首页
我的
面部变应性接触性皮炎症状图片
本文由有来医生原创,经专业医师审核校对
所有图片质量和准确性经专业医生严格审查
李彦
主任医师 | 审核医师
河南省人民医院
|
皮肤科
面部变应性接触性皮炎,即发生于面部的变应性接触性皮炎。变应性接触性皮炎,也称过敏性接触性皮炎,是因为皮肤接触变应原后发生了过敏反应,进而造成面部出现红斑、水肿、丘疹、水疱等损害,同时伴有明显瘙痒症状。
面部变应性接触性皮炎症状图片
面部
丘疹 · 红斑
面部变应性接触性皮炎面部红斑上细小丘疹图
面部变应性接触性皮炎累及面部时,表现为局部皮肤出现肿胀明显的红斑,其上可以看见多发的密密麻麻的小丘疹,同时覆盖白色的小碎屑。
面部
水疱 · 红斑
面部变应性接触性皮炎面部红斑上有水疱图
面部变应性接触性皮炎患者在接触化妆品等物质后,面部出现境界清楚的红斑,呈深红色或紫红色,其上可有丘疹、丘疱疹,亦可出现豆大的水疱,常自觉瘙痒。
面部
红斑
面部变应性接触性皮炎面部弥漫性的红斑图
面部变应性接触性皮炎患者的皮损呈弥漫性分布,表现为面部出现红斑,境界不清,多伴随面部肿胀,皮肤粗糙不平,患者多存在接触气体、粉尘等异物接触史。
面部
丘疹
面部变应性接触性皮炎面部密密麻麻的小丘疹图
面部变应性接触性皮炎发生于婴儿整个面部,起病较急,表现为弥漫性红斑的基础上出现针尖至小米粒大小的密集丘疹,由于瘙痒,婴儿常哭闹、抓挠患处。
面部
红斑
面部变应性接触性皮炎面部出现红斑图
面部变应性接触性皮炎累及婴儿面部时,皮损为边界清楚的红斑,皮损形态与接触物有关,部分皮损可慢性化,呈苔藓样变,皮肤粗糙、存在轻微脱屑。
面部
黄痂 · 红斑
面部变应性接触性皮炎面部红斑上有黄痂图
面部变应性接触性皮炎在面部的接触部位出现淡红至鲜红色斑,伴随一定的水肿,并出现渗液,形成淡黄色结痂覆盖于红斑之上。
面部
红斑
面部变应性接触性皮炎面部发红图
面部变应性接触性皮炎患者病变部位出现弥漫性红斑,分布于全脸,并出现慢性皮炎湿疹样表现,面部皮肤出现干燥、脱屑等症状,多因慢性刺激造成。
面部
丘疹
面部变应性接触性皮炎面部红色小丘疹图
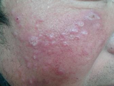
面部变应性接触性皮炎患者病变较轻时,表现为面部的接触部位出现境界不清的红斑,伴有轻微肿胀,红斑上有小丘疹,皮肤表面粗糙不平。
面部
红斑
面部变应性接触性皮炎面部一大片深红色斑块图
面部变应性接触性皮炎患者的脸上出现边界清晰的深红色斑块,渗出、肿胀比较明显,皮肤表面光滑,皮纹消失,有光亮感,伴有不同程度的瘙痒。
面部
丘疹
面部变应性接触性皮炎面部明显凸起的丘疹图
面部变应性接触性皮炎呈急性发病,患者脸上的皮损是境界清楚的红斑、丘疹、丘疱疹,搔抓后出现破裂,并形成结痂,痂皮为淡褐色,此时避免用手剥掉痂皮,以免留下印记。
面部
水肿 · 红斑
面部变应性接触性皮炎面部发红肿胀图
面部变应性接触性皮炎皮损表现为双侧面部大片红斑,红斑边界清晰伴颊部水肿,接触皮损处可感觉到皮温升高,患者有明显的瘙痒感。
面部
红斑
面部变应性接触性皮炎面部红了一大片图
面部变应性接触性皮炎临床表现为面部与过敏原接触部位有一大片红斑,红斑边界清晰表面光滑,患者自觉皮损处灼热感、瘙痒感,此时应立即使用清水清除面部的残留物质,亦可给予冰敷缓解不适症状。
