干燥病症状图片

本文由有来医生原创,经专业医师审核校对
所有图片质量和准确性经专业医生严格审查

干燥病是由于各种原因导致皮脂腺分泌减少或缺乏,引起皮肤表面皮脂减少所导致的皮肤干燥等症状。患者可表现为皮肤表面出现脱屑甚至发生皲裂等症状,出现皲裂时多伴随疼痛症状。该病的治疗需积极寻找病因,治疗原发病,同时通过提高空气湿度、涂抹润肤剂等方法改善干燥症状。

干燥病症状图片

干燥病相关知识

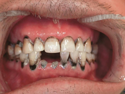
干燥病患者皮肤容易干燥,表现为皮肤表皮容易脱屑及发生皲裂,手足部位发生皲裂较为常见。由于其口腔唾液分泌减少,可能会出现舌头表面干燥、有裂纹,部分患者还会出现龋齿。
干燥病主要是由于皮脂腺分泌减少或缺乏所致,可能是先天性缺陷,或继发于黏液性水肿、糖尿病、尿崩症、特应性皮炎等系统性疾病。当使用碱性肥皂或洗涤剂,或接触可溶皮脂的各种溶剂,天气寒冷及天气湿度太低时,易出现皮肤脱屑等症状。
干燥病的治疗需寻找病因及原发病,同时需对症治疗,如冬季室内干燥时可增加湿度,避免用过热的水洗浴,不要常用碱性较强的肥皂及洗涤剂,可选用中性或弱酸性沐浴露,洗浴后可涂擦浴后乳液或润肤液。还可以遵医嘱使用尿素软膏、维生素E乳膏等药物。

参考文献

[1]方洪元,邢卫斌,张秉新,徐海环.实用皮肤性病手册.第1版[M].北京.人民卫生出版社.2016.776.

[2]闫铁夫等编著.皮肤病临床诊疗与皮肤美容整形上[M].长春:吉林科学技术出版社.2016.188-189.

相关科普