红眼病症状图片

本文由有来医生原创,经专业医师审核校对
所有图片质量和准确性经专业医生严格审查

红眼病又称急性细菌性结膜炎、急性卡他性结膜炎,是由细菌感染引起的一种急性流行性眼病,多表现为眼睑肿胀、结膜充血。本病以春、秋季节多发,两眼同时或相隔1-2天发病。红眼病大多有自限性,约2周便可痊愈。

红眼病症状图片

红眼病相关知识

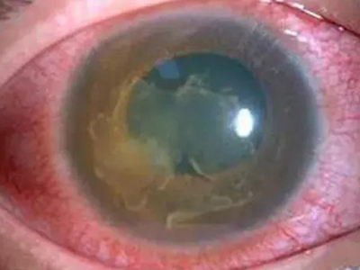
红眼病患者自觉异物感、疼痛,进而有烧灼感、畏光、流泪等。因炎症刺激会产生大量黏液、脓性分泌物,晨起时眼睑可被分泌物粘在一起,睁眼困难。
体格检查可见眼睑肿胀、结膜充血,以穹隆部、睑结膜充血最为显著,可伴有乳头增生,结膜表面有较多的分泌物,可形成假膜,球结膜水肿。病情严重者可波及角膜,使视力受到影响。
红眼病是一种常见的传染性眼病,成人常见的致病菌有金黄色葡萄球菌、肺炎双球菌、链球菌,儿童常见的致病菌是流感嗜血杆菌。传播途径为直接和间接接触、飞沫传播等。
红眼病患者应根据不同的病原菌选用敏感的抗生素,未做细菌培养前,使用广谱抗菌药物,如诺氟沙星、氧氟沙星等氟喹诺酮类药物。对于有假膜的患者,应先去除假膜,再使用滴眼液。
对于儿童或免疫功能低下的患者,可给予适当的口服抗生素治疗,如多西环素。本病预后良好,但传染性较强,应注意卫生、消毒,避免交叉感染。

参考文献

[1]卢海,金子兵主编.全国普通高等医学院校五年制临床医学专业“十三五”规划教材 ;眼科学[M].北京.中国医药科技出版社.2016.74.

[2]张恒足主编.门诊实用急症手册.第6版[M].北京名医世纪文化传媒有限公司.2017.265.

[3]刘彩凤等主编.现代临床护理技术[M].上海.上海交通大学出版社.2018.423-424.

[4]席淑新主编.眼耳鼻喉科护理[M].上海.复旦大学出版社.2015.38.

[5]龚向明,钟兴武,杨晓主编.临床眼科彩色图谱[M].广州.广东科技出版社.2012.42.

[6]黄艺仪,李欣,张美芬,刘向群主编.临床急诊急救护理学[M].北京.人民军医出版社.2015.442.

相关科普