眼睑皮脂腺癌症状图片

本文由有来医生原创,经专业医师审核校对
所有图片质量和准确性经专业医生严格审查

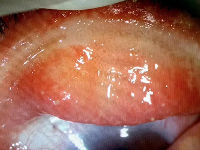
眼睑皮脂腺癌是起源于睑板腺和皮脂腺的一种眼睑腺癌。本病多见于中老年女性,好发于上睑,通常表现为结节,逐渐可变为黄色隆起,会出现溃疡或菜花状,一旦确诊,多需手术治疗。

眼睑皮脂腺癌症状图片

眼睑皮脂腺癌相关知识

眼睑皮脂腺癌是我国常见的眼睑恶性肿瘤之一,常起源于睑板腺和睫毛皮脂腺。如起自睑板腺,初起时为眼睑皮下小结节,与睑板腺囊肿相似,以后逐渐增大,睑板弥漫性斑块状增厚,睑结膜呈黄色隆起。如起自皮脂腺,则在睑缘呈黄色小结节,表面皮肤正常。部分患者的肿瘤呈派杰样浸润生长,易误诊为结膜炎。当肿块逐渐增大后可形成溃疡或呈菜花状。
眼睑皮脂腺癌的病因不是非常明确,可能和接触放射线有关,也可能和免疫功能异常有关。
眼睑皮脂腺癌以手术治疗为主,病变局限时,以Mohs法切除肿瘤并病理监测切除边缘是否已无癌细胞。如病变已侵及邻近组织,可行部分或全眶内容切除术。对于无法手术或手术后复发者可行放射治疗。

参考文献

[1]杨培增,范先群.眼科学.第9版[M].北京.人民卫生出版社.2018.67.

[2]John ;E.Niederhuber,James ;O.Armitage,Michael ;B.Kastan,Joel ;E.Tepper.临床肿瘤学上卷.第5版[M].北京.人民军医出版社.2016.1122-1123.

[3]李凤鸣,谢立信.中华眼科学 ;上册.第3版[M].北京.人民卫生出版社.2014.918-919.

相关科普