乳牙滞留症状图片

本文由有来医生原创,经专业医师审核校对
所有图片质量和准确性经专业医生严格审查

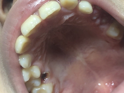
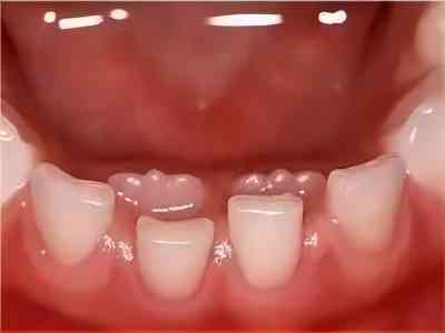
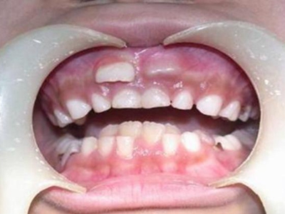
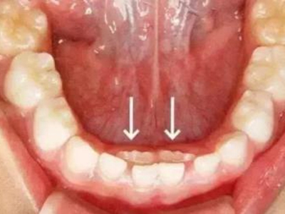
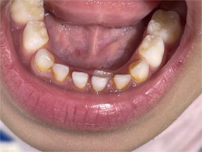
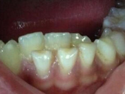
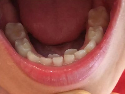
乳牙滞留是指继承恒牙已经萌出,乳牙未能按时脱落,或恒牙未萌出,保留在恒牙列中的乳牙,从而出现双排牙的现象。多数或全部乳牙滞留的原因目前尚不清楚,可能与继承恒牙萌出方向异常等原因有关。

乳牙滞留症状图片

乳牙滞留相关知识

乳牙滞留常见于一个乳牙,其次是两个乳牙。两个乳牙滞留往往呈对称分布。
混合牙列时期,最常见的是下颌乳中切牙滞留,后继之恒中切牙于舌侧萌出,乳牙滞留于唇侧,呈双排牙现象。其次是第一前磨牙颊侧或舌侧。
多数或全部乳牙滞留的原因目前尚不清楚。可能是与继承恒牙萌出方向异常,使乳牙牙根未吸收或吸收不完全;继承恒牙先天缺失使乳牙根吸收缓慢;继承恒牙萌出无力,乳牙根不吸收等因素有关。
还可能是全身因素,如佝偻病、侏儒症、外胚叶发育异常以及遗传因素等导致多个乳牙滞留。
乳牙滞留患者的继承恒牙已经异位萌出,滞留的乳牙应该拔除。先天缺失继承恒牙导致的乳牙滞留可不予处理,但是要密切观察滞留乳牙,积极预防龋齿的发生,尽量延后牙齿脱落时间。

参考文献

[1]米方林主编.口腔医学(第2版)[M].江苏凤凰科学技术出版社,2018:76-77.

[2]刘洋著.口腔内科学 ;高级医师进阶 ;副主任医师/主任医师[M].北京:中国协和医科大学出版社,2018:339-340.

相关科普