继发性血小板减少性紫癜症状图片

本文由有来医生原创,经专业医师审核校对
所有图片质量和准确性经专业医生严格审查

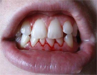
继发性血小板减少性紫癜,是指有明确病因或在某些原发病的基础上发生的血小板减少伴随出血的疾病。患者可有引起血小板减少的原发疾病的临床表现,有类似特发性血小板减少性紫癜的皮肤、黏膜和内脏的出血倾向,可在皮肤黏膜上出现出血点,形成瘀斑、瘀点等改变。

继发性血小板减少性紫癜症状图片

继发性血小板减少性紫癜相关知识

继发性血小板减少性紫癜患者有原发疾病的表现,发病前有某种诱因的接触史。出血表现以四肢、躯干皮肤散在瘀点、瘀斑、呕血、便血、月经过多为主,颅内出血少见。患者在急性期,皮肤瘀斑的部位可能出现血疱。
继发性血小板减少性紫癜,可继发于其他疾病引起的血小板减少,如类风湿关节炎、淋巴瘤,也可由药物因素导致,如苯、抗生素、乙醇、雌激素类药物。
继发性血小板减少性紫癜是继发性疾病,治疗原发病是关键,积极寻找原发病因,例如病毒所致者可使用抗病毒药阿昔洛韦口服。患者可使用芦丁片、酚磺乙胺改善血管脆性,出血多、病情严重者可采用糖皮质激素治疗。如果患者存在脾功能亢进,可行脾切除手术治疗。

参考文献

[1]王学锋,管洪在主编;林东红,王明山,江虹,李绵洋副主编.临床血液学检验.第3版[M].北京.中国医药科技出版社.2019.337.

[2]孙心君等主编.现代皮肤病诊断与治疗要点下[M].长春.吉林科学技术出版社.2016.342-343.

[3]王宝玺主编.中华医学百科全书.临床医学皮肤病学[M].北京.中国协和医科大学出版社.2017.245.

相关科普