首页
我的
化脓性扁桃体炎症状图片
本文由有来医生原创,经专业医师审核校对
所有图片质量和准确性经专业医生严格审查
郑贵亮
主任医师 | 审核医师
上海交通大学医学院附属新华医院
|
耳鼻喉头颈外科
化脓性扁桃体炎是常见的咽喉急性疾病,好发于小儿及青少年人群。临床以咽痛吞咽时加重,扁桃体红肿,表面有黄白色脓点或脓点融合成的伪膜为主要表现,多伴有发热。本病属于中医“风热乳蛾”的范畴。
化脓性扁桃体炎症状图片
扁桃体
红肿
化脓性扁桃体炎扁桃体发红肿胀图
化脓性扁桃体炎患者口咽两侧的扁桃体充血发红,表面没有溃烂面,伴有咽痛,咽痛开始于一侧,继而双侧咽部均明显疼痛,吞咽时明显加剧。
扁桃体
红肿
化脓性扁桃体炎扁桃体红肿有白色疙瘩图
化脓性扁桃体炎咽部两侧扁桃体肿大明显,有红枣大小,咽部变狭窄,肿大的黏膜表面有突出的小疙瘩,另外还嵌有形状不规则的白色物质,伴有疼痛,吞咽时更加明显。
扁桃体
红肿 · 白点
化脓性扁桃体炎扁桃体发红有白点图
化脓性扁桃体炎的病发部位存在明显的红肿表现,局部呈现鲜红色,扁桃体犹如两个肉球,其上有黄白色小点,此时患者有明显的咽痛感,并且吞咽时加重。
扁桃体
红肿
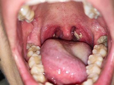
化脓性扁桃体炎单侧扁桃体变大化脓图
化脓性扁桃体炎咽部单侧扁桃体肿大突出,颜色呈鲜红色,形状不规则,黏膜表面凹凸不平,附有黄白色物质,伴有明显疼痛等自觉症状。
扁桃体
肿
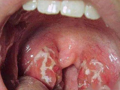
化脓性扁桃体炎扁桃体肿大凹陷性溃疡化脓图
化脓性扁桃体炎咽部两侧扁桃体肿大有弹珠大小,黏膜表面有凸起小疙瘩,看起来凹凸不平,且多处附有黄白色分泌物,是化脓现象,伴有明显咽痛等症状。
扁桃体
肿
化脓性扁桃体炎单侧扁桃体上有两个黄白色异物图
化脓性扁桃体炎一侧的扁桃体上有黄白色物质,大小不等,形状不规则,镶嵌在增生肿大的扁桃体黏膜上,还可能伴有发热、恶寒、四肢疼痛等症状。
扁桃体
白斑
化脓性扁桃体炎喉咙两侧有白膜覆盖图
化脓性扁桃体炎咽部两侧扁桃体被黄白色假膜覆盖,形似白斑,假膜容易被擦去,假膜下的创面潮红,不易出血,伴有明显咽痛,吞咽时疼痛更加明显。
扁桃体
红肿
化脓性扁桃体炎咽喉红肿上面有白斑图
化脓性扁桃体炎儿童咽部两侧扁桃体明显红肿,占据咽部大部分空间,其上有突出的红色疙瘩,大小不等,还有附有少量白色脓性分泌物,质地较薄。
扁桃体
肿
化脓性扁桃体炎扁桃体肿大有脓点图
化脓性扁桃体炎咽部两侧扁桃体肿大,有弹珠大小,咽部几乎狭窄一半,肿大的扁桃体黏膜表面形状不规则,凹凸不平,其上有少量黄白色脓点,伴有疼痛和吞咽困难。
扁桃体
红肿
化脓性扁桃炎两侧扁桃体红肿化脓图
化脓性扁桃体炎咽部两侧扁桃体充血红肿,有弹珠大小,黏膜表面遍布红血丝,还有黄豆大小白色膜状物,形态各异,颜色深浅不一,是化脓表现。
扁桃体
红肿
化脓性扁桃体炎喉咙水肿充血白点图
化脓性扁桃体炎咽部两侧扁桃体红肿明显,有扁豆大小,突出明显,形状大体呈椭圆形,颜色为鲜红色,但颜色分布不均,深浅不一,其上有脓点,伴有明显咽痛。
扁桃体
白斑
化脓性扁桃体炎扁桃体充血上面覆盖一层厚厚的白色脓苔图
