首页
我的
中度四环素牙症状图片
本文由有来医生原创,经专业医师审核校对
所有图片质量和准确性经专业医生严格审查
张代杰
副主任医师 | 审核医师
山东大学齐鲁医院
|
口腔修复科
中度四环素牙是牙发育矿化期间因服用四环素类药物,引起的牙体硬组织病变,以牙齿着色为主要改变,从最初的黄色逐渐变为棕褐色或黑灰色。四环素可通过胎盘引起乳牙着色,且乳牙比恒牙着色明显。当牙发育矿化完成后(6-7岁以后)再服用四环素类药物,一般不引起牙着色
中度四环素牙症状图片
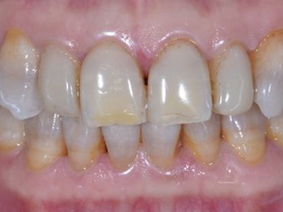
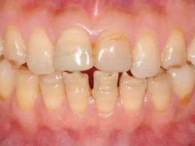
牙齿
发黄
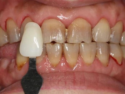
中度四环素牙牙齿变黄图
四环素牙患者的牙齿出现变黄的情况,其中以牙缝更为明显,牙齿表面有坑状缺损,主要是由于患者服用四环素族药物导致,可通过积极治疗改善牙齿外观。
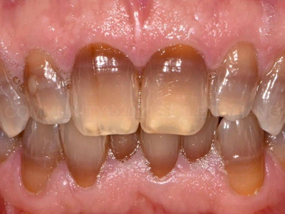
牙齿
发黄
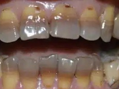
中度四环素牙牙齿整体发黄图
存在四环素牙的患者整体牙齿发黄,牙面光滑,之后颜色会逐渐加深,但病程较长,部分长达数十年,患者可能因牙齿颜色出现自卑心理。
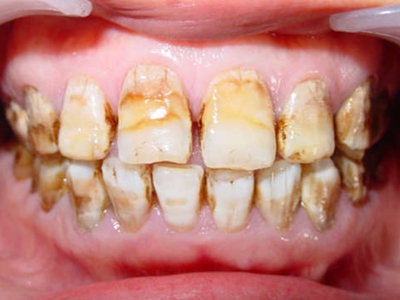
牙齿
发黄
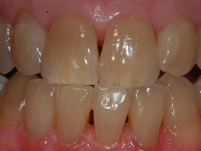
中度四环素牙牙齿不规则发黄图
患有四环素牙的患者牙齿出现多处不规则发黄,边缘不清晰,同时牙齿表面凹凸不平,有条纹状或点状凹陷缺损,随病情进展,症状会逐渐加重。
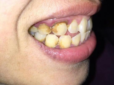
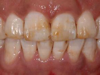
牙齿
黄斑
中度四环素牙牙齿有黄斑图
四环素牙患者牙齿表面发黄,且有多个明显的黄斑,牙齿切缘附近更为明显。该病是牙齿在发育矿化期服用四环素族药物所导致,患者应积极就医进行相应治疗。
牙齿
黄斑
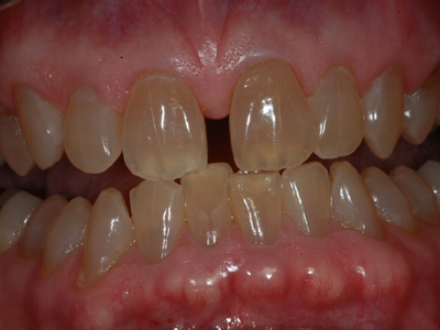
中度四环素牙牙齿整体泛黄图
四环素牙早期的牙齿表面整体泛黄,表面光滑有光泽,尚未发生缺损,不注意口腔清洁时牙根部有黄色牙结石堆积,随病情进展,牙齿颜色逐渐加深并出现缺损。
牙齿
发黄
中度四环素牙牙齿有不同程度发黄图
四环素牙牙齿表面有不同程度的发黄,牙根处更为明显,牙齿切缘附近则呈灰色,牙面还有多个凹陷,患者可能因牙齿外观而有自卑心理。
牙齿
发黄
中度四环素牙牙齿颜色不均图
四环素牙患者牙齿表面颜色不均,部分表现为黄色,部分表现为白垩色,分布范围无明显规律,牙面还有不规则条纹状凹陷,患者自觉无疼痛等不适症状。
牙齿
发黄
中度四环素牙牙齿发黄有裂纹图
发生四环素牙的患者牙齿色泽较正常牙齿明显偏黄,同时牙面及切缘有不规则的凹陷缺损,容易发生牙齿龋坏,影响牙齿美观,可遵医嘱通过修复治疗恢复。
牙齿
发黄
中度四环素牙牙齿边缘发黄图
四环素牙的牙齿有大面积黄褐色改变,以牙齿靠近牙龈的边缘和牙缝隙更为明显,刷牙或洗牙都不能改善外观,触摸表面有凹凸不平的感觉。
牙齿
发黑 · 发黄
中度四环素牙牙齿发黄发黑图
