原发病,对于眼睛局部的治疗主要包括药物治疗、放疗、手术治疗等。
甲状腺相关眼病症状图片
眼球
水肿 · 充血
甲状腺相关眼病眼球明显突出眼睛浮肿图
甲状腺相关眼病会导致患者的眼球明显突出,并伴有眼睛浮肿和球结膜水肿,使整个眼球呈现“蛙眼”外观,此时患者存在严重的眼表炎症反应,球结膜高度充血水肿。
眼部
浮肿
甲状腺相关眼病眼睛微凸双侧眼睛浮肿图
甲状腺相关眼病会导致眼睛微凸,以及双侧眼睛浮肿,严重的会有眼睑退缩和上睑迟滞,病情严重者会导致患者有不同程度的视物模糊。
眼部
变形
甲状腺相关眼病眼睛一大一小图
甲状腺相关眼病会导致患者的眼睛一大一小变形,主要是因为一侧眼睛的上眼睑迟滞或者退缩所致,从而使眼球暴露度不同,患者还伴有眼球微凸。
眼球
畸形
甲状腺相关眼病两只眼球突出睁的圆圆图
甲状腺相关眼病主要的临床症状是两只眼球突出畸形,使眼球睁的圆圆的,同时患者的上眼睑迟滞,不能很好的覆盖眼球,因此患者会有畏光、流泪等症状。
眼球
变形
甲状腺相关眼病瞪眼上眼睑不能完全收回图
甲状腺相关眼病患者会表现为一只眼睛呈瞪眼样,同时该眼睛的上眼睑不能完全收回,即上眼皮迟滞,严重时会表现为双眼球的突出变形。
眼睑
变形
甲状腺相关眼病右上眼睑退缩图
甲状腺相关眼病会表现为右上眼睑退缩,以及眼球的突出变形,呈单只眼睛瞪眼样,患者会有不同程度的视力障碍、复视等症状,同时伴有甲状腺功能亢进者还有急躁、食欲增加等表现。
眼球
变形
甲状腺相关眼病眼睛圆瞪眼眶胀痛图
甲状腺相关眼病患者会表现为眼睛圆瞪,且突出变形明显,同时患者有眼眶胀痛,以及眼球充血明显的情况,部分患者会发生暴露性角膜炎。
眼部
变形
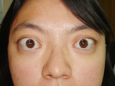
甲状腺相关眼病两只眼睛大小不对等图
甲状腺相关眼病患者早期会单只眼睛发病,表现为两只眼睛大小不对等,主要是因为一只眼睛的眼球突出变形明显,上眼睑退缩后的结果。
眼部
畸形
甲状腺相关眼病左侧眼睛露出结膜眼睛发胀图
甲状腺相关眼病主要表现为眼球突出畸形,以及上眼睑退缩,此时双侧眼球突出明显,而左侧眼睛露出结膜,并伴有眼睛发胀、充血的情况。
眼部
肿
甲状腺相关眼病两只眼睛肿胀明显图
甲状腺相关眼病会导致两只眼睛肿胀明显,而眼睑不能完全闭合,同时患者会发生暴露性角膜炎,表现为眼部的分泌物增多,眼睑红肿、充血。
眼球
变形
甲状腺相关眼病双眼眼球突出图
甲状腺相关眼病表现为患者双侧眼球突出变形,睑裂开大,暴露上方部分巩膜,患者伴有畏光、流泪、异物感、眼肿、眼睑闭合不全、复视和视力下降等症状。
眼部
血丝
甲状腺相关眼病控制不住流泪布满红血丝图
甲状腺相关眼病患者的病情严重时,会由于眼压增高,而控制不住地流泪,且眼睛内布满红血丝,此时患者的视力严重下降,甚至出现复视或者仅有感光性。
眼部
血丝
甲状腺相关眼病双眼满是红血丝眼泪流出图
甲状腺相关眼病患者会出现眼裂增宽,此时上眼睑对眼球的覆盖不良,双眼满是红血丝,导致患者出现畏光、眼泪不停流出等症状,同时患者会伴有明显的视力降低。
眼部
浮肿
甲状腺相关眼病眼球突出眼睑浮肿图
甲状腺相关眼病主要表现为上眼睑退缩,以及眼球突出明显,伴随眼睑浮肿,从而导致患者的眼裂增宽,眼睛干涩,严重的会导致患者发生暴露性角膜炎。
眼部
血丝
甲状腺相关眼病左边眼睛发红露出部分眼角图
甲状腺相关眼病会导致患者左边眼睛发红,并露出部分内眼角,同时患者会有眼球突出明显,以及眼球内布满红血丝的情况,患者还会有畏光、流泪的症状。
眼球
血丝
甲状腺相关眼病两只眼睛露出结膜缘图
甲状腺相关眼病患者会表现为两只眼睛露出结膜缘,而一边眼睑不能完全下落覆盖眼球,导致眼球突出明显,以及眼球表面有很多红血丝,患者会伴有不同程度的视力下降。
眼球
血丝
甲状腺相关眼病侧面看眼睛鼓得像要凸出去图
甲状腺相关眼病在从侧面看时,会发现患者的眼睛鼓得像要凸出去,而上眼皮不能很好的覆盖眼球,使眼球发生暴露性角膜炎,表现为眼球表面布满红血丝的症状。
眼部
变形
甲状腺相关眼病一边眼大一边眼小图