化脓性扁桃体炎咽部两侧扁桃体上附有一层较厚的膜状斑块,颜色为黄白色,边界清晰,大小不等,斑块质地较厚,其下黏膜充血,呈鲜红色。
扁桃体
肿
化脓性扁桃体炎扁桃体出现乳白色疙瘩图
化脓性扁桃体炎咽部两侧扁桃体增生肿大,呈肉疙瘩状,形状不规则,大小不等,黏膜表面凹凸不平,部分黏膜附有黄白色物质,伴有咽痛,吞咽时更加明显。
扁桃体
白斑
化脓性扁桃体炎一侧扁桃体多发大小不一的白斑图
化脓性扁桃体炎咽部一侧扁桃体有块状和点状白色脓性分泌物,大小差异较大,容易擦去露出红色基底面,伴有疼痛,还可能伴有高热等全身症状。
扁桃体
疙瘩
化脓性扁桃体炎扁桃体出现黄白色果冻状异物图
化脓性扁桃体炎咽部一侧扁桃体上有多个黄色小疙瘩,颜色呈粉色、鲜红色,大小不等,部分疙瘩上附有黄白色果冻状物质,伴有疼痛等不适症状,应及时治疗。
扁桃体
红肿
化脓性扁桃体炎扁桃体严重红肿并覆盖黄白色的脓苔图
化脓性扁桃体炎咽部两侧扁桃体明显红肿,呈鲜红色,约有硬币大小,呈圆球凸起状,其上大面积覆盖有黄白色脓性分泌物,质地较厚,吞咽时有异物感。
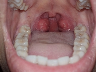
扁桃体
化脓性扁桃体炎扁桃体肿大图
化脓性扁桃体炎患者的口咽右侧扁桃体发红,体积明显增大,造成口咽部位的空间减少,并伴有明显疼痛、灼烧感,从而影响吞咽动作。
扁桃体
红肿
化脓性扁桃体炎扁桃体红肿像肉球图
化脓性扁桃体炎患者的口咽两侧扁桃体明显红肿,体积增大像肉球,肿大的扁桃体表面可见到扩张的毛细血管。咽部有明显疼痛,吞咽时疼痛加剧,可放射至耳部。
扁桃体
红肿 · 红点
化脓性扁桃体炎扁桃体红肿有红点图
化脓性扁桃体炎患者口咽两侧的扁桃体发红、肿大,扁桃体炎症波及周围组织,引起扁桃体周围黏膜充血、出血,形成小红点,患者应及时遵医嘱正确应用抗生素缓解症状。
扁桃体
化脓
化脓性扁桃体炎扁桃体化脓有白色分泌物图
化脓性扁桃体炎患者口咽两侧的扁桃体充血发红,体积增大不明显,上面附着有黄白色脓苔,易于揩去,揩去不留出血创面,伴有明显疼痛,建议通过含漱、含片和喷药等方式治疗。
扁桃体
化脓
化脓性扁桃体炎扁桃体化脓有白色分泌物图
化脓性扁桃体炎患者口咽两侧的扁桃体及周围组织红肿,并附着黄白色脓苔,伴有剧烈咽痛,吞咽时明显加剧,常出现畏寒、发热、头痛等全身症状。
扁桃体
红肿 · 化脓
化脓性扁桃体炎咽喉部多发小脓点图
化脓性扁桃体炎咽部扁桃体黏膜潮红,其上有黄白色小脓点,有米粒大小,散在分布,伴有明显咽痛,吞咽食物时疼痛感更加明显,由细菌感染导致。
扁桃体
红肿 · 化脓
化脓性扁桃体炎喉咙两边出现化脓图
化脓性扁桃体炎咽喉部两侧的扁桃体出现红肿,导致咽部变得狭窄,红肿的黏膜上有黄白色脓性物质,是扁桃体发炎后化脓导致,伴有明显疼痛和吞咽困难等症状。
扁桃体
红肿 · 化脓
化脓性扁桃体炎扁桃体红肿充血化脓图
化脓性扁桃体炎咽部一侧扁桃体充血红肿明显,其上附着有质地较厚的脓性分泌物,呈黄白色,边界清晰,形状不规则,咽后壁也有凸起的红色圆疙瘩。
扁桃体
肿 · 化脓
化脓性扁桃体扁桃体凹凸不平上面出现脓斑图
化脓性扁桃体炎咽部左侧扁桃体明显肿大,其上黏膜表面凹凸不平,还附有黄白色脓性物质,形似白斑,边界清晰,质地柔软,易擦去,伴有咽痛。