中度四环素牙患者牙齿色素沉着,表现为牙齿发黄发黑,呈帽状染色分层,牙根部为黄色,中间为棕褐色,牙尖部为黑色,伴有不同程度的牙釉质发育不全。
牙齿
发黄
中度四环素牙牙齿变色发黄图
中度四环素牙表现为牙冠呈显著黄色,牙根部色素沉着出现灰褐色改变,伴有轻度釉质发育不全,除牙齿颜色改变外,无自觉症状。
牙齿
竖纹 · 发黄
中度四环素牙牙齿发黄伴有竖状条纹图
中度四环素牙主要由于在牙齿发育矿化期服用四环素类药物导致,中度时表现为牙齿发黄,呈黄褐色改变,牙齿表面有凹凸不平的竖状条纹,无自觉症状。
牙齿
竖纹 · 缺损
中度四环素牙牙齿缺损有竖纹图
中度四环素牙会看到牙齿出现明显的磨损缺失,牙齿表面凹凸不平,伴有竖纹,牙齿颜色发生改变,为黄褐色或褐色,严重影响牙齿美观。
牙齿
纹 · 发黄
中度四环素牙牙齿发黄伴有黄色纹路图
中度四环素牙牙齿表面呈黄色,颜色变化区域占牙齿的一半,并且伴有黄色横纹,牙齿表面凹凸不平,通过漂白等治疗方法能够改善。
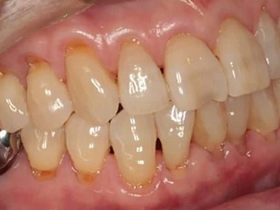
牙齿
发黄
中度四环素牙牙齿发黄牙龈红肿图
中度四环素牙牙面色素沉着呈深浅不等的黄色,伴有龋齿、牙龈红肿等症状,牙齿改变不会自行消退,甚至牙齿随病情的延长变为灰色。
牙齿
竖纹 · 变色
中度四环素牙牙齿变色有竖纹
中度四环素牙患者出现牙齿颜色改变,呈灰褐色,并且伴有竖条纹,还会伴有牙齿无光泽、牙隐裂、牙釉质发育不全等表现,无自觉症状。
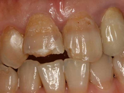
牙齿
缺损 · 发黄
中度四环素牙牙齿缺损发黄图
中度四环素牙患者牙齿色素沉着没有光泽,牙体比较肥厚,有时还会出现牙齿表面缺损、牙结石等情况,伴有牙齿黄色或灰黄色等颜色改变。
牙齿
发黄
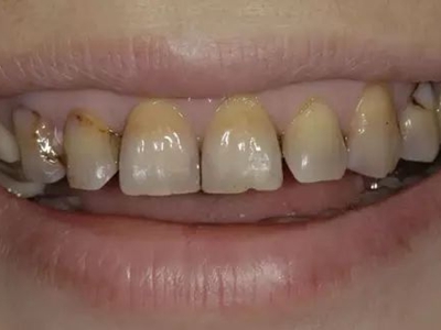
中度四环素牙牙齿发黄图
四环素牙患者牙齿表面大范围泛黄,色泽不均匀,同时有明亮的黄色荧光。患者牙缝间牙齿发黑,出现牙齿龋坏,初期常无明显自觉症状,后期牙齿颜色加深,伴有疼痛症状。
中度四环素牙相关知识
中度四环素牙牙齿颜色发生改变,呈现棕褐色至黑灰色。四环素在牙本质内,因结合部位的深浅而使牙本质着色的程度有所不同,当着色带越靠近釉牙本质界时,越易着色。因而在婴儿早期形成外层牙本质时,用药影响最大。
中度四环素牙是在牙齿的发育矿化期服用四环素类药物所致,可被结合到牙组织内,使牙着色。而且四环素可通过胎盘引起乳牙着色,且乳牙比恒牙着色明显。
中度四环素牙可通过漂白、光固化复合树脂修复、贴面修复、烤瓷冠修复等方法治疗。
参考文献
[1]周学东.牙体牙髓病学.第5版[M].北京.人民卫生出版社.2020.56-57.
[2]张志愿.口腔科学.第9版[M].北京.人民卫生出版社.2018.46.
相关科普
什么是四环素牙
何丰鹏
广州医科大学附属口腔医院
四环素牙是怎么形成的
王其宝
济南市口腔医院
什么叫四环素牙
门庆林
徐州市口腔医院
什么是四环素牙
李明
长沙市口腔医院
什么是四环素牙
吴哲
广州医科大学附属口腔医院
什么是四环素牙
张耀国
江苏省口腔医院
四环素牙有什么特点
门庆林
徐州市口腔医院
四环素牙是怎么形成的
姜涛
济南市口腔医院
四环素牙是怎么引起的
何丰鹏
广州医科大学附属口腔医院
氟斑牙和四环素牙的特点
吴哲
广州医科大学附属口腔医院