面部
丘疹 · 红斑
面部变应性接触性皮炎面部红了一片有丘疹图
面部变应性接触性皮炎初期为面部接触部位出现大片红斑,红斑形状与接触物相关,后续可见红斑基础上生出小丘疹,小丘疹为针尖大小不易察觉,儿童因瘙痒不断搔抓患处。
面部
红斑
面部变应性接触性皮炎面部出现大片的红斑图
面部变应性接触性皮炎的皮损局限于接触致敏物的部位,表现为大片的红斑,边界清楚,伴有明显水肿,因此患者面部有光亮感,亦可存在明显瘙痒。
面部
脱屑 · 红斑
面部变应性接触性皮炎面部红色斑块伴脱屑图
面部变应性接触性皮炎发病部位及范围与接触的物质保持一致,在面部的病变部位会出现明显的红斑,且界限清楚,局部皮损慢性化时,其上有白色鳞屑脱落。
面部
丘疹 · 红斑
面部变应性接触性皮炎面部红色斑块有丘疹图
面部变应性接触性皮炎患者面部出现大片红斑,其上有针尖大的小丘疹出现,同时皮损部位皮肤出现轻度增生及苔藓样变,皮肤表面粗糙。
面部
丘疹
面部变应性接触性皮炎面部密密麻麻的丘疹图
面部变应性接触性皮炎起病较急,症状较轻时,患者面部接触部位皮肤会出现红斑、小丘疹,境界不清,发生于全脸,常自觉瘙痒或灼痛。
面部
红斑
面部变应性接触性皮炎面部大片淡红斑图
面部变应性接触性皮炎在早期皮损局限于面部的接触部位,边缘有蔓延至周边部位的迹象,导致出现边界不清的淡红色斑,患者自觉瘙痒难耐。
面部
红斑
面部变应性接触性皮炎面部一片片红色斑块图
面部变应性接触性皮炎的皮损表现为面部红斑,局限于接触部位,伴有局部肿胀,表现为红斑略高于皮肤表面,常自觉瘙痒,搔抓后留下抓痕。
面部
丘疹 · 红斑
面部变应性接触性皮炎面部红色斑块伴丘疹图
面部变应性接触性皮炎发生于面部,表现为接触部位出现深红色斑块,其上可有丘疹,同时伴有水肿,自觉症状主要是瘙痒、烧灼感或者胀痛感。
面部变应性接触性皮炎相关知识
面部变应性接触性皮炎可出现在接触劣质化妆品、面膜等物质之后,由于局部出现过敏反应,可造成面部皮肤出现红斑、水肿、丘疹、水疱等症状,自觉瘙痒。
面部变应性接触性皮炎主要是皮肤反复接触变应原导致,常见的变应原为劣质化妆品、劣质面膜、外用药物等。
对于面部变应性接触性皮炎患者,需停止使用致敏的产品,并立即用清水清除面部的残留物质,同时遵医嘱使用呋喃西林溶液进行冷湿敷,口服氯雷他定、盐酸西替利嗪等抗组胺药物进行治疗。
参考文献
[1]张学军,郑捷.皮肤性病学.第9版[M].北京.人民卫生出版社.2018.103-105.
[2]虞瑞尧,杨杨编著.儿童皮肤病彩色图谱[M].郑州.河南科学技术出版社.2019.172.
相关科普
变应性结膜炎注意什么
汪怿
浙江医院
变应性结膜炎是怎么形成的
马先祯
山东中医药大学附属眼科医院
变应性结膜炎的症状
马先祯
山东中医药大学附属眼科医院
变应性结膜炎怎么办
马先祯
山东中医药大学附属眼科医院
变应性结膜炎是什么
熊朝晖
河北医科大学第一医院
变应性肉芽肿性血管炎怎么治疗
史旭华
首都医科大学附属北京朝阳医院
变应性真菌性鼻窦炎怎么诊断
张宇
烟台毓璜顶医院
变应性哮喘怎样才可以治好
张鸿
首都医科大学附属北京朝阳医院
变应性肉芽肿血管炎有哪些症状
刘爱华
北京医院
变应性肉芽肿性血管炎什么症状表现
史旭华
首都医科大学附属北京朝阳医院