咽喉
化脓
化脓性扁桃体炎喉咙充血化脓图
化脓性扁桃体炎患者咽部有明显红肿,其上附有一层黄白色假膜,是脓性分泌物融合成片导致,容易擦去,常伴有明显疼痛等自觉症状。
扁桃体
红肿 · 化脓
化脓性扁桃体炎扁桃体肿大多处化脓图
化脓性扁桃体炎咽部两侧扁桃体红肿明显,约有红枣大小,占据咽部大部分空间,对吞咽功能有较大影响,红肿的黏膜表面有化脓现象,附有黄白色脓性分泌物。
咽喉
疙瘩 · 化脓
化脓性扁桃体炎喉咙里出现肉球化脓图
化脓性扁桃体炎咽部扁桃体上有红肿的肉疙瘩,突出黏膜表面,呈半球状,其上有少量黄白色脓性物质,伴有明显的异物感等症状,还可能伴有发热等全身症状。
咽喉
肿 · 化脓
化脓性扁桃体炎充血有化脓图
化脓性扁桃体炎咽部扁桃体肿大,明显突出黏膜表面,形状不规则,大小不等,其上附有黄白色脓性物质,可轻易擦去,不易出血,伴有疼痛等自觉症状。
扁桃体
化脓
化脓性扁桃体炎扁桃体化脓图
化脓性扁桃体炎咽部两侧扁桃体黏膜明显发红,其上附有湿润的黄白色脓性分泌物,质地较厚,已经融合成片,能够轻易擦去,且创面不易出血。
扁桃体
红肿 · 化脓
化脓性扁桃体炎喉咙两边出现红肿化脓图
化脓性扁桃体炎咽喉两侧扁桃体略有红肿,颜色分布不均,部分呈鲜红色,部分呈淡粉色,其上部分出现化脓现象,出现黄白色脓性分泌物,成块附着在黏膜表面。
扁桃体
红肿 · 化脓
化脓性扁桃体炎一侧扁桃体肿大上面有白点图
化脓性扁桃体炎儿童咽部两侧扁桃体红肿突出,占据咽部大部分空间,咽部变狭窄,红肿的黏膜表面有形状不规则的白斑,大小不一,部分融合成片,是化脓现象。
扁桃体
红肿 · 化脓
化脓性扁桃体扁桃体红肿且出现密麻脓点图
化脓性扁桃体炎咽部两侧扁桃体均有明显红肿,呈鲜红色,咽部变狭窄,红肿的黏膜上有多块黄白色脓性分泌物,边界清晰,形状不规则,部分融合成片。
扁桃体
脓包
化脓性扁桃体炎嗓子化脓有脓包图
化脓性扁桃体炎患者扁桃体部位存在明显的炎症,表现为发红、有脓包,由于炎症刺激,可导致咽后壁等部位出现炎性小疙瘩,为淡红色,患者可有吞咽不适感。
扁桃体
疙瘩 · 化脓
化脓性扁桃体炎咽喉红肿多发脓点图
化脓性扁桃体炎咽部两侧扁桃体及咽后壁红肿明显,其上有多个红色小疙瘩,大小不等,约有黄豆大,肿大的黏膜除了有凸起的疙瘩,还有凹陷的小坑,附有黄白色脓性分泌物。
扁桃体
红肿 · 化脓
化脓性扁桃体炎喉咙出现溃疡化脓图
化脓性扁桃体炎咽喉部两侧扁桃体明显红肿凸起,颜色呈鲜红色,与周围黏膜颜色区别明显,其上遍布血丝,还附着有黄白色假膜,是脓性分泌物组成。
扁桃体
化脓
化脓性扁桃体炎单侧扁桃体出现脓苔图
化脓性扁桃体炎咽部一侧扁桃体略有肿大,其上附有黄白色脓性分泌物,伴有咽痛,由多种病原体感染导致,还可能伴有高热、恶寒、呕吐等不适症状。
扁桃体
疙瘩 · 化脓
化脓性扁桃体炎喉咙充血化脓图
化脓性扁桃体炎咽部两侧扁桃体及咽后壁有多个鲜红色小疙瘩,有绿豆大小,均匀分布,其中一侧扁桃体上附有黄白色膜状物质,是脓性分泌物组成。
扁桃体
疙瘩 · 化脓
化脓性扁桃体炎喉咙两边出现黄白色膜图