甲状腺相关眼病患者会出现一边眼大、一边眼小的情况,主要是眼球有轻度的突出变形,而上眼皮又发生退缩不能覆盖眼球所致,时间较长会发生暴露性角膜炎,伴随畏光、流泪等不适出现。
眼部
血丝
甲状腺相关眼病左边眼睛发胀厉害瞪得很大图
甲状腺相关眼病发生后,患者会表现为左边眼睛发胀厉害,看起来瞪得很大,而右边眼睛眼球表面布满红血丝,患者病情严重时会并发暴露性角膜炎。
眼部
血丝
甲状腺相关眼病眼睛压力大总想流泪图
甲状腺相关眼病患者会出现眼球凸出明显和眼睛压力大,总想流泪的情况,上眼皮无法完全退缩,眼球里有红血丝,患者自觉畏光明显,若出现视神经病变,可导致视力下降。
眼睑
僵硬
甲状腺相关眼病左眼睑不能下落图
甲状腺相关眼病患者左眼睑僵硬,左眼眼球下转时,左上眼睑不能下落,出现眼球运动障碍。随着疾病进展,患者会出现暴露性角膜炎,应尽早干预治疗。
眼睑
充血
甲状腺相关眼病双眼下眼睑外翻充血图
甲状腺相关眼病患者有眼球突出表现,存在重度眼球突出时,眼睑闭合不全,发生暴露性角膜炎,下眼睑局部充血、肥厚,严重者发生角膜溃疡甚至穿孔。
眼部
变形
甲状腺相关眼病左边眼球下翻图
甲状腺相关眼病会导致左边眼球下翻变形,两边下眼睑微微外翻,表现为眼球转动不灵活以及眼睑闭合不全,患者会伴有不同程度的结膜充血、红肿。
眼球
畸形
甲状腺相关眼病两只眼睛瞪得大大的图
甲状腺相关眼病会导致眼球突出畸形,而眼睑退缩,表现为两只眼睛瞪得大大的,此时患者的上眼睑反应迟钝,不能随着眼球的向下而落下。
眼睑
水肿
甲状腺相关眼病双侧眼睛水肿图
甲状腺相关眼病主要表现为眼睑功能退缩,以及眼球运动障碍,会导致患者的双侧眼睛上眼睑不能完全下落,还会伴有眼周水肿或者视力减退。
眼球
变形
甲状腺相关眼病眼球突出图
甲状腺相关眼病包括浸润性突眼,眼眶后组织炎症反应导致眼球明显突出变形,患者自觉眼部胀痛、畏光、视物模糊,继续发展会出现眼睑无法闭合、角膜溃疡等症状。
眼球
充血
甲状腺相关眼病眼眶压力很大眼球突出明显图
甲状腺相关眼病会导致眼眶压力很大,从而表现为双眼球明显突出,以及上眼睑闭合不全,导致眼睛形成暴露性角膜溃疡,且眼球周围充血明显。
眼球
充血
甲状腺相关眼病眼球几乎完全突出图
甲状腺相关眼病会表现为眼球几乎完全突出,且双侧眼睑裂开有结膜露出,同时患者的眼球充血明显,同时会发生暴露性角膜炎,此时患者会有不同程度的视力障碍。
甲状腺相关眼病相关知识
甲状腺相关眼病患者可出现眼睑退缩和上睑迟滞,表现为睑裂开大,暴露上方部分巩膜,眼球下转时上睑不能随之下落,双侧眼球突出,眼球运动障碍和复视。重度眼球突出导致眼睑闭合不全,可发生暴露性角膜炎,严重者角膜溃疡甚至穿孔。如果发生视神经病变,可导致视力下降甚至仅存光感。伴有甲状腺功能亢进者还有急躁、脉搏加快、消瘦、食欲增加等表现。
甲状腺相关眼病的病因不明,可能与体液免疫、细胞免疫、球后促甲状腺素受体异常表达、成纤维细胞异常增生等因素关系密切,也与种族、遗传及生活方式相关,比如吸烟已经明确是其危险因素。
存在甲状腺相关眼病的患者,如伴有甲状腺功能异常,需积极治疗原发病。眼部治疗包括药物治疗、放射治疗和手术治疗等,可由医生根据情况选择。药物主要是使用糖皮质激素,严重者可联用免疫抑制剂。放射治疗适用于伴有眼外肌肥大的活动期甲状腺相关眼病患者。手术治疗主要包括眼眶减压术、眼肌手术和眼睑手术。
参考文献
[1]杨培增,范先群.眼科学.第9版[M].北京.人民卫生出版社.2018.263-264.
[2]葛均波,徐永健.眼病学.第3版[M].北京.人民卫生出版社.2017.180-182.
相关科普
甲状腺相关眼病是怎么引起的
梅洵
江西省人民医院
全身麻醉后多久开始手术
胡思光
江门市五邑中医院
全身麻醉后护理常规
胡思光
江门市五邑中医院
全身麻醉时会疼吗
胡思光
江门市五邑中医院
脂肪肝中药配方
黄国欣
广州中医药大学深圳医院
癫痫的分类
周健
首都医科大学三博脑科医院
急性阑尾炎的症状
张宏生
临汾市中心医院
胆囊息肉症状
张宏生
临汾市中心医院
小儿腹股沟疝最佳手术年龄
张宏生
临汾市中心医院
胆囊癌术前的检查有哪些
冯燮林
四川省肿瘤医院