流行性斑疹伤寒症状图片

本文由有来医生原创,经专业医师审核校对
所有图片质量和准确性经专业医生严格审查

流行性斑疹伤寒是由普氏立克次体引起,通过人虱传播的急性传染病。临床上以急性起病、稽留高热、剧烈头痛、皮疹、中枢神经系统症状为主要特征。病程2-3周,40岁以上患者病情相对较重。

流行性斑疹伤寒症状图片

流行性斑疹伤寒相关知识

流行性斑疹伤寒起病急骤,体温于1-2日内达39-40℃,呈稽留热型,少数呈不规则或弛张热型,可伴寒战。高热持续2-3周后体温降至正常,伴剧烈头痛、烦躁不安、面部及眼结膜高度充血等症状。
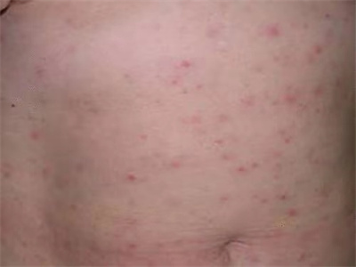
90%以上患者有皮疹,在病程第4-5日出现皮疹,先见于躯干,很快蔓延至四肢,数小时至1日内遍及全身。严重者手掌及足底均可见到,但面部无皮疹,下肢较少。皮疹大小形态不一,多数孤立,偶见融合成片。初起常为充血性斑疹或丘疹,压之退色,继之转为暗红色或出血性斑丘疹,压之不退色。皮疹持续1周左右消退,退后留有棕褐色色素沉着。
流行性斑疹伤寒的致病菌是普氏立克次体,人虱是传播媒介,以体虱为主,头虱次之,流行性斑疹伤寒患者为传染源。当虱叮咬患者时,病原体随血入虱肠,侵入肠壁上皮细胞内增殖,约5天后细胞胀破,大量普氏立克次体溢入肠腔,随虱粪排出,或因虱体被压碎而散出,可通过抓痕侵入人体而造成感染。虱粪中的普氏立克次体偶可随尘埃经呼吸道、口腔或眼结膜感染。
流行性斑疹伤寒患者需卧床休息,保证营养供给,摄入足够的热量及水分。可遵医嘱应用多西环素进行治疗,也可合用甲氧苄啶,成人患者也可选择喹诺酮类药物进行治疗,如左氧氟沙星、环丙沙星等。对于中毒症状严重者,可应用肾上腺皮质激素,如氢化可的松、地塞米松等,同时输液补充血容量。

参考文献

[1]李兰娟,任红.传染病学.第9版[M].北京.人民卫生出版社.2018.142-145.

[2]王贵强主编.感染科诊疗常规[M].北京.中国医药科技出版社.2020.106-107.

相关科普