化脓性扁桃体炎咽部两侧扁桃体上有突出肉疙瘩,呈圆球状,大小不等,多数肉疙瘩上附有黄白色脓性分泌物,质地较厚,突出黏膜表面,容易擦去露出创面。
扁桃体
化脓
化脓性扁桃体炎扁桃体上有脓图
化脓性扁桃体炎患者扁桃体部位出现脓性分泌物,并逐渐形成伪膜状,呈黄白色干酪样,可以用棉签等揩去,揩去后无出血、溃烂等异常表现。
扁桃体
化脓
化脓性扁桃体炎扁桃体出现多个白色脓点图
化脓性扁桃体炎咽部两侧扁桃体上有几个米粒大小的黄白色脓点,随着病情进展,脓性分泌物可能会逐渐增多,融合成片,形成膜状附着在黏膜上。
扁桃体
化脓
化脓性扁桃体炎咽喉部出现厚厚的脓苔图
化脓性扁桃体炎咽部两侧扁桃体上附有黄白色脓性分泌物,质地较厚且黏腻,伴有明显咽痛,还可能伴有高热、恶寒、四肢疼痛等不适症状。
扁桃体
红肿 · 化脓
化脓性扁桃体炎扁桃体肿大多发脓点图
化脓性扁桃体炎咽部两侧扁桃体红肿明显,呈圆球状凸起,有扁豆大小,其上有多个针尖大小的脓点,分布不规则,多几个脓点聚集分布,有融合现象。
扁桃体
化脓
化脓性扁桃体炎扁桃体两侧扁桃体出现厚重的脓苔图
化脓性扁桃体炎咽部两侧扁桃体上附有灰白色假膜,质地厚薄不一,部分较厚,部分较薄,边界清晰,周围黏膜红肿明显,伴有咽痛,吞咽时疼痛感加重。
扁桃体
红肿 · 化脓
化脓性扁桃体炎单侧扁桃体肿大多发脓点图
化脓性扁桃体炎咽部两侧扁桃体红肿明显,有红枣大小,挤占大部分咽部空间,黏膜表面凹凸不平,还附有少量白色脓性分泌物,伴有疼痛,吞咽时有异物感等不适症状。
扁桃体
红肿 · 化脓
化脓性扁桃体炎扁桃体红肿出现脓苔图
化脓性扁桃体炎患者咽部两侧扁桃体略有红肿,其上有多个小疙瘩,其上附有少量黄白色脓性分泌物,咽后壁也有红色小疙瘩,伴有明显疼痛等自觉症状。
扁桃体
肿 · 化脓
化脓性扁桃体炎扁桃体肿大上面有大小不等脓点图
化脓性扁桃体炎咽部两侧扁桃体肿大明显,其上有大小不等的疙瘩,导致扁桃体表面凹凸不平,个别疙瘩上附有黄白色脓性分泌物,擦去不易出血。
扁桃体
红肿 · 化脓
化脓性扁桃体炎扁桃体红肿有脓图
化脓性扁桃体炎患者的口咽两侧扁桃体明显红肿,体积增大,表面有黄白色脓性分泌物,并连接成片,呈伪膜状,易于揩去,不留出血创面。
扁桃体
红肿 · 化脓
化脓性扁桃体炎咽喉充血化脓图
化脓性扁桃体炎咽部充血略有红肿,两侧扁桃体肿大突出,其上附有黄白色脓性物质,伴有咽痛等自觉症状,由多种病原体感染而导致。
扁桃体
红肿 · 化脓
化脓性扁桃体炎扁桃体出现青黄色脓苔图
化脓性扁桃体炎咽部两侧扁桃体红肿明显,其上附有青黄色脓性分泌物,咽后壁和小舌头也有明显充血红肿,伴有疼痛以及吞咽时有异物感等症状。
扁桃体
红肿 · 化脓
化脓性扁桃体炎扁桃体严重肿大充血多发脓点图
化脓性扁桃体炎咽部两侧扁桃体充血红肿,呈圆球状凸起,一侧表面有小坑,一侧凸起表面有黄白色小脓点,伴有明显咽痛,吞咽时疼痛加重且伴有异物感。
扁桃体
红肿 · 化脓
化脓性扁桃体炎扁桃体红肿伴有化脓图
化脓性扁桃体炎咽部扁桃体可见红肿,其上附有黄绿色脓性物质,伴有明显咽痛,可通过飞沫或直接接触而传染,必要时遵医嘱使用抗生素类药物治疗。
扁桃体
红肿 · 化脓
化脓性扁桃体炎扁桃体化脓出血图
