首页
我的
眼睑皮内痣症状图片
本文由有来医生原创,经专业医师审核校对
所有图片质量和准确性经专业医生严格审查
孙一洲
副主任医师 | 审核医师
中国医科大学附属第一医院
|
眼科
眼睑皮内痣是最常见的眼睑色素痣,常见于眼睑及结膜,属于常见良性肿瘤,可与身体其他部位色素痣并存。本病是眼睑先天性隆起的病变,边界清楚,由痣细胞构成,可在幼年即有色素,或直到青春期或成人时才有色素。
眼睑皮内痣症状图片
眼睑
小疙瘩
眼睑皮内痣上眼睑长个小疙瘩图
眼睑皮内痣发生在左侧上睑缘,单发,检查见一黄豆粒大小的疙瘩,颜色呈棕褐色,边界清楚,形状较规则,表面光滑发亮,上有眼睫毛正常生长。
眼睑
肉球
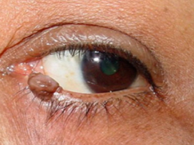
眼睑皮内痣下眼睑黑色肉球图
皮内痣见于左眼下眼睑靠近外眼角处,为一隆起性肿物,状似肉球,呈椭圆形,表面紧张发亮,呈黑灰色,颜色分布不均匀,界限清楚,直径约6mm。
眼睑
疙瘩
眼睑皮内痣下眼睑有褐色肉疙瘩图
眼睑皮内痣发生在下眼睑上,检查见局部有一隆起性损害,约黄豆大小,呈深褐色,表面凹凸不平,形状较规则,呈类圆形,边缘整齐,边界清楚。
眼睑
疙瘩
眼睑皮内痣眼睑上有一个肉疙瘩图
眼睑皮内痣患者下眼睑出现一个肉疙瘩样皮损,明显隆起,形状不规则,呈黄豆大小,表面呈暗红色,多无恶性趋势,可在医师评估下考虑手术切除。
眼睑
斑
眼睑皮内痣下眼睑浅褐色斑点图
眼睑皮内痣患者下眼睑出现一个浅褐色的小斑点,边界不清,邻近的面部皮肤上还有一个绿豆大小的褐色圆疙瘩,表面光滑,形状规则。
眼睑
大疙瘩
眼睑皮内痣眼睑上有一个黑色大疙瘩图
眼睑皮内痣患者下眼睑靠近内眼角区域可以看到一个黑色大疙瘩,如绿豆大小,呈椭圆形,上面附着一些眼睫毛,表面光滑,可影响患者视野。
眼角
肉球
眼睑皮内痣眼角有个小肉球图
眼睑皮内痣发生在外眼角时,表现为小肉球,界限清楚,单发,颜色为棕黑色,触之不动,患者没有明显自觉症状或者闭眼时有异物感,严重时可导致视野受限。
眼睑
大疙瘩
眼睑皮内痣上眼皮有一个大疙瘩图
眼睑皮内痣患者上眼睑的睑缘上可以看到一个大疙瘩,豌豆大小,疙瘩上面有一些眼睫毛,明显突起,可遮挡一部分眼球,患者闭眼睛时有一定的异物感。
眼睑
疙瘩
眼睑皮内痣下眼睑有个黑色疙瘩图
眼睑皮内痣患者下眼睑靠近外眼角的位置有个黑色疙瘩,约绿豆大小,表面光滑,附有几根睫毛,与周围皮肤黏膜分界清楚,属于常见的良性肿瘤。
眼睑
肉球
眼睑皮内痣眼睑有肉球图
眼睑皮内痣患者下眼睑长一个红灰色肉球,约豌豆大小,表面无破溃、糜烂,亦无疼痛、瘙痒,但体积较大时可能触碰结膜引起不适,并且影响视野。
眼角
肉球
眼睑皮内痣下眼角长了个黑色肉球图
