樱桃状血管瘤症状图片

本文由有来医生原创,经专业医师审核校对
所有图片质量和准确性经专业医生严格审查

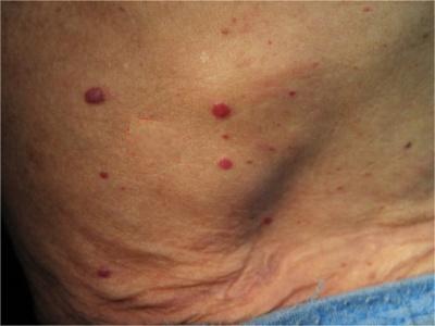
樱桃状血管瘤又称老年性血管瘤,是一种常见的血管畸形,表现为直径1-5mm的红色或樱桃色半球形丘疹。病变通常好发于30岁左右的年轻人,随年龄增长,皮损数目日渐增多。

樱桃状血管瘤症状图片

樱桃状血管瘤相关知识

樱桃状血管瘤可发于胸部,表现为直径1-5mm的鲜红或樱桃色丘疹或小结节,半球状,高于皮处1-2mm,质软海绵状,有时呈不规则状或蕈状,数目不定,玻片压之褪色。
樱桃状血管瘤发病机制还不清楚,但该病往往随着年龄的增长皮损逐渐增多,考虑与皮肤老化相关。
樱桃状血管瘤对健康无影响,一般不需治疗。必要时可行局部治疗,包括激光、冷冻和电灼等。

参考文献

[1]李伯埙,王俊民,肖生祥主编.皮肤病临床与组织病理学[M].西安:世界图书西安出版公司,2015.768.

[2]马寒,赖维,陆春主编.简明皮肤病临床及组织病理图谱[M].广州:广东科技出版社,2018.122.

[3]郭云良,金丽英,刘天蔚主编.老年医学[M].北京:科学技术文献出版社,2017.402.

[4]李文飞,杨宝琦,张友烂主编.常见皮肤性病诊疗精要[M].北京:科学技术文献出版社,2014.361-362.

[5]路永红主编.皮肤病性病诊断与治疗[M].成都:四川科学技术出版社,2013.519-520.

相关科普