化脓性扁桃体炎咽部两侧扁桃体红肿突出,表面不规则,有弹珠大小,部分黏膜呈暗红色,红肿的黏膜表面附有黄白色脓性分泌物,质地略厚,覆盖面积较大。
扁桃体
红肿 · 化脓
化脓性扁桃体炎扁桃体出现脓苔并有出血点图
化脓性扁桃体炎咽部明显红肿,两侧扁桃体出现化脓现象,其上附有黄白色脓性分泌物,伴有咽痛,吞咽时疼痛更加明显,适宜进食流食,遵医嘱进行治疗。
扁桃体
红肿 · 化脓
化脓性扁桃体炎扁桃体肿大并有化脓图
化脓性扁桃体炎咽部两侧扁桃体红肿明显,几乎挤占咽部的全部空间,对吞咽和呼吸均有较大的影响,肿大的黏膜上还附有大量脓性分泌物,需尽快治疗。
扁桃体
红肿 · 化脓
化脓性扁桃体炎扁桃体充血伴有多发脓点图
化脓性扁桃体炎咽部两侧扁桃体充血红肿,呈圆球状凸起,有弹珠大小,其上出现化脓现象,附着有黄白色小脓点,随着病情进展,脓点会逐渐增大。
扁桃体
化脓
化脓性扁桃体炎咽喉一侧出现脓苔图
化脓性扁桃体炎咽部一侧扁桃体上附有白色膜状物,有脓性分泌物组成,周围黏膜略有红肿,伴有明显疼痛,吞咽时疼痛更加明显,由细菌感染导致。
扁桃体
红肿 · 化脓
化脓性扁桃体炎扁桃体发红肿大化脓图
化脓性扁桃体炎患者的口咽两侧扁桃体明显肿大、充血,表面有溃烂面,有黄白色脓性物质附着,自觉咽喉部有疼痛、灼烧感,影响吞咽。
扁桃体
红肿 · 化脓
化脓性扁桃体炎咽喉充血并出现青色脓苔图
化脓性扁桃体炎咽喉部充血略有红肿,两侧扁桃体完全被黄绿色假膜覆盖,假膜质地较厚,由脓性分泌物组成,伴有咽痛等症状,还可能伴有高热、恶寒等症状。
扁桃体
化脓
化脓性扁桃体炎扁桃体化脓有白色覆盖物图
化脓性扁桃体炎患者口咽两侧的扁桃体肿大、发红,咽部充血、肿胀,肿大的扁桃体上面有黄白色脓点及脓苔,病变局部伴随疼痛、灼烧感。
化脓性扁桃体炎相关知识
化脓性扁桃体炎的潜伏期为3-4天,表现为咽痛吞咽时加重,扁桃体肿大、充血,表面有黄色脓性分泌物,其脓性分泌物可连接成片,成伪膜状,易于揩去,不留出血创面。同时可伴有高热、全身不适、恶寒、四肢疼痛等症状。
化脓性扁桃体炎常由溶血性链球菌、流感嗜血杆菌、肺炎链球菌和葡萄球菌等细菌引起。
化脓性扁桃体炎的病原体可通过飞沫或直接接触而传染,一旦诊断患者应适当隔离,患者应卧床休息,进食流质饮食,多饮水,保持大便通畅。可给予抗生素治疗,如阿奇霉素干混悬剂、克林霉素磷酸酯片等;也可给予复方硼砂溶液、复方氯己定含漱液漱口,或含片含服等进行局部治疗。
参考文献
[1]申昆玲编.儿童健康百科[M].北京.中国妇女出版社.2017.249.
[2]白长川.外感热病发微[M].北京.中国中医药出版社.2020.247.
相关疾病
急性化脓性扁桃体炎图
相关科普
什么是化脓性扁桃体炎
张文江
中国中医科学院西苑医院
化脓性扁桃体炎怎么引起的
刘宏建
河南省人民医院
化脓性扁桃体炎怎么治
李姝娜
上海交通大学医学院附属新华医院
化脓性扁桃体炎几天好
王宁宇
首都医科大学附属北京朝阳医院
化脓性扁桃体炎是指什么
宋海涛
北京医院
化脓性扁桃体炎怎么治疗
宋海涛
北京医院
化脓性扁桃体炎多久能好
刘宏建
河南省人民医院
化脓性扁桃体炎怎么治疗
刘洋
中日友好医院
什么是儿童化脓性扁桃体炎
王志新
中日友好医院
化脓性扁桃体炎症状有哪些
姜绍红
烟台毓璜顶医院