眼睑皮内痣皮损在下睑内侧,表现为黑色乳头瘤状,明显隆起于皮肤表面,呈豆状大小,痣细胞完全在真皮内,可能无恶性趋势,但影响外观,可在医师评估下考虑美容手术切除。
眼睑
肉粒
眼睑皮内痣上眼睑有一个小肉粒图
眼睑皮内痣患者上眼皮的睑缘有一个小肉粒,呈暗红色,直径约5mm,明显突起,上有睫毛生长,是一种先天发育畸形,来源于表皮基底层产生黑色素的色素细胞。
眼睑
黑斑
眼睑皮内痣下眼睑小黑斑图
眼睑皮内痣患者的下眼皮睑缘上有个小黑斑,芝麻粒大小,边界清晰,微微隆起,表面凹凸不平,其上有毛发生长,按压不会有异常感觉。
眼睑
疙瘩
眼睑皮内痣下眼睑一个黑褐色疙瘩图
眼睑皮内痣患者的下眼睑有一个大疙瘩,颜色为黑褐色,呈红豆大小,表面发亮,上有睫毛生长,不伴有疼痛、瘙痒等自觉症状,但是患者的视野会受到影响。
眼睑
肉粒
眼睑皮内痣上眼睑边缘凸起一个小肉粒图
眼睑皮内痣患者上眼睑边缘有一个颗粒状的小肉粒,直径约2mm,明显突起,呈灰褐色,隐藏在睫毛根部,属于常见的良性肿瘤,暂时不用治疗。
眼睑
圆疙瘩
眼睑皮内痣下眼睑有一个小圆疙瘩图
眼睑皮内痣发生在下眼睑,检查见局部有一小圆疙瘩,呈褐色,略微隆起,高出周围皮肤和黏膜,形状较规则,边界比较清楚,其上有数根毛发。
眼睑
小疙瘩
眼睑皮内痣上眼睑一个小肉疙瘩图
眼睑皮内痣患者上眼睑有一隆起性肿物,状似小肉疙瘩,直径约5mm,紧贴睫毛根处生长,按压质软,无疼痛、瘙痒,是一种先天发育畸形。
眼角
肉粒
眼睑皮内痣眼角有一个小肉粒图
眼睑皮内痣患者外眼角的眼皮上单发一个小肉粒,形状不太规则,颜色与肤色相近,无自觉症状,主要是影响美观,必要时可手术完整切除。
眼睑
黑斑
眼睑皮内痣下眼睑有一个黑斑图
眼睑皮内痣的皮损可表现为下眼睑黑斑,单发,形状不规则,边界较为清晰,稍隆起于皮面,表面不平整,可有毛发生长,属于常见良性肿瘤。
眼睑
大疙瘩
眼睑皮内痣下眼睑黑色大疙瘩图
眼睑皮内痣分布在下眼睑的睑缘中间,呈黑色的大疙瘩样,外形如黄豆,表面比较紧张,光滑反光,上有眼睫毛生长,边缘较整齐,无自觉症状。
眼睑
肉粒
眼睑皮内痣下眼睑有一个小肉粒图
眼睑皮内痣患者下眼睑有一小肉粒,轻微隆起,直径约2mm,上有毛发生长,周围皮肤黏膜颜色正常,患者一般无明显自觉症状,无恶变趋势。
眼角
肉球
眼睑皮内痣下眼角长了黑色肉球图
眼睑皮内痣发生在内眼角,单发,颜色呈黑色,约花生大小,触之不动,表面光滑发亮,界限清楚,形状较规则,患者多无不适感或轻微影响视野。
眼睑
黑斑
眼睑皮内痣下眼睑一个黑斑图
眼睑皮内痣患者的下眼睑有一个黑斑,微微隆起,单独发生,与周围正常皮肤分界明显,形状大体为椭圆形,表面无破溃、糜烂,有毛发生长。
眼睑
肉粒
眼睑皮内痣眼角有一个肉粒图
眼睑皮内痣发生在内眼角,为一单发的肉粒,呈褐色,表面粗糙,形状不规则,按压无明显不适感觉,并且不可推动,体积较小时一般不会影响视野。
眼睑
疙瘩
眼睑皮内痣上眼睑有黑色疙瘩图
眼睑皮内痣在上眼皮的眼缘上可以看到一个蓝黑色的突起,如豌豆大小,呈椭圆形,表面光滑,上面有眼睫毛正常生长,边界清晰,边缘整齐。
眼睑
小疙瘩
眼睑皮内痣上眼睑长了黑色小疙瘩图
眼睑皮内痣发生在左侧上眼睑,靠近内眼角的位置,为一黑色的突起,边界清晰,与周围皮肤黏膜分界清楚,表面光滑,约黄豆大小,可能影响视野。
眼睑
疙瘩
眼睑皮内痣下眼睑长了黑色带毛的疙瘩图
眼睑皮内痣损害多发,发生在右眼的下眼缘和内眼角处,为颜色深浅不一的突起,浅褐色至蓝黑色,表面光滑发亮,大小不一,上有毛发生长。
眼睑
疙瘩
眼睑皮内痣下眼睑长了棕黑色疙瘩图
眼睑皮内痣表现为棕黑色的肿物,单独发生,形状不规则,边缘不整齐,但与周围正常皮肤分界明显,表面粗糙,约豌豆大小,见于左侧下眼睑。
眼睑
小疙瘩
眼睑皮内痣上眼睑上有个小疙瘩图
眼睑皮内痣在患者上眼皮见一蓝黑色的小疙瘩,有明显隆起,上有毛发正常生长,直径约5mm,周围皮肤黏膜颜色正常,可能影响患者的少部分视野。
眼睑
疙瘩
眼睑皮内痣下眼睑有个黑色疙瘩图
眼睑皮内痣分布在右侧下睑缘中间处,为一较大的肉球,颜色呈黑褐色,直径约5mm,边界清晰,边缘较整齐,表面较粗糙,上有眼睫毛正常生长。
眼角
黑斑
眼睑皮内痣内眼角长黑色的斑图
眼睑皮内痣皮损呈扁平状,稍隆起于皮面,表面粗糙不平,呈颗粒样外观,色黑,形状不规则,边缘不整齐,看着像是斑,但与周围皮肤黏膜分界清晰,见于左侧内眼角处。
眼睑皮内痣相关知识
眼睑皮内痣的皮损一般为隆起状,有时为乳头瘤状,色素很少,如有则为棕色至黑色。痣细胞完全在真皮内,可能无恶性趋势。
眼睑皮内痣是一种先天发育畸形,来源于表皮基底层产生黑色素的色素细胞。
眼睑皮内痣一般不需要治疗,若觉影响美观,可进行手术切除,但必须完整和彻底地切除;若出现一些恶变迹象,如迅速增大、变黑及破溃出血等时,应立即彻底切除,并进行病理学检查。
参考文献
[1]葛均波,徐永健.眼病学(第3版)[M].北京:人民卫生出版社,2017:10.
[2]杨培增,范先群.眼科学(第9版)[M].北京:人民卫生出版社,2018:66-67.
相关科普
皮内痣是什么原因引起的
汪晨
中日友好医院
皮内痣会恶变吗
吴剑波
武汉大学中南医院
具体眼睑内是哪里
王卫
中日友好医院
眼睑在哪里
齐慧君
北京大学人民医院
眼睑内具体是哪里
施爱群
中日友好医院
什么是眼睑
李海丽
北京大学第一医院
眼睑是哪
孙冉
首都医科大学宣武医院
眼睑是哪个部位
罗继红
湖北省中医院
什么是眼睑炎
夏群
北京医院
什么是眼睑再造
杨欣
北京大学第三医院